Tel:
+49 (0)241 95 163 153
Fax:
+49 (0)241 95 163 155
E-Mail:
orders@anticorps-enligne.fr

GRB2 anticorps (C-Term)

L’anticorps anti-GRB2 Polyclonal Chèvre est utilisé pour la détection de GRB2 dans des échantillons de Humain, Souris, Rat et Porc. Il a été validé pour WB, ELISA et IHC.
N° du produit ABIN184670
488,25 €
Plus frais de livraison 40,00 € et TVA
100 μg
Destination: France
Envoi sous 5 à 8 jours ouvrables

Aperçu rapide pour GRB2 anticorps (C-Term) (ABIN184670)

Antigène

Voir toutes GRB2 Anticorps
GRB2 (Growth Factor Receptor-Bound Protein 2 (GRB2))

Reactivité

  • 90
  • 54
  • 53
  • 15
  • 14
  • 6
  • 4
  • 3
  • 3
  • 2
  • 2
  • 2
  • 2
  • 1
  • 1
  • 1
Humain, Souris, Rat, Porc

Hôte

  • 75
  • 13
  • 2
Chèvre

Clonalité

  • 65
  • 24
  • 1
Polyclonal

Conjugué

  • 51
  • 6
  • 4
  • 3
  • 2
  • 2
  • 2
  • 2
  • 2
  • 2
  • 1
  • 1
  • 1
  • 1
  • 1
  • 1
  • 1
  • 1
  • 1
  • 1
  • 1
  • 1
  • 1
  • 1
Cet anticorp GRB2 est non-conjugé

Application

  • 64
  • 35
  • 31
  • 16
  • 14
  • 14
  • 10
  • 10
  • 2
  • 1
  • 1
  • 1
  • 1
  • 1
  • 1
Western Blotting (WB), ELISA, Immunohistochemistry (IHC)

Classe de qualité

Verified
  • Épitope

    • 9
    • 8
    • 6
    • 5
    • 3
    • 3
    • 2
    • 2
    • 2
    • 1
    • 1
    • 1
    • 1
    • 1
    • 1
    • 1
    • 1
    • 1
    • 1
    C-Term

    Fonction

    GRB2

    Séquence

    PRNYVTPVNR NV

    Specificité

    This antibody is expected to recognize both reported isoforms (NP_002077.1and NP_987102.1).

     Réactivité croisée

    Boeuf (Vache), Chien, Humain, Souris, Rat

    Purification

    Purified from goat serum by ammonium sulphate precipitation followed by antigen affinity chromatography using the immunizing peptide.

    Immunogène

    Peptide with sequence C-PRNYVTPVNRNV, from the C Terminus of the protein sequence according to NP_002077.1, NP_987102.1.

    Isotype

    IgG
  • Indications d'application

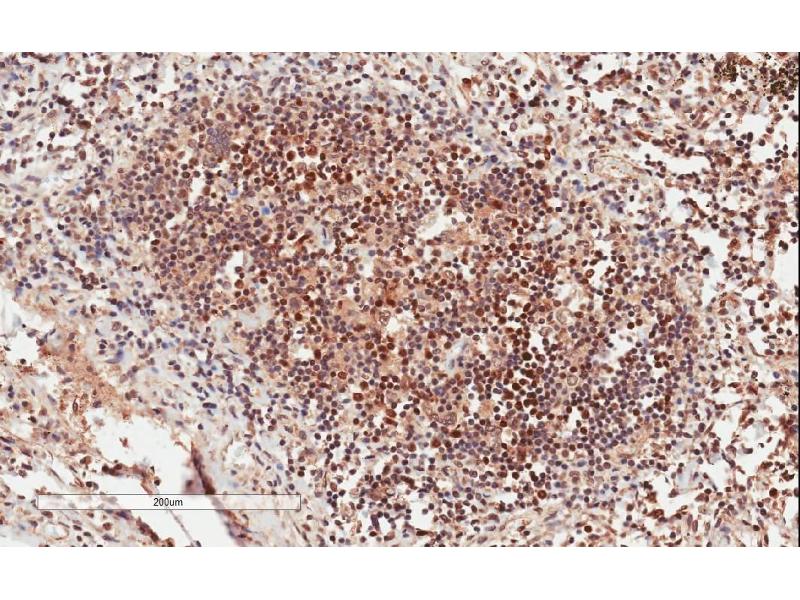
    Immunohistochemistry: In paraffin embedded Human Lymph Node shows nuclear staining in some cells inside the germinal centre. Recommended concentration: 1-2 μg/mL.

    Western Blot: Approx 26 kDa band observed in lysates of cell line MOLT4, of Human Thymus and of Human, Mouse, Rat, Pig Brain and Spleen lysates (calculated MW of 25.2 kDa according to Human NP_002077.1 and according to Rat NP_110473.2). Recommended for use

    Peptide ELISA: antibody detection limit dilution 1:32000.

    Commentaires

    Additional validation: This antibody has been successfully used in the following paper: Sikorski et al. (2018) PMID: 30377371.

    Restrictions

    For Research Use only
  • Format

    Liquid

    Concentration

    0.5 mg/mL

    Buffer

    Supplied at 0.5 mg/mL in Tris saline, 0.02 % sodium azide, pH 7.3 with 0.5 % bovine serum albumin.

    Agent conservateur

    Sodium azide

    Précaution d'utilisation

    This product contains Sodium azide: a POISONOUS AND HAZARDOUS SUBSTANCE which should be handled by trained staff only.

    Conseil sur la manipulation

    Minimize freezing and thawing.

    Stock

    -20 °C

    Stockage commentaire

    Aliquot and store at -20°C, with minimal freeze/thawing. A working aliquot may be refrigerated at 4°C for a few weeks and still remain viable.
  • Antigène

    GRB2 (Growth Factor Receptor-Bound Protein 2 (GRB2))

    Autre désignation

    GRB2

    Sujet

    GRB2, growth factor receptor-bound protein 2, ASH, ASH protein, EGFRBP-GRB2, Grb3-3, MST084, MSTP084, HT027, abundant SRC homology, epidermal growth factor receptor-binding protein GRB2, growth factor receptor-bound protein 3, NCKAP2, OTTHUMP00000166096,

    ID gène

    2885, 14784, 81504

    NCBI Accession

    NP_002077, NP_987102

    Pathways

    Signalisation RTK, TCR Signaling, Fc-epsilon Receptor Signaling Pathway, EGFR Signaling Pathway, Neurotrophin Signaling Pathway, Regulation of Actin Filament Polymerization, Hepatitis C, Signaling Events mediated by VEGFR1 and VEGFR2, Signaling of Hepatocyte Growth Factor Receptor, EGFR Downregulation
Vous êtes ici:
Chat with us!