Tel:
+49 (0)241 95 163 153
Fax:
+49 (0)241 95 163 155
E-Mail:
orders@anticorps-enligne.fr

Cofilin anticorps (pSer3)

Cet anticorps anti-Cofilin est un anticorps Lapin Polyclonal détectant Cofilin dans WB, IF et IHC (p). Adapté pour Humain, Souris et Rat.
N° du produit ABIN196855

Aperçu rapide pour Cofilin anticorps (pSer3) (ABIN196855)

Antigène

Voir toutes Cofilin (CFL1) Anticorps
Cofilin (CFL1) (Cofilin 1 (CFL1))

Reactivité

  • 141
  • 92
  • 90
  • 7
  • 5
  • 5
  • 4
  • 2
  • 1
  • 1
  • 1
Humain, Souris, Rat

Hôte

  • 139
  • 18
  • 2
  • 1
Lapin

Clonalité

  • 139
  • 20
Polyclonal

Conjugué

  • 79
  • 11
  • 10
  • 7
  • 7
  • 6
  • 3
  • 3
  • 3
  • 3
  • 3
  • 3
  • 3
  • 3
  • 3
  • 3
  • 3
  • 1
  • 1
  • 1
  • 1
  • 1
  • 1
  • 1
Cet anticorp Cofilin est non-conjugé

Application

  • 82
  • 61
  • 55
  • 47
  • 41
  • 41
  • 38
  • 28
  • 22
  • 13
  • 12
  • 7
  • 3
  • 3
  • 3
  • 2
  • 1
Western Blotting (WB), Immunofluorescence (IF), Immunohistochemistry (Paraffin-embedded Sections) (IHC (p))
  • Épitope

    • 18
    • 16
    • 16
    • 15
    • 13
    • 11
    • 7
    • 7
    • 7
    • 5
    • 5
    • 2
    • 2
    • 2
    • 2
    • 2
    • 2
    • 2
    • 1
    • 1
    • 1
    • 1
    • 1
    • 1
    • 1
    • 1
    • 1
    • 1
    • 1
    • 1
    • 1
    • 1
    • 1
    • 1
    pSer3

    Specificité

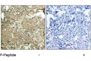
    This antibody detects endogenous levels of Cofilin only when phosphorylated at Serine 3.

    Purification

    Affinity Chromatography using epitope-specific phosphopeptide. The antibody against non-phosphopeptide was removed by chromatography using non-phosphopeptide corresponding to the phosphorylation site.

    Immunogène

    The antiserum was produced against synthesized phosphopeptide derived from Human Cofilin around the phosphorylation site of serine 3 (M-A-Sp-G-V).
  • Indications d'application

    Western Blot: 1/500-1/1000. Immunofluorescence: 1/100-1/200. Immunohistochemistry on Paraffin Sections: 1/50-1/100.
    Other applications not tested.
    Optimal dilutions are dependent on conditions and should be determined by the user.

    Restrictions

    For Research Use only
  • Concentration

    1.0 mg/mL

    Buffer

    PBS (without Mg2+ and Ca2+), pH 7.4, 150 mM NaCl, 0.02 % Sodium Azide and 50 % Glycerol.

    Agent conservateur

    Sodium azide

    Précaution d'utilisation

    This product contains sodium azide: a POISONOUS AND HAZARDOUS SUBSTANCE which should be handled by trained staff only.

    Conseil sur la manipulation

    Avoid repeated freezing and thawing.

    Stock

    -20 °C

    Stockage commentaire

    Store the antibody (in aliquots) at -20 °C.
  • Antigène

    Cofilin (CFL1) (Cofilin 1 (CFL1))

    Autre désignation

    Cofilin-1

    Sujet

    Cofilin is a small phosphoinositide sensitive, actin binding protein capable of depolymerizing actin filaments in vitro. Under certain conditions, it fragments the filaments and accelerates actin subunit dissociation from their 'pointed' (minus) ends. Cofilin binds stoichiometrically to monomeric G-actin and to actin protomers in filaments in an apparent pH -dependent, Ca2+- independent manner. Cofilin intercalates between longitudinally associated actin monomers within the filament and distorts its helical twist. Cofilin is ubiquitous in tissues of eukaryotes and is especially abundant in neuronal tissues. It is essential for viability and is important for many cellular processes involving actin remodeling such as motility at the leading edge of cells, polarized cell growth, endocytosis, phagocytosis, cellular activation, cytokinesis, and pathogen intracellular motility.Synonyms: 18 kDa phosphoprotein, CFL, CFL1, Cofilin non-muscle isoform, p18

    ID gène

    1072

    NCBI Accession

    NP_005498

    UniProt

    P23528

    Pathways

    Regulation of Cell Size, Tube Formation, Protein targeting to Nucleus, CXCR4-mediated Signaling Events
Vous êtes ici:
Chat with us!