Tel:
+49 (0)241 95 163 153
Fax:
+49 (0)241 95 163 155
E-Mail:
orders@anticorps-enligne.fr

MAP2K6 anticorps (pSer207)

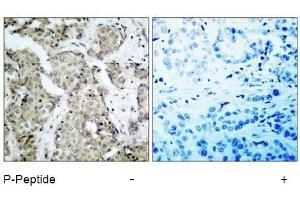
Cet anticorps Lapin Polyclonal détecte spécifiquement MAP2K6 dans WB, IF et IHC (p). Il présente une réactivité avec des échantillons de Humain et Rat.
N° du produit ABIN196865
483,08 €
Plus frais de livraison 40,00 € et TVA
Destination: France
Envoi sous 17 jours ouvrables

Aperçu rapide pour MAP2K6 anticorps (pSer207) (ABIN196865)

Antigène

Voir toutes MAP2K6 Anticorps
MAP2K6 (Mitogen-Activated Protein Kinase Kinase 6 (MAP2K6))

Reactivité

  • 67
  • 67
  • 38
  • 2
  • 2
  • 1
  • 1
  • 1
  • 1
  • 1
  • 1
  • 1
Humain, Rat

Hôte

  • 84
  • 7
  • 2
Lapin

Clonalité

  • 85
  • 8
Polyclonal

Conjugué

  • 50
  • 5
  • 4
  • 4
  • 2
  • 2
  • 2
  • 2
  • 2
  • 2
  • 2
  • 2
  • 2
  • 2
  • 2
  • 1
  • 1
  • 1
  • 1
  • 1
  • 1
  • 1
  • 1
Cet anticorp MAP2K6 est non-conjugé

Application

  • 81
  • 39
  • 27
  • 27
  • 17
  • 14
  • 13
  • 8
  • 3
  • 3
  • 2
  • 1
  • 1
  • 1
Western Blotting (WB), Immunofluorescence (IF), Immunohistochemistry (Paraffin-embedded Sections) (IHC (p))
  • Épitope

    • 19
    • 15
    • 9
    • 9
    • 6
    • 3
    • 2
    • 2
    • 1
    • 1
    • 1
    • 1
    • 1
    • 1
    • 1
    • 1
    • 1
    • 1
    • 1
    • 1
    • 1
    • 1
    • 1
    pSer207

    Specificité

    This antibody detects endogenous levels of MKK6 only when phosphorylated at serine207.

    Purification

    Immunoaffinity Chromatography using epitope-specific phosphopeptide. The antibody against non-phosphopeptide was removed by chromatography using non-phosphopeptide corresponding to the phosphorylation site.

    Immunogène

    Synthetic phosphopeptide derived from Human MKK6 around the phosphorylation site of Serine 207 (V-D-Sp-V-A).
  • Indications d'application

    Suitable for use in Western blot (1: 500approx. 1: 1000) and Immunohistochemistry (1: 50approx. 1: 100).
    Other applications not tested.
    Optimal dilutions are dependent on conditions and should be determined by the user.

    Restrictions

    For Research Use only
  • Concentration

    1.0 mg/mL

    Buffer

    PBS (without Mg2+ and Ca2+), pH 7.4, 150 mM NaCl, 0.02 % Sodium Azide and 50 % Glycerol

    Agent conservateur

    Sodium azide

    Précaution d'utilisation

    This product contains sodium azide: a POISONOUS AND HAZARDOUS SUBSTANCE which should be handled by trained staff only.

    Conseil sur la manipulation

    Avoid repeated freezing and thawing.

    Stock

    -20 °C

    Stockage commentaire

    Store the antibody (in aliquots) at -20 °C.
  • Antigène

    MAP2K6 (Mitogen-Activated Protein Kinase Kinase 6 (MAP2K6))

    Autre désignation

    MAP2K6

    Sujet

    Mitogen activated protein kinase kinase 6 (MEK6 or MKK6) belongs to the serine/threonine protein kinase family and the MAPK kinase subfamily (MAP2K, MKK or MEKs). MEK6, closely related to MEK3, catalyzes the concomitant phosphorylation of a threonine and a tyrosine residue in MAP kinase p38, thus activating it, in response to inflammatory cytokines and environmental stress. As an essential component of p38 MAP kinase mediated signal transduction pathway, this protein is involved in many cellular processes such as stress induced cell cycle arrest, transcription activation and apoptosis.Synonyms: Dual specificity mitogen-activated protein kinase kinase 6, MAP kinase kinase 6, MAPK/ERK kinase 6, MAPKK 6, MEK6, MKK6, SAPKK3

    ID gène

    5608

    NCBI Accession

    NP_002749

    UniProt

    P52564

    Pathways

    Signalisation MAPK, Signalisation TLR, Activation of Innate immune Response, Regulation of Muscle Cell Differentiation, Toll-Like Receptors Cascades
Vous êtes ici:
Chat with us!