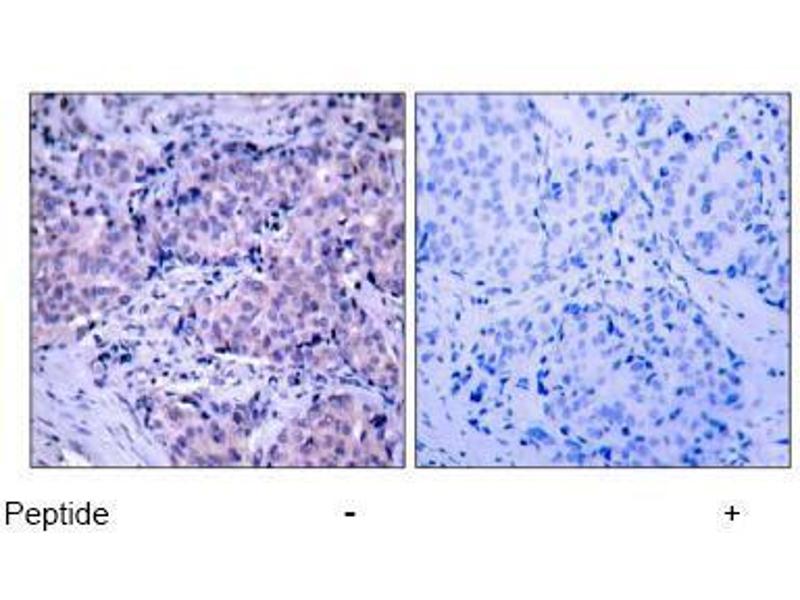
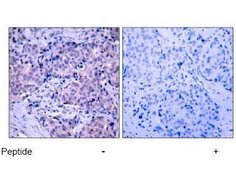
Cet anticorps anti-PDPK1 Polyclonal Lapin (ABIN197100) détecte spécifiquement PDPK1 dans WB, IF et IHC (p).
L’anticorps est réactif avec des échantillons de Humain et Souris.
Western Blot: 1/500approx. 1/1000. Immunohistochemistry: 1/50approx. 1/100. Other applications not tested. Optimal dilutions are dependent on conditions and should be determined by the user.
Restrictions
For Research Use only
Concentration
1.0 mg/mL
Buffer
PBS (without Mg2+ and Ca2+), pH 7.4 containing 150 mM NaCl, 0.02 % Sodium Azide as preservative and 50 % Glycerol as stabilizer.
Agent conservateur
Sodium azide
Précaution d'utilisation
This product contains sodium azide: a POISONOUS AND HAZARDOUS SUBSTANCE which should be handled by trained staff only.
Conseil sur la manipulation
Avoid repeated freezing and thawing.
Stock
-20 °C
Stockage commentaire
Store the antibody undiluted (in aliquots) at -20 °C.
Antigène
PDPK1
(3-phosphoinositide Dependent Protein Kinase-1 (PDPK1))
Autre désignation
PDPK1
Sujet
Phosphorylates and activates not only PKB/AKT, but also PKA, PKC-zeta, RPS6KA1 and RPS6KB1. May play a general role in signaling processes and in development (By similarity). Isoform 3 is catalytically inactive.Synonyms: 3-phosphoinositide-dependent proteinkinase 1, PDK-1, PDK1, PDPK1, hPDK1