Tel:
+49 (0)241 95 163 153
Fax:
+49 (0)241 95 163 155
E-Mail:
orders@anticorps-enligne.fr

EIF2AK2 anticorps (Thr446)

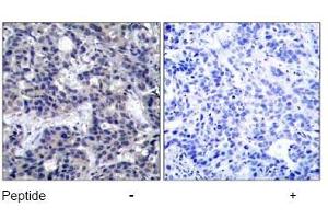
Cet anticorps anti-EIF2AK2 Polyclonal Lapin (ABIN197544) détecte spécifiquement EIF2AK2 dans WB, IF et IHC (p). L’anticorps est réactif avec des échantillons de Humain.
N° du produit ABIN197544
606,15 €
Plus frais de livraison 40,00 € et TVA
Destination: France
Envoi sous 17 jours ouvrables

Aperçu rapide pour EIF2AK2 anticorps (Thr446) (ABIN197544)

Antigène

Voir toutes EIF2AK2 Anticorps
EIF2AK2 (Eukaryotic Translation Initiation Factor 2-alpha Kinase 2 (EIF2AK2))

Reactivité

  • 189
  • 73
  • 47
  • 2
  • 2
  • 1
  • 1
  • 1
  • 1
Humain

Hôte

  • 183
  • 13
Lapin

Clonalité

  • 118
  • 78
Polyclonal

Conjugué

  • 86
  • 10
  • 8
  • 8
  • 8
  • 8
  • 8
  • 8
  • 5
  • 5
  • 4
  • 4
  • 3
  • 3
  • 3
  • 3
  • 3
  • 3
  • 3
  • 3
  • 3
  • 3
  • 3
  • 1
Cet anticorp EIF2AK2 est non-conjugé

Application

  • 165
  • 86
  • 60
  • 44
  • 41
  • 40
  • 40
  • 33
  • 26
  • 23
  • 10
  • 9
  • 4
  • 1
Western Blotting (WB), Immunofluorescence (IF), Immunohistochemistry (Paraffin-embedded Sections) (IHC (p))
  • Épitope

    • 61
    • 53
    • 12
    • 5
    • 4
    • 3
    • 3
    • 2
    • 2
    • 2
    • 2
    • 2
    • 2
    • 2
    • 1
    • 1
    • 1
    • 1
    • 1
    • 1
    • 1
    • 1
    • 1
    • 1
    • 1
    • 1
    • 1
    • 1
    • 1
    • 1
    • 1
    • 1
    • 1
    • 1
    Thr446

    Specificité

    This antibody detects endogenous levels of total PKR protein.

    Purification

    Affinity chromatography

    Immunogène

    The antiserum was produced against synthesized non-phosphopeptide derived from human PKR around the phosphorylation site of threonine 446 (K-R-Tp-R-S).
  • Indications d'application

    Western blot: 1/500-1/1000. Immunofluorescence: 1/100-1/200. Immunohistochemistry on Paraffin-Embedded Sections: 1/50-1/100.
    Other applications not tested.
    Optimal dilutions are dependent on conditions and should be determined by the user.

    Restrictions

    For Research Use only
  • Concentration

    1.0 mg/mL

    Buffer

    PBS (without Mg2+ and Ca2+), pH 7.4, 150 mM NaCl, 0.02 % Sodium Azide and 50 % Glycerol.

    Agent conservateur

    Sodium azide

    Précaution d'utilisation

    This product contains sodium azide: a POISONOUS AND HAZARDOUS SUBSTANCE which should be handled by trained staff only.

    Conseil sur la manipulation

    Avoid repeated freezing and thawing.

    Stock

    -20 °C

    Stockage commentaire

    Store the antibody (in aliquots) at -20 °C.
  • Antigène

    EIF2AK2 (Eukaryotic Translation Initiation Factor 2-alpha Kinase 2 (EIF2AK2))

    Autre désignation

    EIF2AK2 / PKR

    Sujet

    PKR is an interferon-inducible serine/threonine specific protein kinase. It is widely expressed in eukaryotic organisms and activated by double stranded RNA. Activation of PKR by dsRNAs leads to autophosphorylation at multiple sites. Phosphorylation of Thr446 and Thr451 in the PKR activation loop is required in vivo and in vitro for high level kinase activity. PKR phosphorylates its natural substrate, the alpha subunit of eukaryotic protein synthesis initiation factor 2 (EIF2 alpha), leading to the inhibition of protein synthesis. PKR is also involved in TLR signaling and mediates apoptosis in fibroblasts in response to viral infection and inflammatory cytokines, and also activates IKK and NFKB, thereby suppressing apoptosis. Recently, it has been reported that PKR also phosphorylates human p53 on serine 392. PKR might play a role in ER stress-induced apoptosis and in Alzheimer's disease. Alzheimer cases show prominent PKR activation in association with neuritic plaques and pyramidal neurons in the hippocampus and neocortex.Synonyms: Eukaryotic translation initiation factor 2-alpha kinase 2, Interferon-induced double-stranded RNA-activated protein kinase, PRKR, Protein kinase RNA-activated, eIF-2A protein kinase 2, p68 kinase

    ID gène

    5610

    NCBI Accession

    NP_001129123

    UniProt

    P19525

    Pathways

    Réparation de l'ADN, ER-Nucleus Signaling, Hepatitis C
Vous êtes ici:
Chat with us!