Tel:
+49 (0)241 95 163 153
Fax:
+49 (0)241 95 163 155
E-Mail:
orders@anticorps-enligne.fr

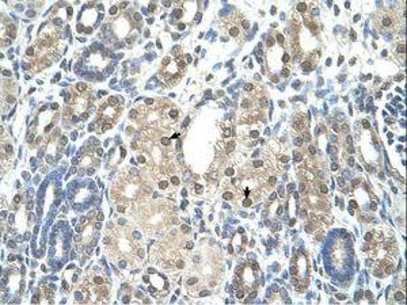
NAMPT anticorps (C-Term)

Cet anticorps Lapin Polyclonal détecte spécifiquement NAMPT dans WB, IHC et IHC (p). Il présente une réactivité avec des échantillons de Humain, Poulet, Xenopus laevis et Cobaye.
N° du produit ABIN203416
741,67 €
Plus frais de livraison 40,00 € et TVA
100 μL
Destination: France
Envoi sous 15 à 20 jours ouvrables

Aperçu rapide pour NAMPT anticorps (C-Term) (ABIN203416)

Antigène

Voir toutes NAMPT Anticorps
NAMPT (Nicotinamide phosphoribosyltransferase (NAMPT))

Reactivité

  • 163
  • 63
  • 62
  • 8
  • 7
  • 6
  • 5
  • 3
  • 2
  • 2
  • 2
  • 2
  • 1
Humain, Poulet, Xenopus laevis, Cobaye

Hôte

  • 166
  • 14
  • 3
  • 2
  • 2
  • 1
Lapin

Clonalité

  • 165
  • 24
Polyclonal

Conjugué

  • 85
  • 25
  • 13
  • 10
  • 7
  • 6
  • 6
  • 4
  • 3
  • 3
  • 2
  • 2
  • 2
  • 2
  • 2
  • 2
  • 2
  • 2
  • 2
  • 2
  • 1
  • 1
  • 1
  • 1
  • 1
  • 1
  • 1
Cet anticorp NAMPT est non-conjugé

Application

  • 95
  • 73
  • 52
  • 27
  • 26
  • 22
  • 21
  • 19
  • 19
  • 13
  • 7
  • 6
  • 4
  • 2
  • 1
  • 1
  • 1
  • 1
  • 1
  • 1
  • 1
  • 1
  • 1
Western Blotting (WB), Immunohistochemistry (IHC), Immunohistochemistry (Paraffin-embedded Sections) (IHC (p))
  • Épitope

    • 18
    • 18
    • 15
    • 13
    • 8
    • 8
    • 8
    • 8
    • 7
    • 7
    • 7
    • 4
    • 3
    • 3
    • 2
    • 2
    • 2
    • 2
    • 1
    • 1
    • 1
    • 1
    • 1
    • 1
    C-Term

    Specificité

    Human NAMPT

    Homologie

    Percent identity by BLAST analysis: Human, Chicken, Xenopus, Salmon, Pufferfish (100%) Mouse, Rat, Pig (92%).

    Purification

    Protein A purified

    Immunogène

    Synthetic peptide from C-Terminus of human NAMPT (P43490, NP_005737). Percent identity by BLAST analysis: Human, Chimpanzee, Gorilla, Guinea pig, Zebra finch, Chicken, Xenopus, Salmon (100%), Gibbon, Marmoset, Mouse, Rat, Dog, Bovine, Rabbit, Horse, Pig, Zebrafish (92%), Opossum, Platypus (85%).

    Type of Immunogen: Synthetic peptide

    Isotype

    IgG
  • Indications d'application

    Approved: IHC, IHC-P, WB (1.25 μg/mL)

    Commentaires

    Target Species of Antibody: Human

    Restrictions

    For Research Use only
  • Format

    Lyophilized

    Reconstitution

    ddH2O

    Concentration

    Lot specific

    Buffer

    Lyophilized from PBS with 2 % sucrose

    Conseil sur la manipulation

    Avoid repeat freeze-thaw cycles.

    Stock

    4 °C,-20 °C

    Stockage commentaire

    Long term: -20°C, the use of 50% glycerol is recommended if storing aliquots in -20°C for long term use (up to 1 year)
    Short term (less than 1 week): 4°C. Avoid freeze-thaw cycles.
  • Antigène

    NAMPT (Nicotinamide phosphoribosyltransferase (NAMPT))

    Autre désignation

    NAMPT / Visfatin

    Sujet

    Name/Gene ID: NAMPT

    Synonyms: NAMPT, PBEF, Pre-B cell-enhancing factor, VISFATIN, VF, NAmPRTase, PBEF1

    ID gène

    10135

    NCBI Accession

    NP_005737

    UniProt

    P43490
Vous êtes ici:
Chat with us!