Mre11 anticorps (AA 68-706)
Aperçu rapide pour Mre11 anticorps (AA 68-706) (ABIN214028)
Antigène
Voir toutes Mre11 (MRE11A) AnticorpsReactivité
Hôte
Clonalité
Conjugué
Application
-
-
Épitope
- AA 68-706
-
Specificité
- MRE11A / MRE11
-
Purification
- Immunoaffinity purified
-
Immunogène
-
Recombinant mouse MRE11A / MRE11.
Type of Immunogen: Recombinant protein
-
-
-
-
Indications d'application
-
Approved: ELISA (1:10000 - 1:50000), IF, IHC, IHC-P (5 μg/mL), WB (1:500 - 1:2000)
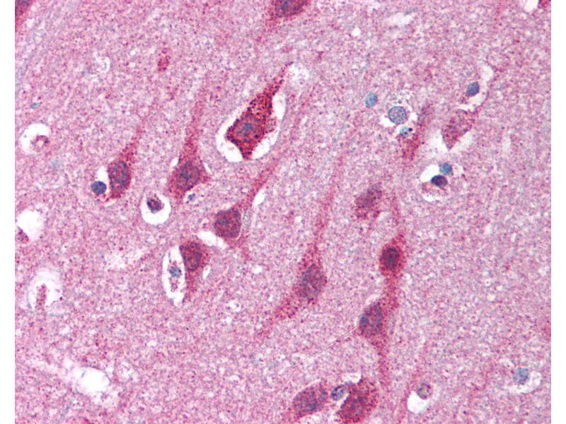
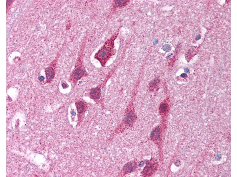
Usage: Immunohistochemistry: This antibody was validated for use in immunohistochemistry on a panel of 21 formalin-fixed, paraffin-embedded (FFPE) human tissues after heat induced antigen retrieval in pH 6.0 citrate buffer. After incubation with the primary antibody, slides were incubated with biotinylated secondary antibody, followed by alkaline phosphatase-streptavidin and chromogen. The stained slides were evaluated by a pathologist to confirm staining specificity. The optimal working concentration for this antibody was determined to be 5 μg/mL. -
Commentaires
-
Target Species of Antibody: Mouse
-
Restrictions
- For Research Use only
-
-
-
Format
- Liquid
-
Concentration
- Lot specific
-
Buffer
- 0.02 M potassium phosphate, 0.15 M sodium chloride, pH 7.2, 0.01 % sodium azide.
-
Agent conservateur
- Sodium azide
-
Précaution d'utilisation
- This product contains Sodium azide: a POISONOUS AND HAZARDOUS SUBSTANCE which should be handled by trained staff only.
-
Conseil sur la manipulation
- Avoid repeated freezing and thawing.
-
Stock
- 4 °C,-20 °C
-
Stockage commentaire
- 4°C or -20°C, Avoid freeze-thaw cycles.
-
-
- Mre11 (MRE11A) (MRE11 Meiotic Recombination 11 Homolog A (S. Cerevisiae) (MRE11A))
-
Autre désignation
- MRE11A / MRE11
-
Sujet
-
Name/Gene ID: MRE11A
Synonyms: MRE11A, AT-like disease, Endo/exonuclease Mre11, HNGS1, MRE11, MRE11 homolog 1, MRE11 homolog A, MRE11B, ATLD -
ID gène
- 4361
-
UniProt
- P49959
-
Pathways
- Réparation de l'ADN
Antigène
-