Tel:
+49 (0)241 95 163 153
Fax:
+49 (0)241 95 163 155
E-Mail:
orders@anticorps-enligne.fr

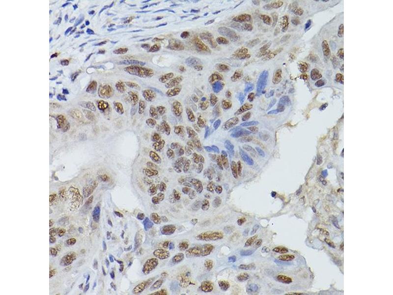
Mre11 anticorps (AA 1-205)

Cet anticorps Lapin Polyclonal détecte spécifiquement Mre11 dans WB, IHC, IF et IP. Il présente une réactivité avec des échantillons de Humain. Il a été cité dans 3+ publications.
N° du produit ABIN3016250
320,00 €
Plus frais de livraison 40,00 € et TVA
Destination: France
Envoi sous 8 à 10 jours ouvrables

Aperçu rapide pour Mre11 anticorps (AA 1-205) (ABIN3016250)

Antigène

Voir toutes Mre11 (MRE11A) Anticorps
Mre11 (MRE11A) (MRE11 Meiotic Recombination 11 Homolog A (S. Cerevisiae) (MRE11A))

Reactivité

  • 106
  • 78
  • 65
  • 8
  • 5
  • 5
  • 4
  • 4
  • 4
  • 3
  • 2
  • 2
  • 2
  • 1
  • 1
  • 1
Humain

Hôte

  • 117
  • 9
Lapin

Clonalité

  • 89
  • 37
Polyclonal

Conjugué

  • 56
  • 7
  • 5
  • 5
  • 5
  • 5
  • 5
  • 5
  • 4
  • 3
  • 2
  • 2
  • 2
  • 2
  • 2
  • 2
  • 2
  • 2
  • 2
  • 2
  • 2
  • 2
  • 2
Cet anticorp Mre11 est non-conjugé

Application

  • 98
  • 45
  • 40
  • 26
  • 26
  • 16
  • 15
  • 10
  • 7
  • 6
  • 6
  • 2
  • 1
  • 1
  • 1
  • 1
  • 1
Western Blotting (WB), Immunohistochemistry (IHC), Immunofluorescence (IF), Immunoprecipitation (IP)
  • Épitope

    • 21
    • 15
    • 6
    • 6
    • 4
    • 4
    • 3
    • 3
    • 2
    • 2
    • 2
    • 2
    • 1
    • 1
    • 1
    • 1
    • 1
    • 1
    • 1
    • 1
    • 1
    • 1
    • 1
    • 1
    • 1
    • 1
    • 1
    • 1
    • 1
    AA 1-205

    Séquence

    MSTADALDDE NTFKILVATD IHLGFMEKDA VRGNDTFVTL DEILRLAQEN EVDFILLGGD LFHENKPSRK TLHTCLELLR KYCMGDRPVQ FEILSDQSVN FGFSKFPWVN YQDGNLNISI PVFSIHGNHD DPTGADALCA LDILSCAGFV NHFGRSMSVE KIDISPVLLQ KGSTKIALYG LGSIPDERLY RMFVNKKVTM LRPKE

     Réactivité croisée

    Humain, Souris, Rat

    Attributs du produit

    Polyclonal Antibodies

    Purification

    Affinity purification

    Immunogène

    Recombinant fusion protein containing a sequence corresponding to amino acids 1-205 of human MRE11 (NP_005581.2).

    Isotype

    IgG
  • Indications d'application

    WB,1:500 - 1:2000,IHC,1:50 - 1:200,IF,1:50 - 1:200,IP,1:50 - 1:100

    Restrictions

    For Research Use only
  • Buffer

    PBS with 0.02 % sodium azide,50 % glycerol, pH 7.3.

    Agent conservateur

    Sodium azide

    Précaution d'utilisation

    This product contains Sodium azide: a POISONOUS AND HAZARDOUS SUBSTANCE which should be handled by trained staff only.

    Stock

    -20 °C

    Stockage commentaire

    Store at -20°C. Avoid freeze / thaw cycles.
  • Zhang, Chang, Sun, Chen, Yang, Tang, Jing, Kang, He, Wu, Wei, Wang, Xu, Zhu, Shen, Zeng, Wang, Liu, Zhang, Mao, Jiang, Sun: "Histone H3K27 methylation modulates the dynamics of FANCD2 on chromatin to facilitate NHEJ and genome stability." dans: Journal of cell science, Vol. 131, Issue 12, (2018) (PubMed).

    Li, Zhang, Chen, Guo, Zhang, Tang, Xu, Zhang, Tao, Wang, Jiang, Sun, Mao: "Impaired DNA double-strand break repair contributes to the age-associated rise of genomic instability in humans." dans: Cell death and differentiation, Vol. 23, Issue 11, pp. 1765-1777, (2017) (PubMed).

    Zhang, Tang, Jiang, Mao: "The transcription factor GATA3 is required for homologous recombination repair by regulating CtIP expression." dans: Oncogene, Vol. 36, Issue 36, pp. 5168-5176, (2017) (PubMed).

  • Antigène

    Mre11 (MRE11A) (MRE11 Meiotic Recombination 11 Homolog A (S. Cerevisiae) (MRE11A))

    Autre désignation

    MRE11

    Sujet

    This gene encodes a nuclear protein involved in homologous recombination, telomere length maintenance, and DNA double-strand break repair. By itself, the protein has 3' to 5' exonuclease activity and endonuclease activity. The protein forms a complex with the RAD50 homolog, this complex is required for nonhomologous joining of DNA ends and possesses increased single-stranded DNA endonuclease and 3' to 5' exonuclease activities. In conjunction with a DNA ligase, this protein promotes the joining of noncomplementary ends in vitro using short homologies near the ends of the DNA fragments. This gene has a pseudogene on chromosome 3. Alternative splicing of this gene results in two transcript variants encoding different isoforms.,MRE11,ATLD,HNGS1,MRE11A,MRE11B,Epigenetics & Nuclear Signaling,DNA Damage & Repair,Cell Biology & Developmental Biology,Cell Cycle,G2/M DNA Damage Checkpoint,Immunology & Inflammation,MRE11

    Poids moléculaire

    77 kDa/80 kDa/81 kDa

    ID gène

    4361

    UniProt

    P49959

    Pathways

    Réparation de l'ADN
Vous êtes ici:
Chat with us!