Tel:
+49 (0)241 95 163 153
Fax:
+49 (0)241 95 163 155
E-Mail:
orders@anticorps-enligne.fr

Mre11 Anticorps

(MRE11 Meiotic Recombination 11 Homolog A (S. Cerevisiae) (MRE11A))

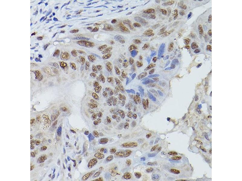
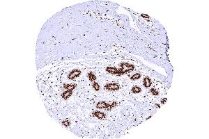
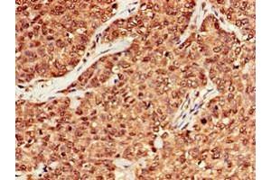
Choisissez l’un des 127 anticorps Mre11 de notre liste de produits basés sur 4 publications et 59 images de validation.

Découvrez des anticorps Mre11 fiables issus d’une large sélection de fabricants renommés. Notre portefeuille permet une détection précise de Mre11 dans plusieurs espèces, y compris Human, Rat, Mouse, Monkey, Dog, Rabbit, Chicken, Guinea Pig, Saccharomyces cerevisiae, Cow, Hamster, Horse, Pig, Bat, Goat, Zebrafish (Danio rerio), et prend en charge diverses applications de recherche telles que WB, IHC, ELISA, IF (cc), IF (p).

Trouvez rapidement l’anticorps adapté grâce à nos outils de recherche, de filtrage et de comparaison. Chaque page produit fournit des données de validation détaillées, des références bibliographiques et des retours d’utilisateurs. Contrairement aux ressources dédiées uniquement à la comparaison, vous pouvez acheter directement les anticorps sur notre site. Choisissez parmi des anticorps polyclonaux, monoclonaux ou recombinants Mre11, issus de différents hôtes tels que Rabbit, Mouse. Parcourez nos produits ci-dessous et commandez directement pour soutenir vos recherches en toute confiance.

Les noms alternatifs de Mre11 sont mre11a, MRE11, Mre11a.

127 Résultats

MRE11A Reactivité: Humain WB, IHC, IF, IP Hôte: Lapin Polyclonal unconjugated
Pubmed 3 références
N° du produit ABIN3016250
320,00 €
Plus frais de livraison 40,00 € et TVA
100 μL (Autres quantités disponibles)
Destination: France
Envoi sous 8 à 10 jours ouvrables
 
MRE11A Reactivité: Humain, Rat, Souris, Poulet, Hamster WB, IHC, IF, IP, ICC, FACS, ChIP Hôte: Lapin Polyclonal unconjugated
N° du produit ABIN363310
600,00 €
Plus frais de livraison 40,00 € et TVA
0.05 mL
Destination: France
Envoi sous 2 à 3 jours ouvrables
 
MRE11A Reactivité: Humain WB, IHC, IP, ICC Hôte: Lapin Polyclonal unconjugated
N° du produit ABIN7443944
310,62 €
Plus frais de livraison 40,00 € et TVA
100 μL (Autres quantités disponibles)
Destination: France
Envoi sous 11 à 15 jours ouvrables
 
MRE11A Reactivité: Humain WB, ELISA, IHC Hôte: Lapin Polyclonal unconjugated
N° du produit ABIN7150623
328,90 €
Plus frais de livraison 40,00 € et TVA
100 μL (Autres quantités disponibles)
Destination: France
Envoi sous 11 à 15 jours ouvrables
 
MRE11A Reactivité: Humain ELISA, IHC, IF Hôte: Lapin Polyclonal unconjugated
N° du produit ABIN7150624
328,90 €
Plus frais de livraison 40,00 € et TVA
100 μg (Autres quantités disponibles)
Destination: France
Envoi sous 11 à 15 jours ouvrables
 
MRE11A Reactivité: Humain IHC Hôte: Lapin Monoclonal HMV328 unconjugated Recombinant Antibody
N° du produit ABIN7826130
348,46 €
Plus frais de livraison 40,00 € et TVA
100 μL (Autres quantités disponibles)
Destination: France
Envoi sous 3 à 5 jours ouvrables
 
MRE11A Reactivité: Rat WB, ELISA, IF (cc), IF (p), IHC (p), IHC (fro) Hôte: Lapin Polyclonal unconjugated
Pubmed 1 reference
N° du produit ABIN747293
357,70 €
Plus frais de livraison 40,00 € et TVA
100 μL
Destination: France
Envoi sous 8 à 12 jours ouvrables
 
MRE11A Reactivité: Humain, Rat, Souris WB, ELISA, IHC, IF, ICC Hôte: Lapin Polyclonal unconjugated
N° du produit ABIN6263350
525,71 €
Plus frais de livraison 40,00 € et TVA
100 μL (Autres quantités disponibles)
Destination: France
Envoi sous 9 à 11 jours ouvrables
 
MRE11A Reactivité: Humain, Rat, Souris WB, ELISA, IHC, IF, ICC Hôte: Lapin Polyclonal unconjugated
N° du produit ABIN6263351
525,71 €
Plus frais de livraison 40,00 € et TVA
100 μL (Autres quantités disponibles)
Destination: France
Envoi sous 9 à 11 jours ouvrables
 
MRE11A Reactivité: Humain, Rat, Souris WB, ELISA, IHC Hôte: Lapin Polyclonal unconjugated
N° du produit ABIN5693272
500,50 €
Plus frais de livraison 40,00 € et TVA
100 μg
Destination: France
Envoi sous 8 à 12 jours ouvrables
 
MRE11A Reactivité: Humain, Rat, Souris, Singe WB, ELISA, IHC Hôte: Lapin Polyclonal unconjugated
N° du produit ABIN3185627
377,51 €
Plus frais de livraison 40,00 € et TVA
100 μL (Autres quantités disponibles)
Destination: France
Envoi sous 8 à 10 jours ouvrables
 
MRE11A Reactivité: Humain, Rat, Souris WB, ELISA, IF, ICC Hôte: Lapin Polyclonal unconjugated
N° du produit ABIN6259110
525,71 €
Plus frais de livraison 40,00 € et TVA
100 μL (Autres quantités disponibles)
Destination: France
Envoi sous 9 à 11 jours ouvrables
 
MRE11A Reactivité: Humain WB, ELISA Hôte: Souris Monoclonal 3H4-F4 unconjugated
N° du produit ABIN518014
651,20 €
Plus frais de livraison 40,00 € et TVA
100 μg
Destination: France
Envoi sous 8 à 9 jours ouvrables
 
MRE11A Reactivité: Humain, Souris WB, ELISA, IHC, IF, IHC (p) Hôte: Lapin Polyclonal unconjugated
N° du produit ABIN214028
674,61 €
Plus frais de livraison 40,00 € et TVA
50 μg
Destination: France
Envoi sous 15 à 20 jours ouvrables
 
MRE11A Reactivité: Humain, Rat, Souris, Singe, Chien, Poulet WB, IHC, IF Hôte: Lapin Polyclonal unconjugated
N° du produit ABIN7296348
330,77 €
Plus frais de livraison 40,00 € et TVA
100 μL (Autres quantités disponibles)
Destination: France
Envoi sous 17 à 20 jours ouvrables
 
MRE11A Reactivité: Humain WB, ELISA Hôte: Lapin Polyclonal unconjugated
N° du produit ABIN7182020
218,90 €
Plus frais de livraison 40,00 € et TVA
100 μg (Autres quantités disponibles)
Destination: France
Envoi sous 11 à 15 jours ouvrables
 
MRE11A Reactivité: Humain, Rat, Souris WB, ELISA Hôte: Lapin Polyclonal unconjugated
N° du produit ABIN3182290
377,51 €
Plus frais de livraison 40,00 € et TVA
100 μL (Autres quantités disponibles)
Destination: France
Envoi sous 8 à 10 jours ouvrables
 
MRE11A Reactivité: Humain, Rat, Souris WB, ELISA Hôte: Lapin Polyclonal unconjugated
N° du produit ABIN6263349
525,71 €
Plus frais de livraison 40,00 € et TVA
100 μL (Autres quantités disponibles)
Destination: France
Envoi sous 9 à 11 jours ouvrables
 
MRE11A Reactivité: Humain, Rat, Souris, Lapin, Cobaye WB Hôte: Lapin Polyclonal unconjugated
N° du produit ABIN6745122
789,41 €
Plus frais de livraison 40,00 € et TVA
100 μL
Destination: France
Envoi sous 15 à 20 jours ouvrables
 
MRE11A Reactivité: Humain, Rat, Souris, Singe, Chien, Lapin, Poulet, Cobaye, Boeuf (Vache), Porc, Hamster, Roussette (Chauve-souris) WB Hôte: Lapin Polyclonal unconjugated
N° du produit ABIN6745121
789,41 €
Plus frais de livraison 40,00 € et TVA
100 μL
Destination: France
Envoi sous 15 à 20 jours ouvrables
 
  • Type Primary
    • Primary
  • Application
    • Western Blotting (WB)
    • Immunohistochemistry (IHC)
    • ELISA
    • Immunofluorescence (Cultured Cells) (IF (cc))
    • Immunofluorescence (Paraffin-embedded Sections) (IF (p))
    • Immunofluorescence (IF)
    • Immunohistochemistry (Paraffin-embedded Sections) (IHC (p))
    • Immunoprecipitation (IP)
    • Immunocytochemistry (ICC)
    • Flow Cytometry (FACS)
    • Immunohistochemistry (Frozen Sections) (IHC (fro))
    • Chromatin Immunoprecipitation (ChIP)
    • Enzyme Immunoassay (EIA)
    • Functional Studies (Func)
    • Immunohistochemistry (Formalin-fixed Paraffin-embedded Sections) (IHC (fp))
    • Proximity Ligation Assay (PLA)
    • Immunofluorescence (fixed cells) (IF/ICC)
  • Réactivité
    • Human
    • Rat
    • Mouse
    • Monkey
    • Dog
    • Rabbit
    • Chicken
    • Guinea Pig
    • Saccharomyces cerevisiae
    • Cow
    • Hamster
    • Horse
    • Pig
    • Bat
    • Goat
    • Zebrafish (Danio rerio)
  • Cité dans publications
  • Images disponible
  • Sans conservateur uniquement
  • Carrier free only
  • Hote
    • Rabbit
    • Mouse
  • Clonalité
    • Polyclonal
    • Monoclonal
  • Clone
    • S03-6H9
    • 12D7
    • 3H4-F4
    • 4D2B6
    • 4H9
    • 7C8A9
    • 9C2
    • HMV328
    • R03-6H9
  • Epitope
    • pSer676
    • AA 451-550
    • AA 1-205
    • AA 182-582
    • C-Term
    • pSer264
    • AA 68-706
    • N-Term
    • AA 375-609
    • AA 658-708
    • Internal Region
    • Ser264
    • AA 1-206
    • AA 14-481
    • AA 2-239
    • AA 230-279
    • AA 278-498
    • AA 35-84
    • AA 40-90
    • AA 431-480
    • AA 436-692
    • AA 503-552
    • AA 575-600
    • AA 578-590
    • Center
    • Gln459
    • Leu260
    • Middle Region
    • Ser916
  • Conjugué
    • Inconjugué
    • Biotin
    • Alexa Fluor 488
    • Alexa Fluor 555
    • Alexa Fluor 594
    • Alexa Fluor 647
    • Alexa Fluor 680
    • Alexa Fluor 750
    • FITC
    • HRP
    • AbBy Fluor® 350
    • AbBy Fluor® 488
    • AbBy Fluor® 555
    • AbBy Fluor® 594
    • AbBy Fluor® 647
    • AbBy Fluor® 680
    • AbBy Fluor® 750
    • Alexa Fluor 350
    • Alexa Fluor 405
    • Cy3
    • Cy5
    • Cy5.5
    • Cy7
  • Isotype
    • IgG
    • IgG1
    • IgG2a
    • IgG2b
  • Type Proteine
    • Recombinant Antibody
  • Format
    • Liquid
    • Lyophilized
  • Supplier
    • antibodies-online
    • Signalway
    • Boster Bio
    • Abbexa
    • Aviva Systems Biology
    • Cohesion Biosciences
    • Covalab
    • Rockland
    • USBio
    • Acris
    • Assay Biotechnology Company, Inc.
    • ProteoGenix
    • QED Bioscience

Dernières publications pour nos Mre11 Anticorps

Hung, Johnson, Chen, Byrum, Bredemeyer, Yewdell, Johnson, Lee, Deivasigamani, Hindi, Amatya, Gross, Paull, Pisapia, Chaudhuri, Petrini, Mosammaparast, Amarasinghe, Zha, Tyler, Sleckman: "MRI Is a DNA Damage Response Adaptor during Classical Non-homologous End Joining." dans: Molecular cell, Vol. 71, Issue 2, pp. 332-342.e8, (2019) (PubMed).

Gustafsson, Färnegårdh, Bonagas, Ninou, Groth, Wiita, Jönsson, Hallberg, Lehto, Pennisi, Martinsson, Norström, Hollers, Schultz, Andersson, Markova, Marttila, Kim, Norin, Olin, Helleday: "Targeting PFKFB3 radiosensitizes cancer cells and suppresses homologous recombination." dans: Nature communications, Vol. 9, Issue 1, pp. 3872, (2019) (PubMed).

Alfano, Caporaso, Altieri, DellAquila, Landi, Bini, Pentimalli, Giordano: "Depletion of the RNA binding protein HNRNPD impairs homologous recombination by inhibiting DNA-end resection and inducing R-loop accumulation." dans: Nucleic acids research, Vol. 47, Issue 8, pp. 4068-4085, (2019) (PubMed).

Jachimowicz, Beleggia, Isensee, Velpula, Goergens, Bustos, Doll, Shenoy, Checa-Rodriguez, Wiederstein, Baranes-Bachar, Bartenhagen, Hertwig, Teper, Nishi, Schmitt, Distelmaier, Lüdecke, Albrecht et al.: "UBQLN4 Represses Homologous Recombination and Is Overexpressed in Aggressive Tumors. ..." dans: Cell, Vol. 176, Issue 3, pp. 505-519.e22, (2019) (PubMed).

Li, Mahon, Sweeney, Verschueren, Kantamani, Li, Hennigs, Marciano, Diebold, Abu-Halawa, Elliott, Sa, Guo, Wang, Cao, Guignabert, Sollier, Nickel, Kaschwich, Cimprich, Rabinovitch: "PPARγ Interaction with UBR5/ATMIN Promotes DNA Repair to Maintain Endothelial Homeostasis." dans: Cell reports, Vol. 26, Issue 5, pp. 1333-1343.e7, (2019) (PubMed).

Velichko, Petrova, Luzhin, Strelkova, Ovsyannikova, Kireev, Petrova, Razin, Kantidze: "Hypoosmotic stress induces R loop formation in nucleoli and ATR/ATM-dependent silencing of nucleolar transcription." dans: Nucleic acids research, Vol. 47, Issue 13, pp. 6811-6825, (2019) (PubMed).

Bai, Wang, Li, Zhan, Li, Zhao, Zhou, Li, Li, Huo, Shen, Zhou, Zhang, Luo, Sung, Zhu, Xu, Wang: "C1QBP Promotes Homologous Recombination by Stabilizing MRE11 and Controlling the Assembly and Activation of MRE11/RAD50/NBS1 Complex." dans: Molecular cell, (2019) (PubMed).

Yoshimura: "Increased error-free DNA repair gene expression through reprogramming in human iPS cells." dans: Regenerative therapy, Vol. 11, pp. 101-105, (2019) (PubMed).

Afzal, Garg, Ishida, Terao, Kaul, Wadhwa: "Rat Glioma Cell-Based Functional Characterization of Anti-Stress and Protein Deaggregation Activities in the Marine Carotenoids, Astaxanthin and Fucoxanthin." dans: Marine drugs, Vol. 17, Issue 3, (2019) (PubMed).

Scherthan, Lee, Maus, Schumann, Muhtadi, Chojowski, Port, Lassmann, Bestvater, Hausmann: "Nanostructure of Clustered DNA Damage in Leukocytes after In-Solution Irradiation with the Alpha Emitter Ra-223." dans: Cancers, Vol. 11, Issue 12, (2019) (PubMed).

Pseudonymes pour Mre11 Anticorps

MRE11 homolog A, double strand break repair nuclease (mre11a) Anticorps
MRE11 homolog, double strand break repair nuclease (MRE11) Anticorps
MRE11A homolog A, double strand break repair nuclease (Mre11a) Anticorps
MRE11 homolog A, double strand break repair nuclease (Mre11a) Anticorps
ATLD Anticorps
HNGS1 Anticorps
Mre11 Anticorps
MRE11 Anticorps
Mre11b Anticorps
MRE11B Anticorps
wu:faa63d12 Anticorps
zgc:64018 Anticorps
Vous êtes ici:
Chat with us!