ERCC3 anticorps (C-Term)
Aperçu rapide pour ERCC3 anticorps (C-Term) (ABIN214242)
Antigène
Voir toutes ERCC3 AnticorpsReactivité
Hôte
Clonalité
Conjugué
Application
-
-
Épitope
- C-Term
-
Specificité
- Peptide corresponding to the carboxy-terminus of human XPB.
-
Immunogène
-
Synthetic peptide from human ERCC3 / XPB.
Type of Immunogen: Synthetic peptide -
Isotype
- IgG
-
-
-
-
Indications d'application
-
Approved: IHC, IHC-P (10 μg/mL), WB
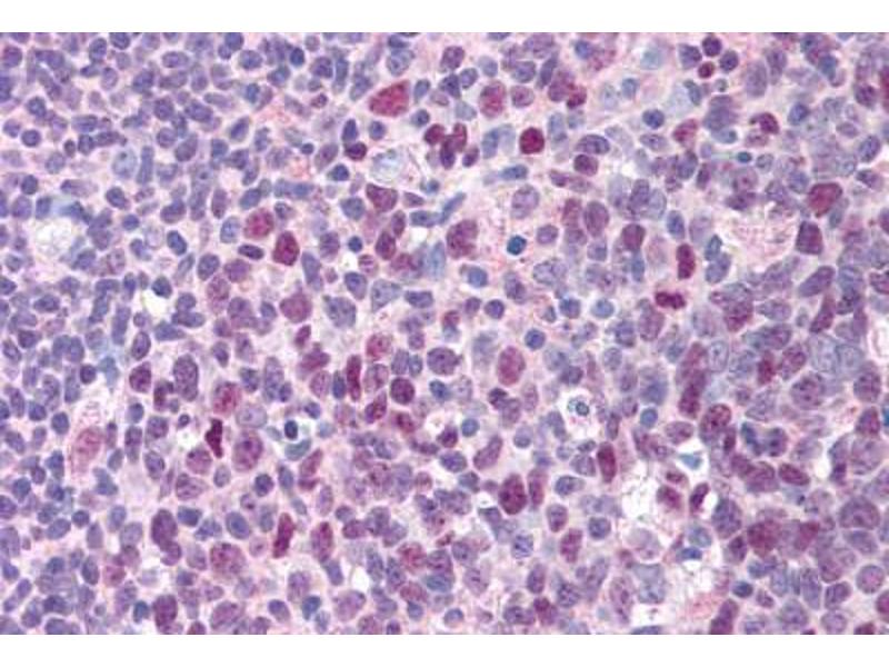
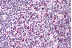
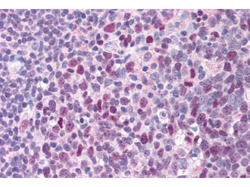
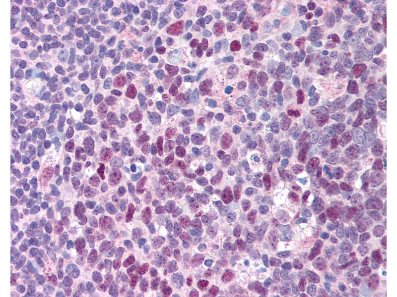
Usage: Immunohistochemistry: This antibody was validated for use in immunohistochemistry on a panel of 21 formalin-fixed, paraffin-embedded (FFPE) human tissues after heat induced antigen retrieval in pH 6.0 citrate buffer. After incubation with the primary antibody, slides were incubated with biotinylated secondary antibody, followed by alkaline phosphatase-streptavidin and chromogen. The stained slides were evaluated by a pathologist to confirm staining specificity. The optimal working concentration for this antibody was determined to be 10 μg/mL. -
Commentaires
-
Target Species of Antibody: Human
-
Restrictions
- For Research Use only
-
-
-
Format
- Liquid
-
Concentration
- Lot specific
-
Buffer
- PBS.
-
Stock
- -80 °C
-
Stockage commentaire
-
Short term: -70°C
Long term: -70°C.
-
-
- ERCC3 (DNA Repair Protein Complementing XP-B Cells (ERCC3))
-
Autre désignation
- ERCC3 / XPB
-
Sujet
-
Name/Gene ID: ERCC3
Synonyms: ERCC3, BTF2, GTF2H, RAD25, TFIIH p89, TFIIH, XPB, BTF2 p89, XPBC, TFIIH 89 kDa subunit -
ID gène
- 2071
-
UniProt
- P19447
-
Pathways
- Réparation de l'ADN
Antigène
-