×
Pour une meilleure utilisation, nous vous conseillons d’activer Javascript dans votre navigateur.
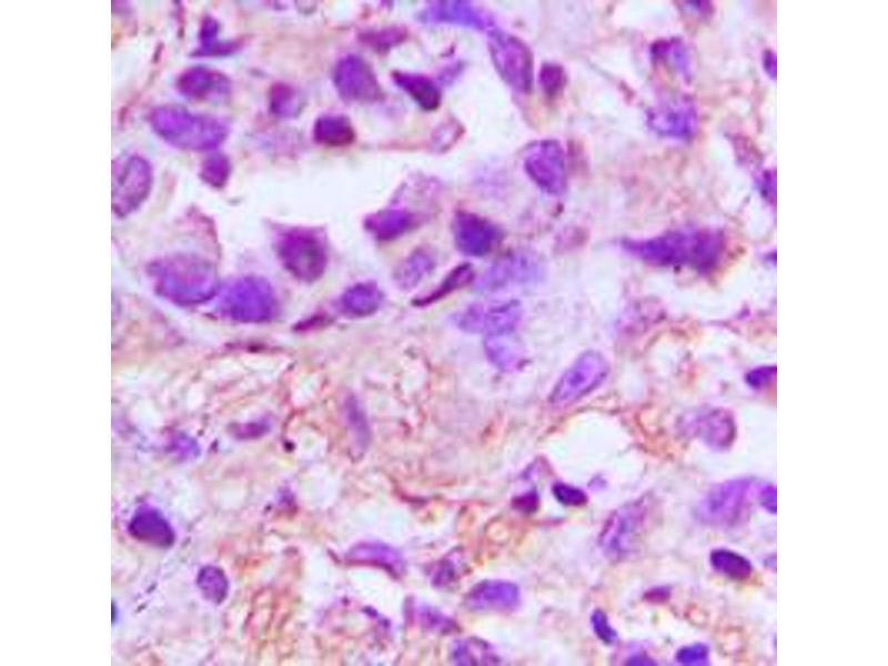
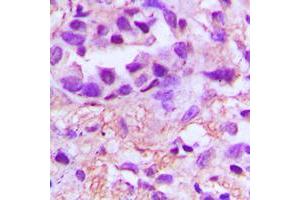
PDGFA anticorps (Center)
L’anticorps anti-PDGFA Polyclonal Lapin est utilisé pour la détection de PDGFA dans des échantillons de Humain, Souris, Rat et Lapin. Il a été validé pour WB et IHC.
N° du produit ABIN7296544
330,77 €
Plus frais de livraison 40,00 € et TVA
30 μL ABIN7296545
50 μL ABIN7681157
100 μL ABIN7296544
200 μL ABIN2706781
30 μL ABIN7296545
50 μL ABIN7681157
100 μL ABIN7296544
200 μL ABIN2706781
Envoi sous 17 à 20 jours ouvrables
Aperçu rapide pour PDGFA anticorps (Center) (ABIN7296544)
Antigène
Voir toutes PDGFA Anticorps
PDGFA
(Platelet Derived Growth Factor A (PDGFA))
Reactivité
Toutes les réactivités sur PDGFA Anticorps
Humain, Souris, Rat, Lapin
Hôte
Toutes les hôtes sur PDGFA Anticorps
Lapin
Clonalité
Toutes les clonalités sur PDGFA Anticorps
Polyclonal
Conjugué
Tous les conjugués à travers PDGFA Anticorps
Cet anticorp PDGFA est non-conjugé
Application
Tous les applications à travers PDGFA Anticorps.
Western Blotting (WB), Immunohistochemistry (IHC)
Détail du produit anti-PDGFA anticorps
(cache)
Épitope
Tous les épitopes à travers PDGFA Anticorps.
Center
Fonction
Rabbit polyclonal antibody to PDGFA
Specificité
Recognizes endogenous levels of PDGFA protein.
Attributs du produit
Rabbit polyclonal antibody to PDGFA
Purification
The antibody was purified by immunogen affinity chromatography.
Immunogène
KLH-conjugated synthetic peptide encompassing a sequence within the center region of human PDGFA. The exact sequence is proprietary.
Alternatives
(show)
Information d'application
(cache)
Indications d'application
WB (1/500 - 1/1000), IH (1/100 - 1/200)
Restrictions
For Research Use only
Stockage
(cache)
Format
Liquid
Buffer
Liquid in 0.42 % Potassium phosphate, 0.87 % Sodium chloride, pH 7.3, 30 % glycerol, and 0.01 % sodium azide.
Agent conservateur
Sodium azide
Précaution d'utilisation
This product contains Sodium azide: a POISONOUS AND HAZARDOUS SUBSTANCE which should be handled by trained staff only.
Stock
-20 °C
Stockage commentaire
Shipped at 4°C. Upon delivery aliquot and store at -20°C for one year. Avoid freeze/thaw cycles.
Date de péremption
12 months
Détails sur PDGFA
(cache)
Antigène
PDGFA
(Platelet Derived Growth Factor A (PDGFA))
Autre désignation
PDGFA
Sujet
PDGF1, Platelet-derived growth factor subunit A, PDGF subunit A, PDGF-1, Platelet-derived growth factor A chain, Platelet-derived growth factor alpha polypeptide
ID gène
5154, 18590, 25266
UniProt
P04085
Pathways
Signalisation RTK , Fc-epsilon Receptor Signaling Pathway , EGFR Signaling Pathway , Neurotrophin Signaling Pathway , Smooth Muscle Cell Migration , Platelet-derived growth Factor Receptor Signaling
Vus récemment
(cache)
Chat with us , powered by LiveChat