Tel:
+49 (0)241 95 163 153
Fax:
+49 (0)241 95 163 155
E-Mail:
orders@anticorps-enligne.fr

AIF anticorps (N-Term)

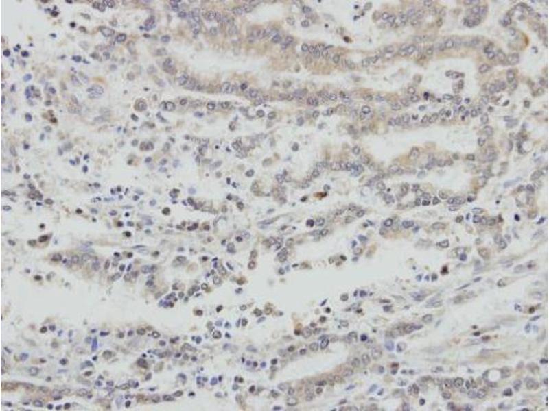
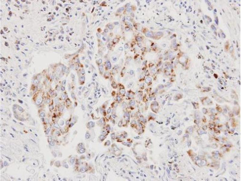
Cet anticorps Lapin Polyclonal détecte spécifiquement AIF dans WB, IF, ICC et IHC (p). Il présente une réactivité avec des échantillons de Humain.
N° du produit ABIN2855383
583,17 €
Plus frais de livraison 40,00 € et TVA
100 μL
Destination: France
Envoi sous 7 à 10 jours ouvrables

Aperçu rapide pour AIF anticorps (N-Term) (ABIN2855383)

Antigène

Voir toutes AIF (AIFM1) Anticorps
AIF (AIFM1) (Apoptosis-Inducing Factor, Mitochondrion-Associated, 1 (AIFM1))

Reactivité

  • 121
  • 73
  • 73
  • 22
  • 11
  • 11
  • 7
  • 7
  • 7
  • 6
  • 4
  • 4
  • 3
  • 2
  • 1
  • 1
Humain

Hôte

  • 110
  • 11
  • 2
  • 2
Lapin

Clonalité

  • 95
  • 29
Polyclonal

Conjugué

  • 74
  • 5
  • 4
  • 4
  • 4
  • 4
  • 4
  • 4
  • 4
  • 3
  • 1
  • 1
  • 1
  • 1
  • 1
  • 1
  • 1
  • 1
  • 1
  • 1
  • 1
  • 1
  • 1
  • 1
  • 1
Cet anticorp AIF est non-conjugé

Application

  • 98
  • 50
  • 45
  • 38
  • 27
  • 23
  • 20
  • 19
  • 14
  • 13
  • 4
  • 4
  • 2
  • 1
Western Blotting (WB), Immunofluorescence (IF), Immunocytochemistry (ICC), Immunohistochemistry (Paraffin-embedded Sections) (IHC (p))
  • Épitope

    • 15
    • 10
    • 9
    • 8
    • 5
    • 4
    • 4
    • 3
    • 3
    • 2
    • 2
    • 2
    • 1
    • 1
    • 1
    • 1
    • 1
    • 1
    • 1
    • 1
    • 1
    • 1
    • 1
    • 1
    • 1
    • 1
    • 1
    • 1
    • 1
    • 1
    • 1
    N-Term

    Attributs du produit

    Rabbit Polyclonal antibody to AIF (apoptosis-inducing factor, mitochondrion-associated, 1)
    AIF antibody [N1N2], N-term

    Purification

    Purified by antigen-affinity chromatography.

    Immunogène

    Recombinant protein encompassing a sequence within the N-terminus region of human AIF. The exact sequence is proprietary.

    Isotype

    IgG
  • Indications d'application

    Suggested dilution Reference ICC/IF 1:100-1:1000* IHC (Formalin-fixed paraffin-embedded sections) 1:100-1:1000* Western blot 1:500-1:3000* Not tested in other applications. *Optimal dilutions/concentrations should be determined by the researcher.Suggested dilutionReferenceICC/IF1:100-1:1000* IHC (Formalin-fixed paraffin-embedded sections)1:100-1:1000* Western blot1:500-1:3000*

    Commentaires

    Positive Control: 293T , A431 , HeLa , HepG2 , A375

    Restrictions

    For Research Use only
  • Format

    Liquid

    Concentration

    0.72 mg/mL

    Buffer

    0.1M Tris, 0.1M Glycine, 10 % Glycerol ( pH 7). 0.01 % Thimerosal was added as a preservative.

    Agent conservateur

    Thimerosal (Merthiolate)

    Précaution d'utilisation

    This product contains Thimerosal (Merthiolate): a POISONOUS AND HAZARDOUS SUBSTANCE which should be handled by trained staff only.

    Stock

    -20 °C

    Stockage commentaire

    Keep as concentrated solution. Aliquot and store at -20°C or below. Avoid multiple freeze-thaw cycles.
  • Antigène

    AIF (AIFM1) (Apoptosis-Inducing Factor, Mitochondrion-Associated, 1 (AIFM1))

    Autre désignation

    AIF

    Sujet

    This gene encodes a flavoprotein essential for nuclear disassembly in apoptotic cells that is found in the mitochondrial intermembrane space in healthy cells. Induction of apoptosis results in the translocation of this protein to the nucleus where it effects chromosome condensation and fragmentation. In addition, this gene product induces mitochondria to release the apoptogenic proteins cytochrome c and caspase-9. Several alternative transcripts encoding different isoforms have been identified for this gene.

    Cellular Localization: Mitochondrion intermembrane space , Nucleus

    Poids moléculaire

    67 kDa

    ID gène

    9131

    Pathways

    Apoptose, Positive Regulation of Endopeptidase Activity, Cell RedoxHomeostasis, Smooth Muscle Cell Migration, L'effet Warburg
Vous êtes ici:
Chat with us!