Tel:
+49 (0)241 95 163 153
Fax:
+49 (0)241 95 163 155
E-Mail:
orders@anticorps-enligne.fr

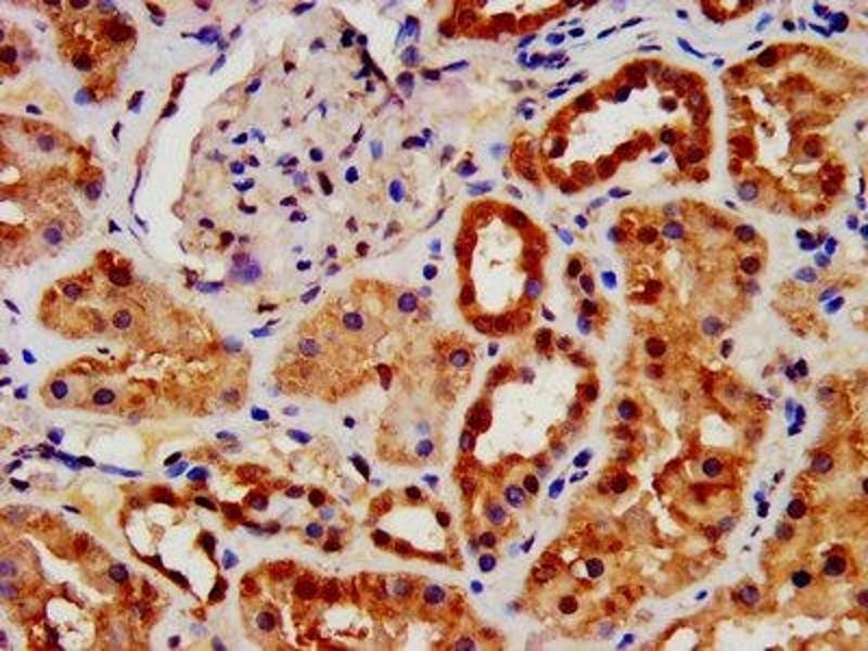
AIF anticorps (AA 103-612)

Cet anticorps Lapin Polyclonal détecte spécifiquement AIF dans WB, IHC, ELISA et IF. Il présente une réactivité avec des échantillons de Humain.
N° du produit ABIN7144472
328,90 €
Plus frais de livraison 40,00 € et TVA
Destination: France
Envoi sous 11 à 15 jours ouvrables

Aperçu rapide pour AIF anticorps (AA 103-612) (ABIN7144472)

Antigène

Voir toutes AIF (AIFM1) Anticorps
AIF (AIFM1) (Apoptosis-Inducing Factor, Mitochondrion-Associated, 1 (AIFM1))

Reactivité

  • 121
  • 73
  • 73
  • 22
  • 11
  • 11
  • 7
  • 7
  • 7
  • 6
  • 4
  • 4
  • 3
  • 2
  • 1
  • 1
Humain

Hôte

  • 110
  • 11
  • 2
  • 2
Lapin

Clonalité

  • 95
  • 29
Polyclonal

Conjugué

  • 74
  • 5
  • 4
  • 4
  • 4
  • 4
  • 4
  • 4
  • 4
  • 3
  • 1
  • 1
  • 1
  • 1
  • 1
  • 1
  • 1
  • 1
  • 1
  • 1
  • 1
  • 1
  • 1
  • 1
  • 1
Cet anticorp AIF est non-conjugé

Application

  • 98
  • 50
  • 45
  • 37
  • 28
  • 23
  • 20
  • 19
  • 14
  • 13
  • 4
  • 4
  • 2
  • 1
Western Blotting (WB), Immunohistochemistry (IHC), ELISA, Immunofluorescence (IF)
  • Épitope

    • 15
    • 10
    • 10
    • 8
    • 4
    • 4
    • 4
    • 3
    • 3
    • 2
    • 2
    • 2
    • 1
    • 1
    • 1
    • 1
    • 1
    • 1
    • 1
    • 1
    • 1
    • 1
    • 1
    • 1
    • 1
    • 1
    • 1
    • 1
    • 1
    • 1
    • 1
    AA 103-612

    Fonction

    AIFM1 Antibody

    Purification

    Protein G purified

    Pureté

    >95 %

    Immunogène

    Recombinant Human Apoptosis-inducing factor 1, mitochondrial protein (103-612AA)

    Isotype

    IgG
  • Indications d'application

    Optimal working dilution should be determined by the investigator.

    Restrictions

    For Research Use only
  • Format

    Liquid

    Buffer

    Preservative: 0.03 % Proclin 300
    Constituents: 50 % Glycerol, 0.01M PBS, PH 7.4

    Agent conservateur

    ProClin

    Précaution d'utilisation

    This product contains ProClin: a POISONOUS AND HAZARDOUS SUBSTANCE which should be handled by trained staff only.

    Stock

    -20 °C,-80 °C

    Stockage commentaire

    Upon receipt, store at -20°C or -80°C. Avoid repeated freeze.
  • Antigène

    AIF (AIFM1) (Apoptosis-Inducing Factor, Mitochondrion-Associated, 1 (AIFM1))

    Autre désignation

    AIFM1

    Sujet

    Background: Functions both as NADH oxidoreductase and as regulator of apoptosis. In response to apoptotic stimuli, it is released from the mitochondrion intermembrane space into the cytosol and to the nucleus, where it functions as a proapoptotic factor in a caspase-independent pathway. In contrast, functions as an antiapoptotic factor in normal mitochondria via its NADH oxidoreductase activity. The soluble form (AIFsol) found in the nucleus induces \\\'parthanatos\\\' i.e. caspase-independent fragmentation of chromosomal DNA. Interacts with EIF3G,and thereby inhibits the EIF3 machinery and protein synthesis, and activates casapse-7 to amplify apoptosis. Plays a critical role in caspase-independent, pyknotic cell death in hydrogen peroxide-exposed cells. Binds to DNA in a sequence-independent manner.

    Aliases: AIFM1 antibody, AIFM1_HUMAN antibody, Apoptosis inducing factor 1, mitochondrial antibody, Apoptosis inducing factor antibody, Apoptosis inducing factor, mitochondrion associated, 1 antibody, Apoptosis-inducing factor 1 antibody, CMTX4 antibody, COWCK antibody, COXPD6 antibody, Harlequin antibody, Hq antibody, mAIF antibody, MGC111425 antibody, MGC5706 antibody, mitochondrial antibody, Neuropathy, axonal motor-sensory, with deafness and mental retardation antibody, neuropathy, axonal, motor-sensory with deafness and mental retardation (Cowchock syndrome) antibody, PDCD 8 antibody, PDCD8 antibody, Programmed cell death 8 (apoptosis inducing factor) antibody, Programmed cell death 8 antibody, Programmed cell death 8 isoform 1 antibody, Programmed cell death 8 isoform 2 antibody, Programmed cell death 8 isoform 3 antibody, Programmed cell death protein 8 antibody, Programmed cell death protein 8 mitochondrial antibody, Programmed cell death protein 8 mitochondrial precursor antibody, Programmed cell death protein 8 mitochondrial precursor antibody, Striatal apoptosis inducing factor antibody

    UniProt

    O95831

    Pathways

    Apoptose, Positive Regulation of Endopeptidase Activity, Cell RedoxHomeostasis, Smooth Muscle Cell Migration, L'effet Warburg
Vous êtes ici:
Chat with us!