Tel:
+49 (0)241 95 163 153
Fax:
+49 (0)241 95 163 155
E-Mail:
orders@anticorps-enligne.fr

ATF2 anticorps (AA 1-190)

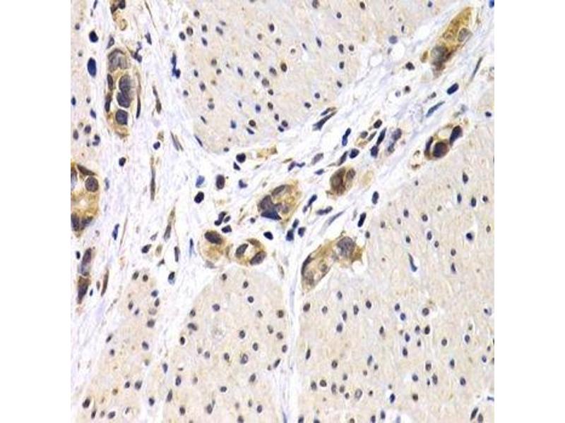
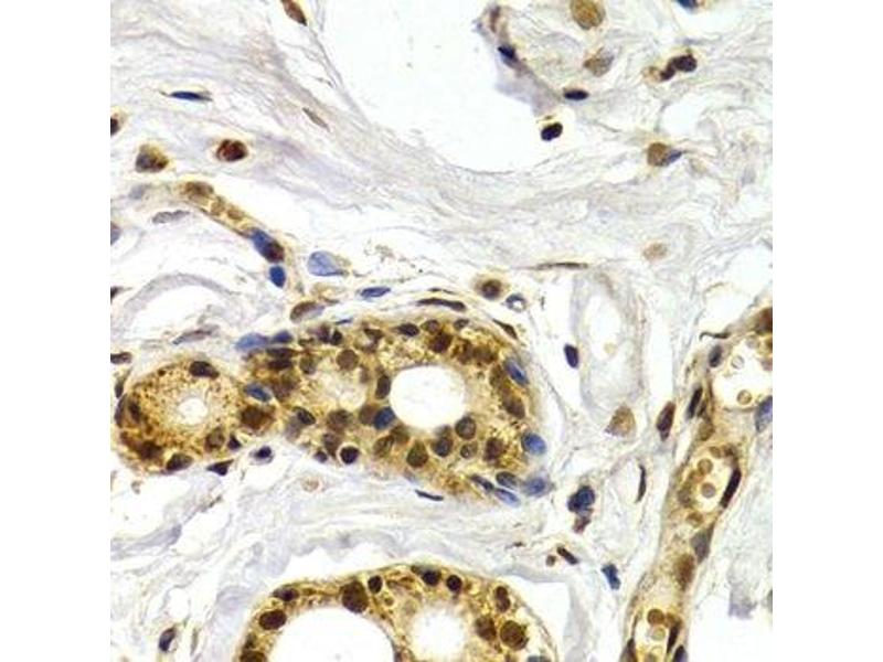
Cité dans 1 publication. Cet anticorps anti-ATF2 Polyclonal Lapin (ABIN3023064) détecte spécifiquement ATF2 dans WB et IHC. L’anticorps est réactif avec des échantillons de Humain.
N° du produit ABIN3023064
385,00 €
Plus frais de livraison 40,00 € et TVA
Destination: France
Envoi sous 8 à 10 jours ouvrables

Aperçu rapide pour ATF2 anticorps (AA 1-190) (ABIN3023064)

Antigène

Voir toutes ATF2 Anticorps
ATF2 (Activating Transcription Factor 2 (ATF2))

Reactivité

  • 336
  • 240
  • 207
  • 17
  • 12
  • 11
  • 8
  • 7
  • 7
  • 5
  • 5
  • 3
  • 2
  • 2
  • 1
  • 1
Humain

Hôte

  • 365
  • 14
  • 2
  • 1
Lapin

Clonalité

  • 325
  • 57
Polyclonal

Conjugué

  • 169
  • 21
  • 11
  • 11
  • 10
  • 10
  • 10
  • 10
  • 10
  • 10
  • 9
  • 9
  • 9
  • 9
  • 9
  • 9
  • 9
  • 9
  • 9
  • 9
  • 9
  • 3
  • 3
  • 3
  • 2
Cet anticorp ATF2 est non-conjugé

Application

  • 284
  • 130
  • 119
  • 118
  • 106
  • 86
  • 70
  • 62
  • 41
  • 29
  • 20
  • 10
  • 6
  • 2
  • 2
  • 1
Western Blotting (WB), Immunohistochemistry (IHC)
  • Épitope

    • 54
    • 45
    • 26
    • 25
    • 25
    • 24
    • 24
    • 23
    • 15
    • 15
    • 15
    • 15
    • 13
    • 11
    • 9
    • 6
    • 5
    • 4
    • 3
    • 3
    • 3
    • 3
    • 3
    • 3
    • 3
    • 2
    • 2
    • 2
    • 2
    • 2
    • 2
    • 2
    • 2
    • 2
    • 2
    • 1
    • 1
    • 1
    • 1
    • 1
    • 1
    • 1
    • 1
    • 1
    • 1
    • 1
    • 1
    • 1
    • 1
    • 1
    AA 1-190

    Séquence

    MKFKLHVNSA RQYKDLWNMS DDKPFLCTAP GCGQRFTNED HLAVHKHKHE MTLKFGPARN DSVIVADQTP TPTRFLKNCE EVGLFNELAS PFENEFKKAS EDDIKKMPLD LSPLATPIIR SKIEEPSVVE TTHQDSPLPH PESTTSDEKE VPLAQTAQPT SAIVRPASLQ VPNVLLTSSD SSVIIQQAVP

     Réactivité croisée

    Humain, Souris, Rat

    Attributs du produit

    Polyclonal Antibodies

    Purification

    Affinity purification

    Immunogène

    Recombinant fusion protein containing a sequence corresponding to amino acids 1-190 of human ATF2 (NP_001871.2).

    Isotype

    IgG
  • Indications d'application

    WB,1:500 - 1:2000,IHC,1:50 - 1:200

    Restrictions

    For Research Use only
  • Format

    Liquid

    Buffer

    PBS with 0.02 % sodium azide,50 % glycerol, pH 7.3.

    Agent conservateur

    Sodium azide

    Précaution d'utilisation

    This product contains Sodium azide: a POISONOUS AND HAZARDOUS SUBSTANCE which should be handled by trained staff only.

    Conseil sur la manipulation

    Avoid freeze / thaw cycles

    Stock

    -20 °C

    Stockage commentaire

    Store at -20°C. Avoid freeze / thaw cycles.
  • Zhang, He, Wang, Zhang, Huang, Xiong, Yan, Wu, Ren, Han, Liu, Qian, Du: "Virus-Triggered ATP Release Limits Viral Replication through Facilitating IFN-β Production in a P2X7-Dependent Manner." dans: Journal of immunology (Baltimore, Md. : 1950), Vol. 199, Issue 4, pp. 1372-1381, (2017) (PubMed).

  • Antigène

    ATF2 (Activating Transcription Factor 2 (ATF2))

    Autre désignation

    ATF2

    Sujet

    This gene encodes a transcription factor that is a member of the leucine zipper family of DNA binding proteins. The encoded protein has been identified as a moonlighting protein based on its ability to perform mechanistically distinct functions This protein binds to the cAMP-responsive element (CRE), an octameric palindrome. It forms a homodimer or a heterodimer with c-Jun and stimulates CRE-dependent transcription. This protein is also a histone acetyltransferase (HAT) that specifically acetylates histones H2B and H4 in vitro, thus it may represent a class of sequence-specific factors that activate transcription by direct effects on chromatin components. The encoded protein may also be involved in cell's DNA damage response independent of its role in transcriptional regulation. Several alternatively spliced transcript variants have been found for this gene,CRE-BP1,CREB-2,CREB2,HB16,TREB7,ATF2,Epigenetics & Nuclear Signaling,Transcription Factors,Signal Transduction,MAPK-JNK Signaling Pathway,MAPK-P38 Signaling Pathway,Immunology & Inflammation,B Cell Receptor Signaling Pathway,Toll-like Receptor Signaling Pathway,Cell Intrinsic Innate Immunity Signaling Pathway,TLR Signaling,ATF2

    Poids moléculaire

    13- 15 kDa/23-24 kDa/35-54 kDa

    ID gène

    1386

    UniProt

    P15336

    Pathways

    Signalisation MAPK, Signalisation RTK, Thyroid Hormone Synthesis, Activation of Innate immune Response, Chromatin Binding, Myometrial Relaxation and Contraction, Synaptic Membrane, Tube Formation, Toll-Like Receptors Cascades
Vous êtes ici:
Chat with us!