Tel:
+49 (0)241 95 163 153
Fax:
+49 (0)241 95 163 155
E-Mail:
orders@anticorps-enligne.fr

Phospholipase C gamma 2 anticorps (pTyr1217)

L’anticorps Lapin Polyclonal anti-Phospholipase C gamma 2 a été validé pour IHC (p). Il convient pour détecter Phospholipase C gamma 2 dans des échantillons de Humain, Rat et Souris.
N° du produit ABIN319284

Aperçu rapide pour Phospholipase C gamma 2 anticorps (pTyr1217) (ABIN319284)

Antigène

Voir toutes Phospholipase C gamma 2 (PLCG2) Anticorps
Phospholipase C gamma 2 (PLCG2)

Reactivité

  • 119
  • 57
  • 43
  • 6
  • 4
  • 4
  • 4
  • 4
  • 3
  • 1
Humain, Rat, Souris

Hôte

  • 109
  • 10
Lapin

Clonalité

  • 109
  • 10
Polyclonal

Conjugué

  • 55
  • 6
  • 4
  • 4
  • 3
  • 3
  • 3
  • 3
  • 3
  • 3
  • 3
  • 3
  • 3
  • 3
  • 3
  • 3
  • 3
  • 3
  • 2
  • 2
  • 2
  • 2
Cet anticorp Phospholipase C gamma 2 est non-conjugé

Application

  • 91
  • 40
  • 40
  • 33
  • 31
  • 23
  • 16
  • 15
  • 11
  • 8
  • 7
  • 3
  • 2
  • 1
  • 1
Immunohistochemistry (Paraffin-embedded Sections) (IHC (p))
  • Épitope

    • 28
    • 19
    • 16
    • 13
    • 6
    • 5
    • 4
    • 3
    • 3
    • 3
    • 2
    • 2
    • 2
    • 1
    • 1
    • 1
    • 1
    • 1
    • 1
    • 1
    • 1
    • 1
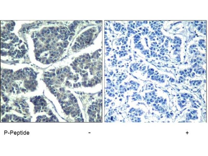
    pTyr1217

    Specificité

    This antibody detects endogenous levels of PLC-gamma 2 only when phosphorylated at Tyrosine 1217.

    Purification

    Immunoaffinity Chromatography: The antibody was affinity-purified from rabbit antiserum by affinity-chromatography using epitope-specific phosphopeptide. The antibody against non-phosphopeptide was removed by chromatography using non-phosphopeptide corresponding to the phosphorylation site.

    Immunogène

    The antiserum was produced against synthesized phosphopeptide derived from Human PLC-gamma 2 around the phosphorylation site of Tyrosine 1217 (F-L-Yp-D-T).
  • Indications d'application

    Immunohistochemistry (1/50-1/100).
    Other applications not tested.
    Optimal dilutions are dependent on conditions and should be determined by the user.

    Restrictions

    For Research Use only
  • Concentration

    1.0 mg/mL

    Buffer

    PBS (without Mg2+ and Ca2+), pH 7.4, 150 mM NaCl, 0.02 % Sodium Azide and 50 % Glycerol.

    Agent conservateur

    Sodium azide

    Précaution d'utilisation

    This product contains sodium azide: a POISONOUS AND HAZARDOUS SUBSTANCE which should be handled by trained staff only.

    Conseil sur la manipulation

    Avoid repeated freezing and thawing.

    Stock

    -20 °C

    Stockage commentaire

    Store the antibody (in aliquots) at-20 °C.
  • Antigène

    Phospholipase C gamma 2 (PLCG2)

    Autre désignation

    PLCG2

    Sujet

    Enzymes of the phospholipase C family catalyze the hydrolysis of phospholipids to yield diacylglycerols and water soluble phosphorylated derivatives of the lipid head groups. A number of these enzymes have specificity for phosphoinositides. Of the phosphoinositide specific phospholipase C enzymes, C beta is regulated by heterotrimeric G protein coupled receptors, while the closely related C gamma 1 and C gamma 2 enzymes are controlled by receptor tyrosine kinases. The C gamma 1 and C gamma 2 enzymes are composed of phospholipase domains that flank regions of homology to noncatalytic domains of the SRC oncogene product, SH2 and SH3.Synonyms: 1-phosphatidylinositol-4, 5-bisphosphate phosphodiesterase gamma-2, PLC-IV, PLC-gamma-2, Phosphoinositide phospholipase C-gamma-2, Phospholipase C-IV, Phospholipase C-gamma-2

    ID gène

    5336

    NCBI Accession

    NP_002652

    UniProt

    P16885

    Pathways

    Signalisation RTK, Signalisation WNT, Fc-epsilon Receptor Signaling Pathway, Inositol Metabolic Process, Myometrial Relaxation and Contraction, Toll-Like Receptors Cascades, VEGF Signaling, BCR Signaling
Vous êtes ici:
Chat with us!