Tel:
+49 (0)241 95 163 153
Fax:
+49 (0)241 95 163 155
E-Mail:
orders@anticorps-enligne.fr

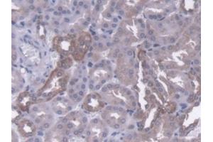
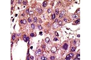
AMFR anticorps (AA 571-601)

Cité dans 1 publication. Cet anticorps anti-AMFR Polyclonal Lapin (Clone RB4403-4404) (ABIN388938) détecte spécifiquement AMFR dans WB, FACS et IHC (p). L’anticorps est réactif avec des échantillons de Humain.
N° du produit ABIN388938
434,77 €
Plus frais de livraison 40,00 € et TVA
Destination: France
Envoi sous 14 à 17 jours ouvrables

Aperçu rapide pour AMFR anticorps (AA 571-601) (ABIN388938)

Antigène

Voir toutes AMFR Anticorps
AMFR (Autocrine Motility Factor Receptor (AMFR))

Reactivité

  • 30
  • 9
  • 7
  • 4
  • 2
  • 2
  • 2
  • 2
  • 1
  • 1
  • 1
  • 1
  • 1
Humain

Hôte

  • 31
  • 1
Lapin

Clonalité

  • 31
  • 1
Polyclonal

Conjugué

  • 23
  • 3
  • 2
  • 2
  • 1
  • 1
Cet anticorp AMFR est non-conjugé

Application

  • 28
  • 19
  • 10
  • 4
  • 3
  • 3
  • 3
  • 2
  • 2
  • 1
  • 1
  • 1
Western Blotting (WB), Flow Cytometry (FACS), Immunohistochemistry (Paraffin-embedded Sections) (IHC (p))

Clone

RB4403-4404
  • Épitope

    • 7
    • 5
    • 3
    • 2
    • 2
    • 1
    • 1
    • 1
    • 1
    • 1
    • 1
    • 1
    • 1
    • 1
    • 1
    • 1
    • 1
    AA 571-601

    Purification

    This antibody is prepared by Saturated Ammonium Sulfate (SAS) precipitation followed by dialysis against PBS.

    Immunogène

    This AMFR antibody is generated from rabbits immunized with a KLH conjugated synthetic peptide between 571-601 amino acids of human AMFR.

    Isotype

    Ig Fraction
  • Indications d'application

    WB: 1:1000. IHC-P: 1:50~100. IHC-P: 1:50~100. FC: 1:10~50

    Restrictions

    For Research Use only
  • Format

    Liquid

    Buffer

    Purified polyclonal antibody supplied in PBS with 0.09 % (W/V) sodium azide.

    Agent conservateur

    Sodium azide

    Précaution d'utilisation

    This product contains Sodium azide: a POISONOUS AND HAZARDOUS SUBSTANCE which should be handled by trained staff only.

    Stock

    4 °C,-20 °C

    Stockage commentaire

    Maintain refrigerated at 2-8 °C for up to 6 months. For long term storage store at -20 °C in small aliquots to prevent freeze-thaw cycles.

    Date de péremption

    6 months
  • Araki, Shimura, Yajima, Tsutsumi, Suzuki, Okada, Kobayashi, Raz, Kuwano: "Phosphoglucose isomerase/autocrine motility factor promotes melanoma cell migration through ERK activation dependent on autocrine production of interleukin-8." dans: The Journal of biological chemistry, Vol. 284, Issue 47, pp. 32305-11, (2009) (PubMed).

  • Antigène

    AMFR (Autocrine Motility Factor Receptor (AMFR))

    Autre désignation

    AMFR

    Sujet

    Autocrine motility factor (AMF) is a protein secreted by tumor cells that stimulates tumor motility. The gene for AMFR encodes a 323-amino acid polypeptide that has a single transmembrane domain and several putative glycosylation sites. The protein sequence has some homology to human tumor protein p53.

    Poids moléculaire

    72996

    ID gène

    267

    NCBI Accession

    NP_001135

    UniProt

    Q9UKV5

    Pathways

    ER-Nucleus Signaling
Vous êtes ici:
Chat with us!