Tel:
+49 (0)241 95 163 153
Fax:
+49 (0)241 95 163 155
E-Mail:
orders@anticorps-enligne.fr

DDIT4 anticorps (N-Term)

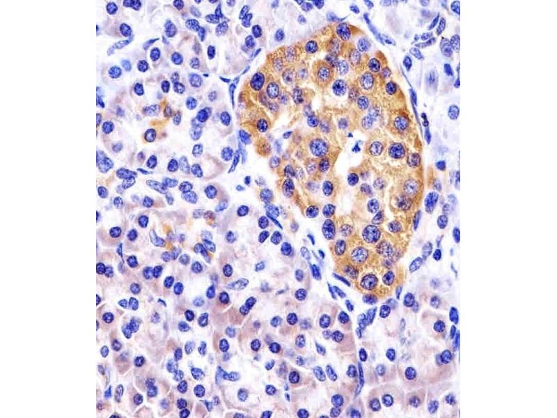
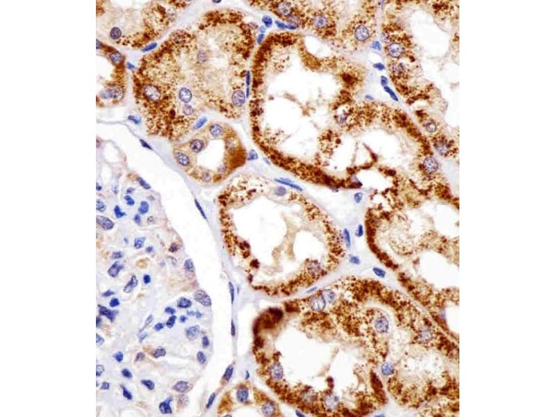
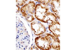
Cet anticorps anti-DDIT4 Polyclonal Lapin (Clone RB12592) (ABIN390207) détecte spécifiquement DDIT4 dans WB et IHC (p). L’anticorps est réactif avec des échantillons de Humain.
N° du produit ABIN390207
434,77 €
Plus frais de livraison 40,00 € et TVA
Destination: France
Envoi sous 14 à 17 jours ouvrables

Aperçu rapide pour DDIT4 anticorps (N-Term) (ABIN390207)

Antigène

Voir toutes DDIT4 Anticorps
DDIT4 (DNA-Damage-Inducible Transcript 4 (DDIT4))

Reactivité

  • 44
  • 24
  • 10
  • 2
  • 2
  • 2
  • 2
  • 1
Humain

Hôte

  • 55
  • 4
Lapin

Clonalité

  • 57
  • 2
Polyclonal

Conjugué

  • 28
  • 4
  • 3
  • 3
  • 2
  • 2
  • 1
  • 1
  • 1
  • 1
  • 1
  • 1
  • 1
  • 1
  • 1
  • 1
  • 1
  • 1
  • 1
  • 1
  • 1
  • 1
  • 1
Cet anticorp DDIT4 est non-conjugé

Application

  • 36
  • 24
  • 17
  • 13
  • 13
  • 9
  • 7
  • 6
  • 3
  • 3
  • 3
  • 2
  • 2
Western Blotting (WB), Immunohistochemistry (Paraffin-embedded Sections) (IHC (p))

Clone

RB12592
  • Épitope

    • 15
    • 8
    • 7
    • 6
    • 4
    • 3
    • 3
    • 1
    • 1
    • 1
    • 1
    • 1
    AA 20-49, N-Term

    Purification

    This antibody is purified through a protein A column, followed by peptide affinity purification.

    Immunogène

    This DDIT4 antibody is generated from rabbits immunized with a KLH conjugated synthetic peptide between 20-49 amino acids from the N-terminal region of human DDIT4.

    Isotype

    Ig Fraction
  • Indications d'application

    WB: 1:2000. IHC-P: 1:25. IHC-P: 1:25. IHC-P: 1:25

    Restrictions

    For Research Use only
  • Format

    Liquid

    Buffer

    Purified polyclonal antibody supplied in PBS with 0.09 % (W/V) sodium azide.

    Agent conservateur

    Sodium azide

    Précaution d'utilisation

    This product contains Sodium azide: a POISONOUS AND HAZARDOUS SUBSTANCE which should be handled by trained staff only.

    Stock

    4 °C,-20 °C

    Stockage commentaire

    Maintain refrigerated at 2-8 °C for up to 6 months. For long term storage store at -20 °C in small aliquots to prevent freeze-thaw cycles.

    Date de péremption

    6 months
  • Antigène

    DDIT4 (DNA-Damage-Inducible Transcript 4 (DDIT4))

    Autre désignation

    DDIT4

    Sujet

    REDD1 is a novel transcriptional target of p53 induced following DNA damage. During embryogenesis, REDD1 expression mirrors the tissue-specific pattern of the p53 family member p63, and TP63 null embryos show virtually no expression of REDD1, which is restored in mouse embryo fibroblasts following p63 expression. In differentiating primary keratinocytes, TP63 and REDD1 expression are coordinately downregulated, and ectopic expression of either gene inhibits in vitro differentiation. REDD1 appears to function in the regulation of reactive oxygen species (ROS), TP63 null fibroblasts have decreased ROS levels and reduced sensitivity to oxidative stress, which are both increased following ectopic expression of either TP63 or REDD1. Thus, REDD1 encodes a shared transcriptional target that implicates ROS in the p53-dependent DNA damage response and in p63-mediated regulation of epithelial differentiation.

    Poids moléculaire

    25371

    ID gène

    54541

    NCBI Accession

    NP_061931

    UniProt

    Q9NX09

    Pathways

    Neurotrophin Signaling Pathway, Regulation of Carbohydrate Metabolic Process
Vous êtes ici:
Chat with us!