Tel:
+49 (0)241 95 163 153
Fax:
+49 (0)241 95 163 155
E-Mail:
orders@anticorps-enligne.fr

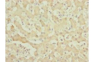
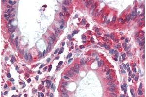
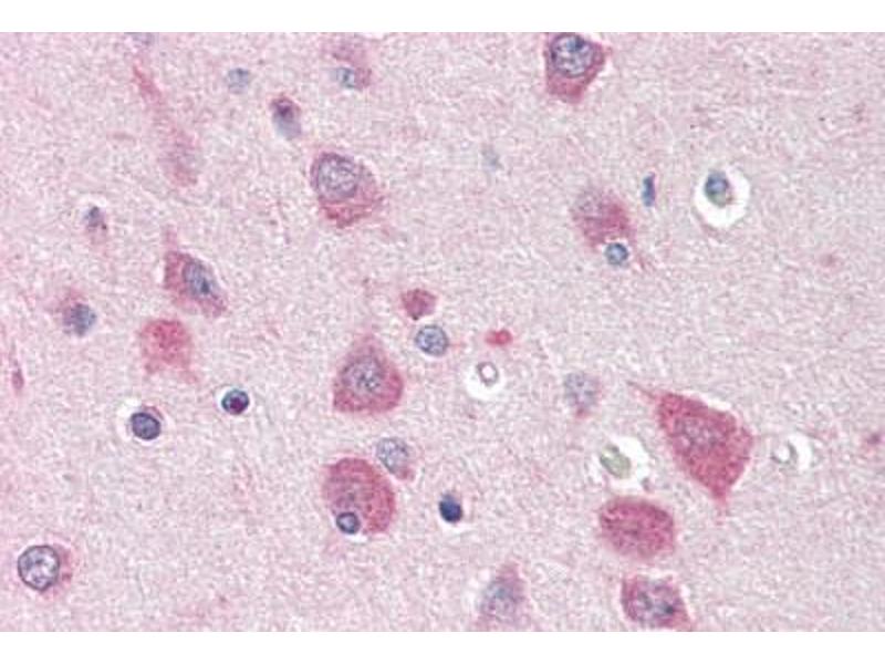
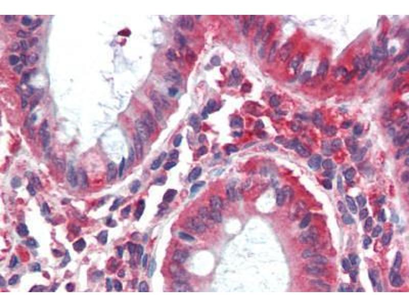
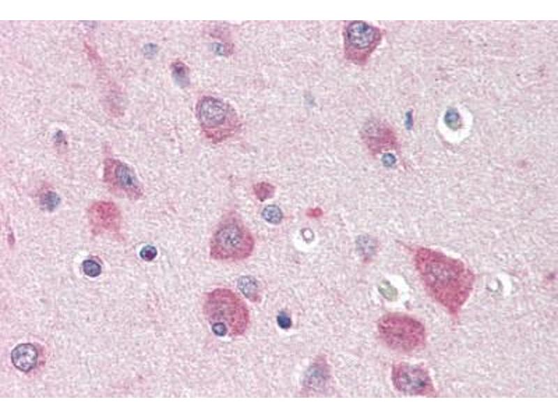
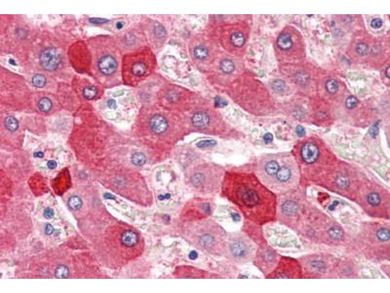
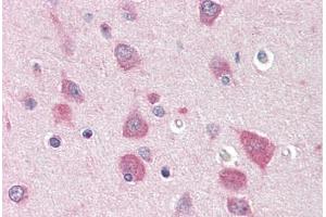
MYO5B anticorps (C-Term)

Cet anticorps anti-MYO5B Polyclonal Lapin (ABIN396915) détecte spécifiquement MYO5B dans WB, ELISA, IHC et IHC (p). L’anticorps est réactif avec des échantillons de Humain et Souris.
N° du produit ABIN396915
610,95 €
Plus frais de livraison 40,00 € et TVA
50 μg
Destination: France
Envoi sous 15 à 20 jours ouvrables

Aperçu rapide pour MYO5B anticorps (C-Term) (ABIN396915)

Antigène

MYO5B (Myosin VB (MYO5B))

Reactivité

  • 12
  • 7
  • 2
Humain, Souris

Hôte

  • 12
Lapin

Clonalité

  • 12
Polyclonal

Conjugué

  • 12
Cet anticorp MYO5B est non-conjugé

Application

  • 10
  • 7
  • 3
  • 3
  • 1
  • 1
  • 1
Western Blotting (WB), ELISA, Immunohistochemistry (IHC), Immunohistochemistry (Paraffin-embedded Sections) (IHC (p))
  • Épitope

    • 4
    • 2
    • 2
    • 1
    • 1
    • 1
    C-Term

    Specificité

    Synthetic peptide corresponding to C-terminal residues of human Myosin-5B(Myosin Vb)

    Purification

    Immunoaffinity purified

    Immunogène

    Synthetic peptide from human MYO5B.

    Type of Immunogen: Synthetic peptide
  • Indications d'application

    Approved: ELISA, IHC, IHC-P (20 μg/mL), WB (1 μg/mL)

    Usage: Immunohistochemistry: This antibody was validated for use in immunohistochemistry on a panel of 21 formalin-fixed, paraffin-embedded (FFPE) human tissues after heat induced antigen retrieval in  pH 6.0 citrate buffer. After incubation with the primary antibody, slides were incubated with biotinylated secondary antibody, followed by alkaline phosphatase-streptavidin and chromogen. The stained slides were evaluated by a pathologist to confirm staining specificity. The optimal working concentration for this antibody was determined to be 20 μg/mL.

    Commentaires

    Target Species of Antibody: Human

    Restrictions

    For Research Use only
  • Format

    Liquid

    Concentration

    Lot specific

    Buffer

    PBS, 0.01 % sodium azide, 50 % glycerol.

    Agent conservateur

    Sodium azide

    Précaution d'utilisation

    This product contains Sodium azide: a POISONOUS AND HAZARDOUS SUBSTANCE which should be handled by trained staff only.

    Conseil sur la manipulation

    Avoid repeated freezing and thawing.

    Stock

    4 °C,-20 °C

    Stockage commentaire

    4°C or -20°C, Avoid freeze-thaw cycles.
  • Antigène

    MYO5B (Myosin VB (MYO5B))

    Autre désignation

    MYO5B / Myosin VB

    Sujet

    Name/Gene ID: MYO5B

    Synonyms: MYO5B, KIAA1119, Myosin VB, Myosin-Vb, Unconventional myosin-Vb, MYO5B variant protein

    ID gène

    4645
Vous êtes ici:
Chat with us!