Tel:
+49 (0)241 95 163 153
Fax:
+49 (0)241 95 163 155
E-Mail:
orders@anticorps-enligne.fr

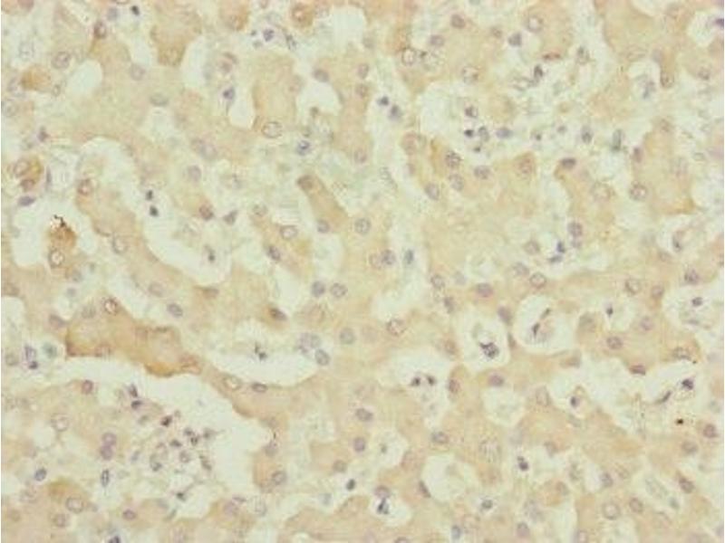
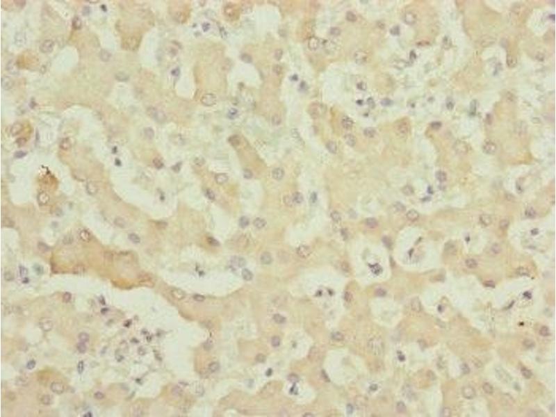
MYO5B anticorps (AA 1440-1690)

Cet anticorps anti-MYO5B Polyclonal Lapin (ABIN7174957) détecte spécifiquement MYO5B dans WB, ELISA et IHC. L’anticorps est réactif avec des échantillons de Humain.
N° du produit ABIN7174957
328,90 €
Plus frais de livraison 40,00 € et TVA
Destination: France
Envoi sous 11 à 15 jours ouvrables

Aperçu rapide pour MYO5B anticorps (AA 1440-1690) (ABIN7174957)

Antigène

MYO5B (Myosin VB (MYO5B))

Reactivité

  • 12
  • 8
  • 2
Humain

Hôte

  • 12
Lapin

Clonalité

  • 12
Polyclonal

Conjugué

  • 12
Cet anticorp MYO5B est non-conjugé

Application

  • 10
  • 7
  • 4
  • 3
  • 1
  • 1
  • 1
Western Blotting (WB), ELISA, Immunohistochemistry (IHC)
  • Épitope

    • 4
    • 2
    • 2
    • 1
    • 1
    • 1
    AA 1440-1690

    Fonction

    MYO5B Antibody

    Purification

    Antigen Affinity Purified

    Immunogène

    Recombinant Human Unconventional myosin-Vb protein (1440-1690AA)

    Isotype

    IgG
  • Indications d'application

    Optimal working dilution should be determined by the investigator.

    Restrictions

    For Research Use only
  • Format

    Liquid

    Buffer

    PBS with 0.02 % sodium azide, 50 % glycerol, pH 7.3.

    Agent conservateur

    Sodium azide

    Précaution d'utilisation

    This product contains Sodium azide: a POISONOUS AND HAZARDOUS SUBSTANCE which should be handled by trained staff only.

    Stock

    -20 °C,-80 °C

    Stockage commentaire

    Upon receipt, store at -20°C or -80°C. Avoid repeated freeze.
  • Antigène

    MYO5B (Myosin VB (MYO5B))

    Autre désignation

    MYO5B

    Sujet

    Background: May be involved in vesicular trafficking via its association with the CART complex. The CART complex is necessary for efficient transferrin receptor recycling but not for EGFR degradation. Required in a complex with RAB11A and RAB11FIP2 for the transport of NPC1L1 to the plasma membrane. Together with RAB11A participates in CFTR trafficking to the plasma membrane and TF (transferrin) recycling in nonpolarized cells. Together with RAB11A and RAB8A participates in epithelial cell polarization. Together with RAB25 regulates transcytosis.

    Aliases: KIAA1119 antibody, Myo5b antibody, MYO5B_HUMAN antibody, Myosin Vb antibody, Unconventional myosin-Vb antibody

    UniProt

    Q9ULV0
Vous êtes ici:
Chat with us!