Tel:
+49 (0)241 95 163 153
Fax:
+49 (0)241 95 163 155
E-Mail:
orders@anticorps-enligne.fr

H2AFX anticorps

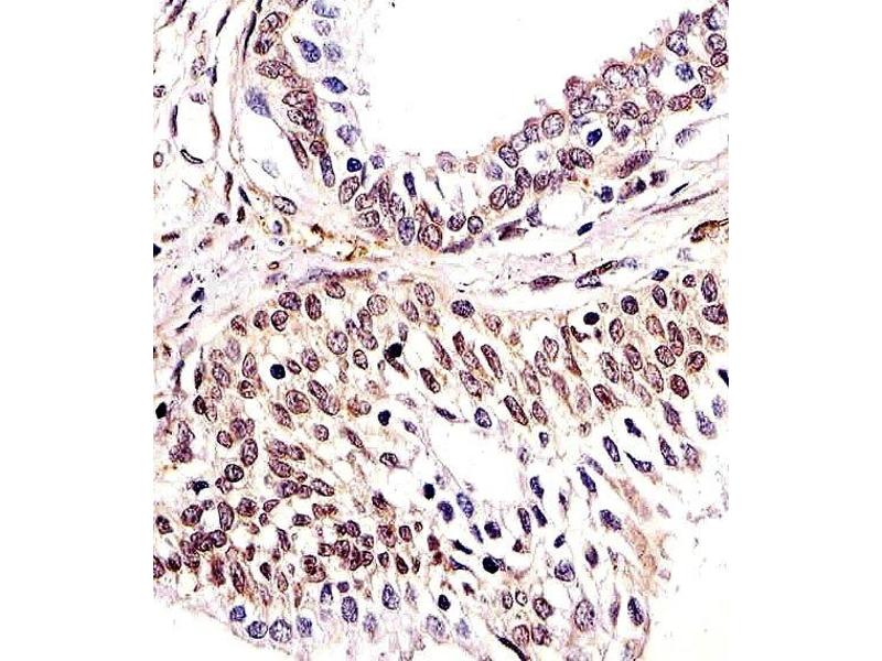
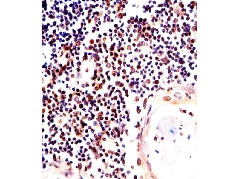
Cet anticorps Souris Monoclonal détecte spécifiquement H2AFX dans WB et IHC (p). Il présente une réactivité avec des échantillons de Humain.
N° du produit ABIN4910434
422,08 €
Plus frais de livraison 40,00 € et TVA
100 μL
Destination: France
Envoi sous 12 à 17 jours ouvrables

Aperçu rapide pour H2AFX anticorps (ABIN4910434)

Antigène

Voir toutes H2AFX Anticorps
H2AFX (H2A Histone Family, Member X (H2AFX))

Reactivité

  • 211
  • 112
  • 90
  • 25
  • 25
  • 19
  • 15
  • 11
  • 8
  • 3
  • 2
  • 2
  • 2
  • 1
  • 1
  • 1
Humain

Hôte

  • 181
  • 30
  • 2
  • 2
Souris

Clonalité

  • 121
  • 94
Monoclonal

Conjugué

  • 124
  • 10
  • 8
  • 8
  • 7
  • 6
  • 6
  • 6
  • 6
  • 4
  • 4
  • 3
  • 2
  • 2
  • 2
  • 2
  • 2
  • 2
  • 2
  • 2
  • 2
  • 2
  • 1
  • 1
  • 1
Cet anticorp H2AFX est non-conjugé

Application

  • 175
  • 90
  • 72
  • 55
  • 45
  • 31
  • 30
  • 28
  • 27
  • 16
  • 8
  • 4
  • 4
  • 4
  • 3
  • 2
  • 2
  • 2
  • 2
  • 2
  • 1
  • 1
  • 1
Western Blotting (WB), Immunohistochemistry (Paraffin-embedded Sections) (IHC (p))

Clone

8C5
  •  Réactivité croisée

    Humain

    Purification

    Purified monoclonal antibody supplied in PBS with 0.09% (W/V) sodium azide. This antibody is purified through a protein G column, eluted with high and low pH buffers and neutralized immediately, followed by dialysis against PBS.

    Immunogène

    This H2AFX antibody is generated from mice immunized with a KLH conjugated synthetic peptide between 115-143 amino acids from the C-terminal region of human H2AFX.

    Isotype

    IgG1
  • Indications d'application

    WB 1:300-5000
    IHC-P 1:200-400

    Restrictions

    For Research Use only
  • Format

    Liquid

    Concentration

    0.5 μg/μL

    Buffer

    0.01M TBS( pH 7.4) with 1 % BSA, 0.02 % Proclin300 and 50 % Glycerol.

    Agent conservateur

    ProClin

    Précaution d'utilisation

    This product contains ProClin: a POISONOUS AND HAZARDOUS SUBSTANCE, which should be handled by trained staff only.

    Stock

    4 °C,-20 °C

    Stockage commentaire

    Shipped at 4°C. Store at -20°C for one year. Avoid repeated freeze/thaw cycles.

    Date de péremption

    12 months
  • Antigène

    H2AFX (H2A Histone Family, Member X (H2AFX))

    Autre désignation

    H2AFX

    Sujet

    Synonyms: H2AX, H2A.X, H2A/X, Histone H2AX, Histone H2A.X, H2AFX

    Background: Variant histone H2A which replaces conventional H2A in a subset of nucleosomes. Nucleosomes wrap and compact DNA into chromatin, limiting DNA accessibility to the cellular machineries which require DNA as a template. Histones thereby play a central role in transcription regulation, DNA repair, DNA replication and chromosomal stability. DNA accessibility is regulated via a complex set of post-translational modifications of histones, also called histone code, and nucleosome remodeling. Required for checkpoint-mediated arrest of cell cycle progression in response to low doses of ionizing radiation and for efficient repair of DNA double strand breaks (DSBs) specifically when modified by C-terminal phosphorylation.

    ID gène

    3014

    UniProt

    P16104

    Pathways

    Telomere Maintenance, Réparation de l'ADN, Positive Regulation of Response to DNA Damage Stimulus
Vous êtes ici:
Chat with us!