PDK4 anticorps (AA 382-410)
Aperçu rapide pour PDK4 anticorps (AA 382-410) (ABIN3028963)
Antigène
Voir toutes PDK4 AnticorpsReactivité
Hôte
Clonalité
Conjugué
Application
-
-
Épitope
- AA 382-410
-
Purification
- Purified
-
Immunogène
- A portion of amino acids 382-410 from the human protein was used as the immunogen for this PDK4 antibody.
-
Isotype
- Ig Fraction
-
-
-
-
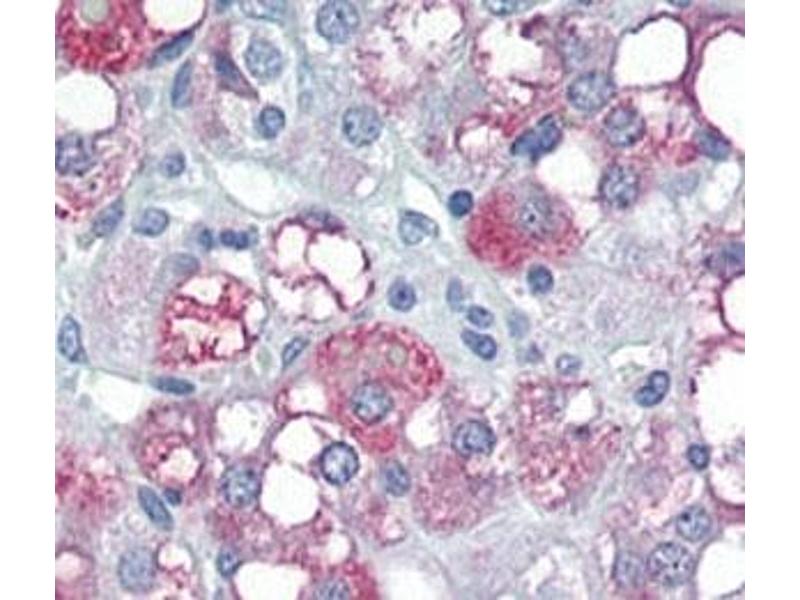
Indications d'application
- Titration of the PDK4 antibody may be required due to differences in protocols and secondary/substrate sensitivity.\. Immunofluorescence: 1:100,Western blot: 1:1000,IHC (Paraffin): 1:10-1:50
-
Restrictions
- For Research Use only
-
-
-
Format
- Liquid
-
Buffer
- In 1X PBS, pH 7.4, with 0.09 % sodium azide
-
Agent conservateur
- Sodium azide
-
Précaution d'utilisation
- This product contains Sodium azide: a POISONOUS AND HAZARDOUS SUBSTANCE which should be handled by trained staff only.
-
Stock
- -20 °C
-
Stockage commentaire
- Aliquot the PDK4 antibody and store frozen at -20°C or colder. Avoid repeated freeze-thaw cycles.
-
-
-
: "Immune Checkpoint Blockade Improves Chemotherapy in the PyMT Mammary Carcinoma Mouse Model." dans: Frontiers in oncology, Vol. 10, pp. 1771, (2020) (PubMed).
-
: "Immune Checkpoint Blockade Improves Chemotherapy in the PyMT Mammary Carcinoma Mouse Model." dans: Frontiers in oncology, Vol. 10, pp. 1771, (2020) (PubMed).
-
- PDK4 (Pyruvate Dehydrogenase Kinase, Isozyme 4 (PDK4))
-
Autre désignation
- PDK4
-
Sujet
- PDK4 inhibits the mitochondrial pyruvate dehydrogenase complex by phosphorylation of the E1 alpha subunit, thus contributing to the regulation of glucose metabolism.
-
UniProt
- Q16654
-
Pathways
- Signalisation PI3K-Akt, Signalisation Hedgehog, Carbohydrate Homeostasis, Regulation of Carbohydrate Metabolic Process, L'effet Warburg
Antigène
-