ROR2 anticorps (AA 750-800)
Aperçu rapide pour ROR2 anticorps (AA 750-800) (ABIN3028972)
Antigène
Voir toutes ROR2 AnticorpsReactivité
Hôte
Clonalité
Conjugué
Application
-
-
Épitope
- AA 750-800
-
Purification
- Antigen affinity purified
-
Immunogène
- A portion of amino acids 750-800 from the mouse protein was used as the immunogen for this Ror2 antibody.
-
Isotype
- Ig Fraction
-
-
-
-
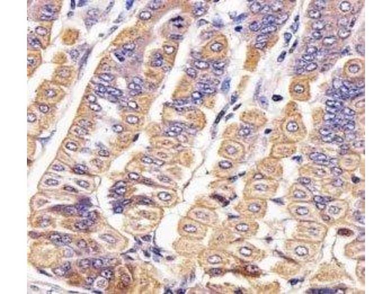
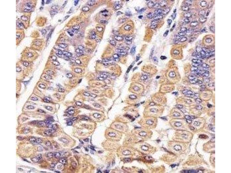
Indications d'application
- Titration of the Ror2 antibody may be required due to differences in protocols and secondary/substrate sensitivity.\. IHC (Paraffin): 1:25,Western blot: 1:1000
-
Restrictions
- For Research Use only
-
-
-
Format
- Liquid
-
Buffer
- In 1X PBS, pH 7.4, with 0.09 % sodium azide
-
Agent conservateur
- Sodium azide
-
Précaution d'utilisation
- This product contains Sodium azide: a POISONOUS AND HAZARDOUS SUBSTANCE which should be handled by trained staff only.
-
Stock
- -20 °C
-
Stockage commentaire
- Aliquot the Ror2 antibody and store frozen at -20°C or colder. Avoid repeated freeze-thaw cycles.
-
-
- ROR2 (Receptor Tyrosine Kinase-Like Orphan Receptor 2 (ROR2))
-
Autre désignation
- Ror2
-
Sujet
- Tyrosine-protein kinase receptor which may be involved in the early formation of the chondrocytes. It seems to be required for cartilage and growth plate development. Phosphorylates YWHAB, leading to induction of osteogenesis and bone formation (By similarity).
-
UniProt
- Q9Z138
-
Pathways
- Signalisation RTK, Signalisation WNT
Antigène
-