Tel:
+49 (0)241 95 163 153
Fax:
+49 (0)241 95 163 155
E-Mail:
orders@anticorps-enligne.fr

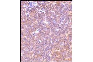
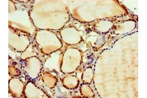
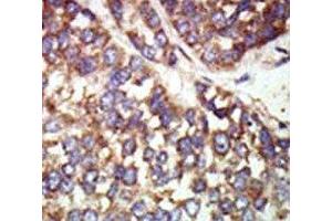
PAK2 anticorps (C-Term)

Cet anticorps anti-PAK2 Polyclonal Lapin (ABIN500439) détecte spécifiquement PAK2 dans WB, IHC (p) et EIA. L’anticorps est réactif avec des échantillons de Humain, Souris et Rat.
N° du produit ABIN500439
864,62 €
Plus frais de livraison 40,00 € et TVA
0.1 mg
Destination: France
Envoi sous 17 jours ouvrables

Aperçu rapide pour PAK2 anticorps (C-Term) (ABIN500439)

Antigène

Voir toutes PAK2 Anticorps
PAK2 (P21-Activated Kinase 2 (PAK2))

Reactivité

  • 101
  • 54
  • 52
  • 4
  • 1
  • 1
Humain, Souris, Rat

Hôte

  • 97
  • 5
Lapin

Clonalité

  • 76
  • 26
Polyclonal

Conjugué

  • 60
  • 6
  • 5
  • 5
  • 5
  • 5
  • 5
  • 5
  • 1
  • 1
  • 1
  • 1
  • 1
  • 1
Cet anticorp PAK2 est non-conjugé

Application

  • 67
  • 47
  • 42
  • 21
  • 13
  • 12
  • 10
  • 4
  • 2
  • 2
  • 2
  • 2
  • 1
Western Blotting (WB), Immunohistochemistry (Paraffin-embedded Sections) (IHC (p)), Enzyme Immunoassay (EIA)
  • Épitope

    • 13
    • 12
    • 11
    • 8
    • 5
    • 4
    • 2
    • 2
    • 2
    • 2
    • 2
    • 1
    • 1
    • 1
    • 1
    • 1
    • 1
    • 1
    • 1
    • 1
    • 1
    • 1
    • 1
    • 1
    • 1
    • 1
    • 1
    • 1
    • 1
    • 1
    • 1
    C-Term

    Specificité

    This antibody detects PAK2 at C-term.

    Réactivité croisée (Details)

    Species reactivity (tested):Human, mouse, rat

    Purification

    Peptide affinity chromatography

    Immunogène

    14 amino acid peptide from near the carboxy terminus of human PAK2

    Isotype

    IgG
  • Indications d'application

    ELISA. Western blot: 0.5 - 1 μg/mL. Immunohistochemistry on paraffin sections.
    Other applications not tested.
    Optimal dilutions are dependent on conditions and should be determined by the user.

    Restrictions

    For Research Use only
  • Concentration

    1 mg/mL

    Buffer

    PBS containing 0.02 % sodium azide

    Agent conservateur

    Sodium azide

    Précaution d'utilisation

    This product contains sodium azide: a POISONOUS AND HAZARDOUS SUBSTANCE which should be handled by trained staff only.

    Stock

    4 °C

    Stockage commentaire

    Store at 2 - 8 °C.
  • Antigène

    PAK2 (P21-Activated Kinase 2 (PAK2))

    Autre désignation

    PAK2

    Sujet

    The p21-activated kinases (PAKs) are serine-threonine kinases that bind to the active forms of Cdc42 and Rac. They are divided into two groups, the first of which include PAK1, 2 and 3, and can be activated by Cdc42/Rac binding. Group 1 PAKs contain an autoinhibitory domain whose activity is regulated by Cdc42/Rac binding. The group 1 PAKs are known to be involved in cellular processes such as gene transcription, apoptosis, and cell morphology and motility. Much less is known about the second group, which includes PAK4, 5 and 6, and are not activated by Cdc42/Rac binding. Of the six PAK proteins, only PAK2 is ubiquitously expressed and cleaved by caspase-3. This cleavage removes the amino-terminal regulatory domain and generates a constitutively active kinase fragment. Recent experiments have shown that following cleavage, the active fragment is myristoylated and directed to the plasma membrane and membrane ruffles where it promotes cell death via increased signaling through the c-Jun N-terminal kinase pathway, but without compromising mitochondrial integrity.Synonyms: Gamma-PAK, PAK 2, PAK gamma, PAK-2, PAK65, Serine/threonine-protein kinase PAK 2, p21-activated kinase 2, p58

    ID gène

    5062

    NCBI Accession

    NP_002568

    UniProt

    Q13177

    Pathways

    Signalisation MAPK, Signalisation RTK, TCR Signaling, Fc-epsilon Receptor Signaling Pathway, Regulation of Lipid Metabolism by PPARalpha
Vous êtes ici:
Chat with us!