Tel:
+49 (0)241 95 163 153
Fax:
+49 (0)241 95 163 155
E-Mail:
orders@anticorps-enligne.fr

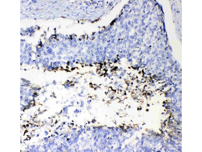
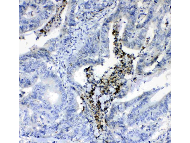
Prothrombin anticorps (AA 67-124)

Cité dans 1 publication. Cet anticorps anti-Prothrombin Polyclonal Lapin (ABIN5693261) détecte spécifiquement Prothrombin dans WB, IHC, ICC, ELISA et FACS. L’anticorps est réactif avec des échantillons de Humain.
N° du produit ABIN5693261
500,50 €
Plus frais de livraison 40,00 € et TVA
100 μg
Destination: France
Envoi sous 8 à 12 jours ouvrables

Aperçu rapide pour Prothrombin anticorps (AA 67-124) (ABIN5693261)

Antigène

Voir toutes Prothrombin (F2) Anticorps
Prothrombin (F2) (Coagulation Factor II (thrombin) (F2))

Reactivité

  • 72
  • 28
  • 19
  • 3
  • 3
  • 2
  • 2
  • 2
  • 2
  • 1
  • 1
Humain

Hôte

  • 77
  • 16
  • 6
  • 4
  • 2
  • 1
  • 1
Lapin

Clonalité

  • 79
  • 28
Polyclonal

Conjugué

  • 70
  • 13
  • 7
  • 3
  • 2
  • 2
  • 2
  • 1
  • 1
  • 1
  • 1
  • 1
  • 1
  • 1
  • 1
Cet anticorp Prothrombin est non-conjugé

Application

  • 74
  • 41
  • 32
  • 26
  • 24
  • 14
  • 11
  • 9
  • 9
  • 5
  • 3
  • 2
  • 1
  • 1
  • 1
  • 1
  • 1
  • 1
  • 1
Western Blotting (WB), Immunohistochemistry (IHC), Immunocytochemistry (ICC), ELISA, Flow Cytometry (FACS)
  • Épitope

    • 9
    • 7
    • 5
    • 5
    • 4
    • 3
    • 3
    • 3
    • 2
    • 1
    • 1
    • 1
    • 1
    • 1
    • 1
    • 1
    • 1
    • 1
    • 1
    • 1
    • 1
    AA 67-124

    Fonction

    Anti-Prothrombin/F2 Antibody

    Réactivité croisée (Details)

    No cross-reactivity with other proteins.

    Attributs du produit

    Rabbit IgG polyclonal antibody for Prothrombin detection. Tested with WB, IHC-P, Direct ELISA in Human.

    Purification

    Immunogen affinity purified.

    Immunogène

    E. coli-derived human Prothrombin recombinant protein (Position: Y67-R124).

    Isotype

    IgG
  • Indications d'application

    Western blot, 0.1-0.5 μg/mL
    Immunohistochemistry (Paraffin-embedded Section), 0.5-1 μg/mL
    Immunohistochemistry (Frozen Section), 0.5-1 μg/mL
    Immunocytochemistry, 0.5-1 μg/mL
    Flow Cytometry (Fixed), 1-3 μg/1x106 cells
    ELISA, 0.1-0.5 μg/mL

    Restrictions

    For Research Use only
  • Format

    Lyophilized

    Reconstitution

    Add 0.2 mL of distilled water will yield a concentration of 500 μg/mL.

    Concentration

    500 μg/mL

    Buffer

    Each vial contains 4 mg Trehalose, 0.9 mg NaCl, 0.2 mg Na2HPO4, 0.05 mg NaN3.

    Agent conservateur

    Sodium azide

    Précaution d'utilisation

    This product contains Sodium azide: a POISONOUS AND HAZARDOUS SUBSTANCE which should be handled by trained staff only.

    Stock

    4 °C,-20 °C

    Stockage commentaire

    Store at -20°C for one year from date of receipt. After reconstitution, at 4°C for one month.
    It can also be aliquotted and stored frozen at -20°C for six months. Avoid repeated freeze-thaw cycles.
  • Shen, Fang, Lv, Pei, Wang, Jiang, Ding: "Heparin impairs angiogenesis through inhibition of microRNA-10b." dans: The Journal of biological chemistry, Vol. 286, Issue 30, pp. 26616-27, (2011) (PubMed).

  • Antigène

    Prothrombin (F2) (Coagulation Factor II (thrombin) (F2))

    Autre désignation

    F2

    Sujet

    Synonyms: Prothrombin, Coagulation factor II, Activation peptide fragment 1, Activation peptide fragment 2, Thrombin light chain, Thrombin heavy chain, F2

    Tissue Specificity: Expressed by the liver and secreted in plasma.

    Background: F2 (Coagulation Factor II), also known as thrombin, is a serine protease that in humans is encoded by the F2 gene. This gene for human prothrombin (F2) was assigned to chromosome 11p11-q12 by analysis of a panel of somatic cell hybrid DNAs and by in situ hybridization, using both cDNA and genomic probes. The activated thrombin enzyme plays an important role in hemostasis and thrombosis: it converts fibrinogen to fibrin for blood clot formation, stimulates platelet aggregation, and activates coagulation factors V, VIII (F8), and XIII (F13A1). Thrombin also inhibits coagulation by activating protein C.

    Poids moléculaire

    85 kDa

    UniProt

    P00734

    Pathways

    Système du Complément, Peptide Hormone Metabolism, Regulation of G-Protein Coupled Receptor Protein Signaling
Vous êtes ici:
Chat with us!