Tel:
+49 (0)241 95 163 153
Fax:
+49 (0)241 95 163 155
E-Mail:
orders@anticorps-enligne.fr

Prothrombin anticorps

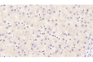
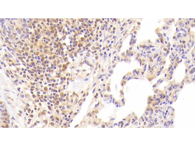
Cet anticorps Souris Monoclonal détecte spécifiquement Prothrombin dans WB, IHC, IP et ICC. Il présente une réactivité avec des échantillons de Humain.
N° du produit ABIN7426067
301,08 €
Plus frais de livraison 40,00 € et TVA
Destination: France
Envoi sous 11 à 15 jours ouvrables

Aperçu rapide pour Prothrombin anticorps (ABIN7426067)

Antigène

Voir toutes Prothrombin (F2) Anticorps
Prothrombin (F2) (Coagulation Factor II (thrombin) (F2))

Reactivité

  • 72
  • 28
  • 19
  • 3
  • 3
  • 2
  • 2
  • 2
  • 2
  • 1
  • 1
Humain

Hôte

  • 78
  • 15
  • 6
  • 4
  • 2
  • 1
  • 1
Souris

Clonalité

  • 80
  • 27
Monoclonal

Conjugué

  • 70
  • 13
  • 7
  • 3
  • 2
  • 2
  • 2
  • 1
  • 1
  • 1
  • 1
  • 1
  • 1
  • 1
  • 1
Cet anticorp Prothrombin est non-conjugé

Application

  • 74
  • 41
  • 33
  • 25
  • 24
  • 14
  • 11
  • 10
  • 9
  • 5
  • 3
  • 2
  • 1
  • 1
  • 1
  • 1
  • 1
  • 1
  • 1
Western Blotting (WB), Immunohistochemistry (IHC), Immunoprecipitation (IP), Immunocytochemistry (ICC)

Clone

E1
  • Fonction

    Monoclonal Antibody to Coagulation Factor II (F2)

    Specificité

    The antibody is a mouse monoclonal antibody raised against F2. It has been selected for its ability to recognize F2 in immunohistochemical staining and western blotting.

     Réactivité croisée

    Porc

    Purification

    Protein A + Protein G affinity chromatography

    Immunogène

    Recombinant Coagulation Factor II (F2) corresdonding to N-terminal His Tag

    Isotype

    IgG1 kappa
  • Indications d'application

    Western blotting: 0.01-4 μg/mL,Immunohistochemistry: 5-20 μg/mL,Immunocytochemistry: 5-20 μg/mL,Optimal working dilutions must be determined by end user.

    Commentaires

    The thermal stability is described by the loss rate. The loss rate was determined by accelerated thermal degradation test, that is, incubate the protein at 37°C for 48h, and no obvious degradation and precipitation were observed. The loss rate is less than 5% within the expiration date under appropriate storage condition.

    Restrictions

    For Research Use only
  • Format

    Liquid

    Concentration

    1 mg/mL

    Buffer

    0.01M PBS, pH 7.4, containing 0.05 % Proclin-300, 50 % glycerol.

    Agent conservateur

    ProClin

    Précaution d'utilisation

    This product contains ProClin: a POISONOUS AND HAZARDOUS SUBSTANCE which should be handled by trained staff only.

    Stock

    4 °C,-20 °C

    Stockage commentaire

    Store at 4°C for frequent use. Stored at -20°C in a manual defrost freezer for two year without detectable loss of activity. Avoid repeated freeze-thaw cycles.

    Date de péremption

    24 months
  • Antigène

    Prothrombin (F2) (Coagulation Factor II (thrombin) (F2))

    Autre désignation

    Coagulation Factor II

    Sujet

    FII, TM, PT, Thrombin, Prothrombin, Pro-Thrombin, Activation peptide fragment 1, Activation peptide fragment 2

    UniProt

    P00734

    Pathways

    Système du Complément, Peptide Hormone Metabolism, Regulation of G-Protein Coupled Receptor Protein Signaling
Vous êtes ici:
Chat with us!