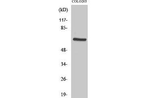
L’anticorps anti-PDPK1 Polyclonal Lapin est utilisé pour la détection de PDPK1 dans des échantillons de Humain, Souris et Rat. Il a été validé pour WB, ELISA et IHC (p).
3 phosphoinositide dependent protein kinase 1,3-phosphoinositide-dependent protein kinase 1,hPDK 1,hPDK1,MGC20087,MGC35290,OTTHUMP00000159109,OTTHUMP00000159110,OTTHUMP00000174525,PDK1,Pdpk1,PDPK1,PDPK2,PDPK2P,PkB kinase,PkB kinase like gene 1,PkB like 1,PRO0461,Protein kinase
Purification
Affinity purification
Immunogène
Synthesized peptide derived from human PDK1 around the non-phosphorylation site of Ser241.
PBS with 0.02 % sodium azide, 0.5 % BSA and 50 % glycerol, pH 7.4
Agent conservateur
Sodium azide
Précaution d'utilisation
This product contains Sodium azide: a POISONOUS AND HAZARDOUS SUBSTANCE which should be handled by trained staff only.
Stock
-20 °C
Stockage commentaire
Store at -20°C. Avoid freeze / thaw cycles.
Antigène
PDPK1
(3-phosphoinositide Dependent Protein Kinase-1 (PDPK1))
Autre désignation
PDPK1
Sujet
Pyruvate dehydrogenase (PDH) is a mitochondrial multienzyme complex that catalyzes the oxidative decarboxylation of pyruvate and is one of the major enzymes responsible for the regulation of homeostasis of carbohydrate fuels in mammals. The enzymatic activity is regulated by a phosphorylation/dephosphorylation cycle. Phosphorylation of PDH by a specific pyruvate dehydrogenase kinase (PDK) results in inactivation. Multiple alternatively spliced transcript variants have been found for this gene.