Tel:
+49 (0)241 95 163 153
Fax:
+49 (0)241 95 163 155
E-Mail:
orders@anticorps-enligne.fr

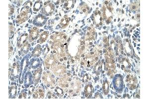
NAMPT anticorps (C-Term)

Cet anticorps anti-NAMPT Polyclonal Lapin (ABIN629601) détecte spécifiquement NAMPT dans WB et IHC. L’anticorps est réactif avec des échantillons de Humain, Rat, Souris et Chien.
N° du produit ABIN629601
1.075,31 €
Plus frais de livraison 40,00 € et TVA
100 μg
Destination: France
Envoi sous 13 à 17 jours ouvrables

Aperçu rapide pour NAMPT anticorps (C-Term) (ABIN629601)

Antigène

Voir toutes NAMPT Anticorps
NAMPT (Nicotinamide phosphoribosyltransferase (NAMPT))

Reactivité

  • 163
  • 62
  • 61
  • 8
  • 7
  • 6
  • 5
  • 4
  • 3
  • 2
  • 2
  • 2
  • 1
Humain, Rat, Souris, Chien

Hôte

  • 166
  • 14
  • 3
  • 2
  • 2
  • 1
Lapin

Clonalité

  • 165
  • 24
Polyclonal

Conjugué

  • 85
  • 25
  • 13
  • 10
  • 7
  • 6
  • 6
  • 4
  • 3
  • 3
  • 2
  • 2
  • 2
  • 2
  • 2
  • 2
  • 2
  • 2
  • 2
  • 2
  • 1
  • 1
  • 1
  • 1
  • 1
  • 1
  • 1
Cet anticorp NAMPT est non-conjugé

Application

  • 95
  • 73
  • 52
  • 27
  • 26
  • 22
  • 21
  • 19
  • 19
  • 14
  • 7
  • 6
  • 4
  • 2
  • 1
  • 1
  • 1
  • 1
  • 1
  • 1
  • 1
  • 1
  • 1
Western Blotting (WB), Immunohistochemistry (IHC)
  • Épitope

    • 18
    • 18
    • 15
    • 13
    • 8
    • 8
    • 8
    • 8
    • 7
    • 7
    • 7
    • 4
    • 3
    • 3
    • 2
    • 2
    • 2
    • 2
    • 1
    • 1
    • 1
    • 1
    • 1
    • 1
    C-Term

    Specificité

    PBEF1 antibody was raised against the C terminal of PBEF1

    Purification

    Purified

    Immunogène

    PBEF1 antibody was raised using the C terminal of PBEF1 corresponding to a region with amino acids VTLEEGKGDLEEYGQDLLHTVFKNGKVTKSYSFDEIRKNAQLNIELEAAH
  • Indications d'application

    WB: 1.25 µg/mL, IHC: 4-8 µg/mL
    Optimal conditions should be determined by the investigator.

    Commentaires

    PBEF1 Blocking Peptide, (ABIN5615227), is also available for use as a blocking control in assays to test for specificity of this PBEF1 antibody

    Restrictions

    For Research Use only
  • Format

    Lyophilized

    Reconstitution

    Lyophilized powder. Add distilled water for a 1 mg/mL concentration of PBEF1 antibody in PBS

    Concentration

    Lot specific

    Buffer

    PBS

    Conseil sur la manipulation

    Avoid repeated freeze/thaw cycles.
    Dilute only prior to immediate use.

    Stock

    4 °C/-20 °C

    Stockage commentaire

    Store at 2-8 °C for short periods. For longer periods of storage, store at -20 °C.
  • Antigène

    NAMPT (Nicotinamide phosphoribosyltransferase (NAMPT))

    Autre désignation

    PBEF1

    Sujet

    PBEF1 catalyzes the condensation of nicotinamide with 5-phosphoribosyl-1-pyrophosphate to yield nicotinamide mononucleotide, one step in the biosynthesis of nicotinamide adenine dinucleotide. The protein is an adipokine that is localized to the bloodstream and has various functions, including the promotion of vascular smooth muscle cell maturation and inhibition of neutrophil apoptosis. It also activates insulin receptor and has insulin-mimetic effects, lowering blood glucose and improving insulin sensitivity. The protein is highly expressed in visceral fat and serum levels of the protein correlate with obesity.

    Poids moléculaire

    54 kDa (MW of target protein)
Vous êtes ici:
Chat with us!