Tel:
+49 (0)241 95 163 153
Fax:
+49 (0)241 95 163 155
E-Mail:
orders@anticorps-enligne.fr

NOXA anticorps

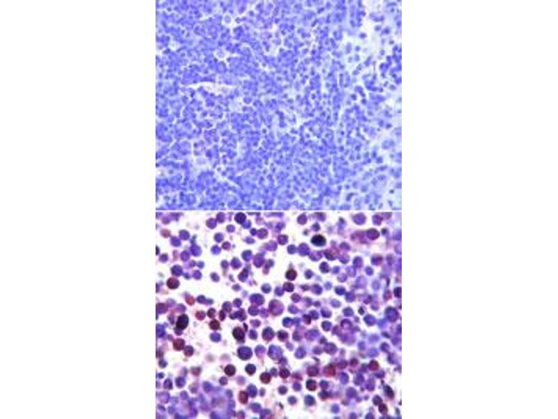
Cité dans 2 publications. Cet anticorps anti-NOXA Monoclonal Souris (Clone 114C307-1) (ABIN6655871) détecte spécifiquement NOXA dans WB, IF, IHC et FACS. L’anticorps est réactif avec des échantillons de Humain.
Rockland
N° du produit ABIN6655871
N° du produit (Fournisseur): 200-301-h98
784,44 €
Frais d'envoi 40,00 €, glace carbonique 20,00 € et TVA exclus
100 μg
Destination: France
Envoi sous 5 à 8 jours ouvrables

Aperçu rapide pour NOXA anticorps (ABIN6655871)

Antigène

Voir toutes NOXA (PMAIP1) Anticorps
NOXA (PMAIP1) (Phorbol-12-Myristate-13-Acetate-Induced Protein 1 (PMAIP1))

Reactivité

  • 31
  • 5
  • 3
Humain

Hôte

  • 26
  • 4
  • 1
  • 1
Souris

Clonalité

  • 19
  • 13
Monoclonal

Conjugué

  • 14
  • 3
  • 2
  • 2
  • 2
  • 2
  • 2
  • 2
  • 2
  • 1
Cet anticorp NOXA est non-conjugé

Application

  • 11
  • 10
  • 4
  • 3
  • 2
  • 2
  • 1
  • 1
  • 1
  • 1
  • 1
Western Blotting (WB), Immunofluorescence (IF), Immunohistochemistry (IHC), Flow Cytometry (FACS)

Clone

114C307-1
  • N° du produit (Fournisseur)

    200-301-h98

    Fournisseur

    Rockland

    Fonction

    NOXA Antibody

    Réactivité croisée (Details)

    A BLAST analysis was used to suggest cross-reactivity with Anti-Noxa from human and mouse based on 100 % homology with the immunizing sequence.

    Purification

    Anti-Noxa Antibody was purified by Protein G chromatography.

    Immunogène

    Noxa Antibody was produced in mice prepared by repeated immunizations with the human protein Noxa.

    Isotype

    IgG1 kappa
  • Indications d'application

    Immunohistochemistry_Dilution: 5 μg/mL

    Western_Blot_Dilution: 1-2 μg/mL

    Commentaires

    Anti-Noxa antibody is tested for use by WB, Flow, ICC/IF, IHC, and IHC-P. Expect a band approximately 6 kDa on specific lysates. Specific conditions for reactivity should be optimized by the end user.

    Restrictions

    For Research Use only
  • Format

    Liquid

    Buffer

    Optional[Buffer]: 0.02 M Potassium Phosphate, 0.15 M Sodium Chloride, pH 7.2 ,0.05 % (w/v) Sodium Azide

    Agent conservateur

    Sodium azide

    Précaution d'utilisation

    This product contains Sodium azide: a POISONOUS AND HAZARDOUS SUBSTANCE which should be handled by trained staff only.

    Stock

    4 °C,-20 °C

    Stockage commentaire

    Store vial at -20° C prior to opening. Aliquot contents and freeze at -20° C or below for extended storage. Avoid cycles of freezing and thawing. Centrifuge product if not completely clear after standing at room temperature. This product is stable for several weeks at 4° C as an undiluted liquid. Dilute only prior to immediate use.

    Date de péremption

    12 months
  • Haschka, Karbon, Soratroi, O'Neill, Luo, Villunger: "MARCH5-dependent degradation of MCL1/NOXA complexes defines susceptibility to antimitotic drug treatment." dans: Cell death and differentiation, Vol. 27, Issue 8, pp. 2297-2312, (2021) (PubMed).

    Ichikawa, Alves, Pfeiffer, Langa, Hernández-Santana, Suzuki, Prehn, Engel, Henshall: "Deletion of the BH3-only protein Noxa alters electrographic seizures but does not protect against hippocampal damage after status epilepticus in mice." dans: Cell death & disease, Vol. 8, Issue 1, pp. e2556, (2017) (PubMed).

  • Antigène

    NOXA (PMAIP1) (Phorbol-12-Myristate-13-Acetate-Induced Protein 1 (PMAIP1))

    Autre désignation

    Noxa

    Sujet

    Synonyms: NOXA, Phorbol-12-myristate-13-acetate-induced protein 1, PMA-induced protein 1, Immediate-early-response protein APR, Protein Noxa

    Background: Anti-Noxa antibody detects human Noxa. Recently, a BH-3 only member of the Bcl-2 family have been identified in human and mouse and designated as Noxa (for damage). The expression of the Noxa gene involves direct activation of its promoter by p53. Increased expression of Noxa protein occurs in normal thymocytes but not in p53-deficient thymocytes. Noxa cDNA codes for a 103-amino acid protein. The coimmunoprecipitation data suggest that Noxa protein may interact with proteins belonging to the Bcl-2 family, such as, Bcl-XL and Mcl-1. Oda et al. have also shown that blocking the endogenous Noxa induction results in the suppression of apoptosis. Treatment of cells with Noxa antisense oligonucleotides blocks radiation-induced apoptosis suggesting that Noxa may represent a mediator of p53-dependent apoptosis. Anti-Noxa antibody is ideal for investigators involved in apaoptosis research.

    Gene Name: PMAIP1

    ID gène

    5366

    NCBI Accession

    NP_066950

    UniProt

    Q13794

    Pathways

    Signalisation p53, Positive Regulation of Endopeptidase Activity, Regulation of Carbohydrate Metabolic Process, Positive Regulation of Response to DNA Damage Stimulus
Vous êtes ici:
Chat with us!