ATF4 anticorps (N-Term)
Aperçu rapide pour ATF4 anticorps (N-Term) (ABIN462203)
Antigène
Voir toutes ATF4 AnticorpsReactivité
Hôte
Clonalité
Conjugué
Application
-
-
Épitope
- N-Term
-
Specificité
- Mouse ATF4
-
Homologie
- Percent identity by BLAST analysis: Mouse (100%).
-
Purification
- Immunoaffinity purified
-
Immunogène
-
Synthetic peptide from N-Terminus of mouse ATF4 (Q61328, NP_033846). Percent identity by BLAST analysis: Mouse (100%).
Type of Immunogen: Synthetic peptide -
Isotype
- IgG
-
-
-
-
Indications d'application
-
Approved: IHC, IHC-P (5 μg/mL), WB
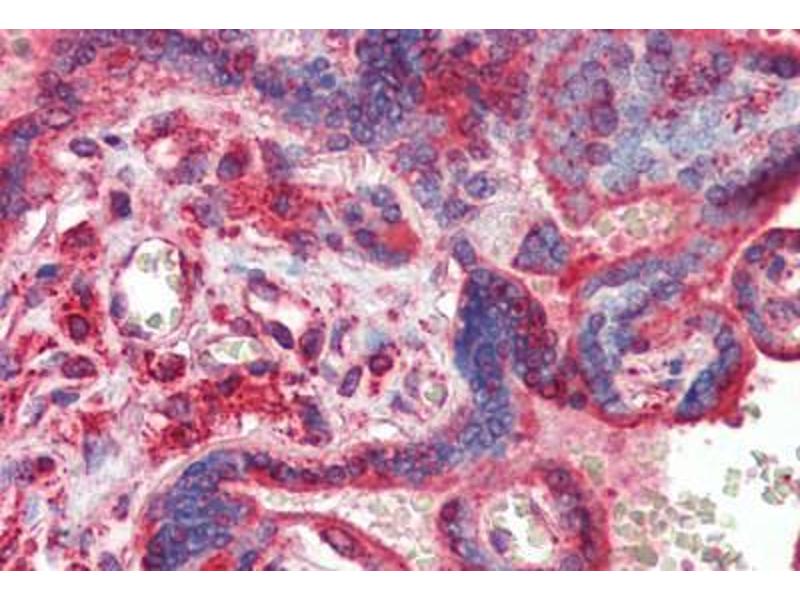
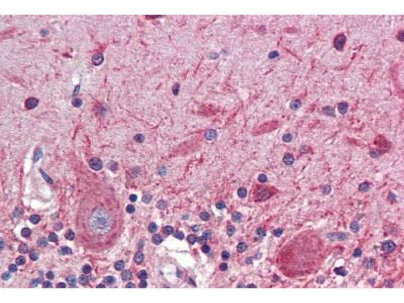
Usage: Immunohistochemistry: This antibody was validated for use in immunohistochemistry on a panel of 21 formalin-fixed, paraffin-embedded (FFPE) human tissues after heat induced antigen retrieval in pH 6.0 citrate buffer. After incubation with the primary antibody, slides were incubated with biotinylated secondary antibody, followed by alkaline phosphatase-streptavidin and chromogen. The stained slides were evaluated by a pathologist to confirm staining specificity. The optimal working concentration for this antibody was determined to be 5 μg/mL. -
Commentaires
-
Target Species of Antibody: Mouse
-
Restrictions
- For Research Use only
-
-
-
Format
- Lyophilized
-
Reconstitution
- Distilled water
-
Concentration
- Lot specific
-
Buffer
- Lyophilized from PBS with 2 % sucrose
-
Conseil sur la manipulation
- Avoid repeat freeze-thaw cycles.
-
Stock
- 4 °C,-20 °C
-
Stockage commentaire
-
Long term: -20°C, the use of 50% glycerol is recommended if storing aliquots in -20°C for long term use (up to 1 year)
Short term (less than 1 week): 4°C. Avoid freeze-thaw cycles.
-
-
- ATF4 (Activating Transcription Factor 4 (Tax-Responsive Enhancer Element B67) (ATF4))
-
Autre désignation
- ATF4
-
Sujet
-
Name/Gene ID: ATF4
Family: Transcription factor
Synonyms: ATF4, CREB-2, CREB2, TXREB, DNA-binding protein TAXREB67, TAXREB67 -
ID gène
- 468
-
NCBI Accession
- NP_033846
-
UniProt
- P18848
-
Pathways
- Thyroid Hormone Synthesis, Myometrial Relaxation and Contraction, ER-Nucleus Signaling, Unfolded Protein Response
Antigène
-