Tel:
+49 (0)241 95 163 153
Fax:
+49 (0)241 95 163 155
E-Mail:
orders@anticorps-enligne.fr

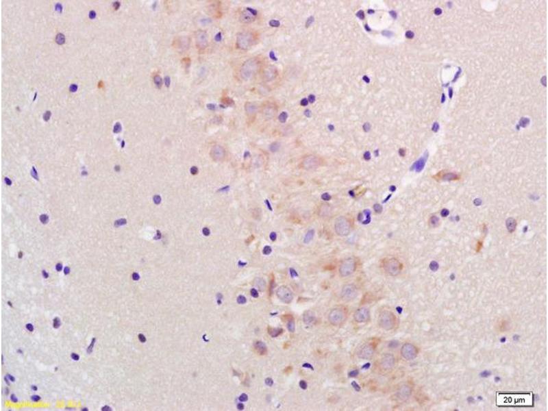
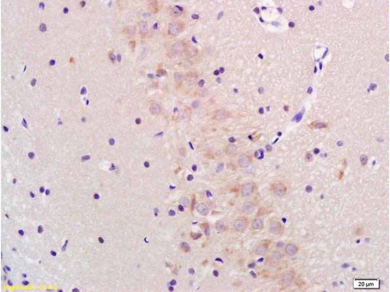
DDIT3 anticorps (AA 75-168)

Cet anticorps Lapin Polyclonal détecte spécifiquement DDIT3 dans WB, ELISA, FACS, IHC (p), IF (cc), IF (p) et IHC (fro). Il présente une réactivité avec des échantillons de Humain, Souris et Rat. Il a été cité dans 2+ publications.
N° du produit ABIN685447
357,70 €
Plus frais de livraison 40,00 € et TVA
100 μL
Destination: France
Envoi sous 8 à 12 jours ouvrables

Aperçu rapide pour DDIT3 anticorps (AA 75-168) (ABIN685447)

Antigène

Voir toutes DDIT3 Anticorps
DDIT3 (DNA-Damage-Inducible Transcript 3 (DDIT3))

Reactivité

  • 145
  • 105
  • 87
  • 5
  • 4
  • 4
  • 3
  • 2
  • 2
  • 2
  • 2
  • 2
  • 1
  • 1
Humain, Souris, Rat

Hôte

  • 142
  • 14
Lapin

Clonalité

  • 110
  • 46
Polyclonal

Conjugué

  • 73
  • 13
  • 8
  • 5
  • 4
  • 4
  • 4
  • 4
  • 4
  • 4
  • 4
  • 3
  • 2
  • 2
  • 2
  • 2
  • 2
  • 2
  • 2
  • 2
  • 2
  • 2
  • 2
  • 2
  • 2
Cet anticorp DDIT3 est non-conjugé

Application

  • 131
  • 63
  • 54
  • 54
  • 29
  • 26
  • 26
  • 18
  • 15
  • 13
  • 6
  • 3
  • 3
Western Blotting (WB), ELISA, Flow Cytometry (FACS), Immunohistochemistry (Paraffin-embedded Sections) (IHC (p)), Immunofluorescence (Cultured Cells) (IF (cc)), Immunofluorescence (Paraffin-embedded Sections) (IF (p)), Immunohistochemistry (Frozen Sections) (IHC (fro))
  • Épitope

    • 16
    • 15
    • 11
    • 10
    • 10
    • 7
    • 7
    • 7
    • 4
    • 2
    • 2
    • 2
    • 2
    • 2
    • 2
    • 2
    • 1
    • 1
    • 1
    • 1
    • 1
    • 1
    • 1
    • 1
    • 1
    • 1
    • 1
    • 1
    • 1
    • 1
    • 1
    • 1
    • 1
    • 1
    • 1
    AA 75-168

     Réactivité croisée

    Humain, Souris, Rat

    Purification

    Purified by Protein A.

    Immunogène

    KLH conjugated synthetic peptide derived from human DDIT3

    Isotype

    IgG
  • Indications d'application

    WB 1:300-5000
    ELISA 1:500-1000
    FCM 1:20-100
    IHC-P 1:200-400
    IHC-F 1:100-500
    IF(IHC-P) 1:50-200
    IF(IHC-F) 1:50-200
    IF(ICC) 1:50-200

    Restrictions

    For Research Use only
  • Format

    Liquid

    Concentration

    1 μg/μL

    Buffer

    0.01M TBS( pH 7.4) with 1 % BSA, 0.02 % Proclin300 and 50 % Glycerol.

    Agent conservateur

    ProClin

    Précaution d'utilisation

    This product contains ProClin: a POISONOUS AND HAZARDOUS SUBSTANCE, which should be handled by trained staff only.

    Stock

    4 °C,-20 °C

    Stockage commentaire

    Shipped at 4°C. Store at -20°C for one year. Avoid repeated freeze/thaw cycles.

    Date de péremption

    12 months
  • Ding, Zou, Li, Tian, Abdelalim, Du, She, Wang, Tan, Wang, Chen, Lv, Chang: "Study of histopathological and molecular changes of rat kidney under simulated weightlessness and resistance training protective effect." dans: PLoS ONE, Vol. 6, Issue 5, pp. e20008, (2011) (PubMed).

    Du, Zhou, Jia, Huang: "SelK is a novel ER stress-regulated protein and protects HepG2 cells from ER stress agent-induced apoptosis." dans: Archives of biochemistry and biophysics, Vol. 502, Issue 2, pp. 137-43, (2010) (PubMed).

  • Antigène

    DDIT3 (DNA-Damage-Inducible Transcript 3 (DDIT3))

    Autre désignation

    GADD153/DDIT3

    Sujet

    Synonyms: CHOP, CEBPZ, CHOP1, CHOP-1, GADD153, DNA damage-inducible transcript 3 protein, DDIT-3, C/EBP zeta, C/EBP-homologous protein, C/EBP-homologous protein 1, CCAAT/enhancer-binding protein homologous protein, Growth arrest and DNA damage-inducible protein GADD153, DDIT3

    Background: Multifunctional transcription factor in ER stress response. Plays an essential role in the response to a wide variety of cell stresses and induces cell cycle arrest and apoptosis in response to ER stress. Plays a dual role both as an inhibitor of CCAAT/enhancer-binding protein (C/EBP) function and as an activator of other genes. Acts as a dominant-negative regulator of C/EBP-induced transcription: dimerizes with members of the C/EBP family, impairs their association with C/EBP binding sites in the promoter regions, and inhibits the expression of C/EBP regulated genes. Positively regulates the transcription of TRIB3, IL6, IL8, IL23, TNFRSF1B/DR5, PPP1R15A/GADD34, BBC3/PUMA, BCL2L11/BIM and ERO1L. Negatively regulates, expression of BCL2 and MYOD1, ATF4-dependent transcriptional activation of asparagine synthetase (ASNS), CEBPA-dependent transcriptional activation of hepcidin (HAMP) and CEBPB-mediated expression of peroxisome proliferator-activated receptor gamma (PPARG). Inhibits the canonical Wnt signaling pathway by binding to TCF7L2/TCF4, impairing its DNA-binding properties and repressing its transcriptional activity. Plays a regulatory role in the inflammatory response through the induction of caspase-11 (CASP4/CASP11) which induces the activation of caspase-1 (CASP1) and both these caspases increase the activation of pro-IL1B to mature IL1B which is involved in the inflammatory response.

    ID gène

    1649

    UniProt

    P35638

    Pathways

    Regulation of Muscle Cell Differentiation, ER-Nucleus Signaling, Skeletal Muscle Fiber Development, Cell RedoxHomeostasis
Vous êtes ici:
Chat with us!