Tel:
+49 (0)241 95 163 153
Fax:
+49 (0)241 95 163 155
E-Mail:
orders@anticorps-enligne.fr

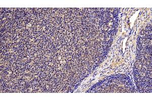
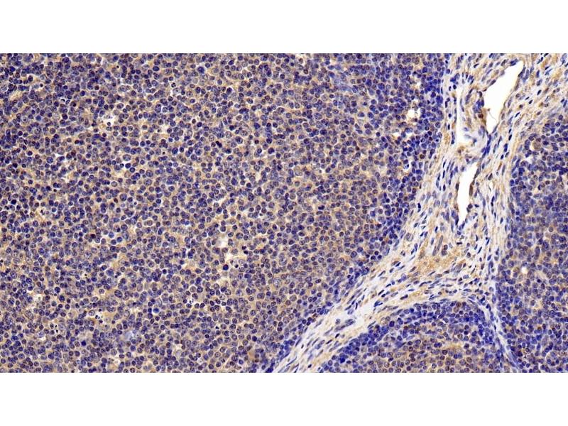
IL4 Receptor anticorps (AA 26-232)

L’anticorps anti-IL4 Receptor Polyclonal Lapin est utilisé pour la détection de IL4 Receptor dans des échantillons de Humain. Il a été validé pour WB, IHC, IP et ICC.
N° du produit ABIN7434557
310,62 €
Plus frais de livraison 40,00 € et TVA
Destination: France
Envoi sous 11 à 15 jours ouvrables

Aperçu rapide pour IL4 Receptor anticorps (AA 26-232) (ABIN7434557)

Antigène

Voir toutes IL4 Receptor (IL4R) Anticorps
IL4 Receptor (IL4R) (Interleukin 4 Receptor (IL4R))

Reactivité

  • 81
  • 47
  • 24
  • 2
Humain

Hôte

  • 80
  • 16
  • 14
  • 8
  • 2
  • 1
Lapin

Clonalité

  • 84
  • 33
  • 2
Polyclonal

Conjugué

  • 65
  • 10
  • 5
  • 5
  • 3
  • 2
  • 2
  • 2
  • 2
  • 2
  • 2
  • 2
  • 2
  • 2
  • 2
  • 2
  • 2
  • 1
  • 1
  • 1
  • 1
  • 1
  • 1
  • 1
Cet anticorp IL4 Receptor est non-conjugé

Application

  • 80
  • 34
  • 33
  • 16
  • 14
  • 13
  • 11
  • 8
  • 8
  • 7
  • 6
  • 3
  • 3
  • 3
  • 2
  • 2
  • 1
  • 1
  • 1
  • 1
  • 1
  • 1
Western Blotting (WB), Immunohistochemistry (IHC), Immunoprecipitation (IP), Immunocytochemistry (ICC)
  • Épitope

    • 16
    • 15
    • 5
    • 5
    • 5
    • 4
    • 4
    • 3
    • 2
    • 2
    • 2
    • 2
    • 1
    • 1
    • 1
    • 1
    • 1
    • 1
    • 1
    • 1
    • 1
    • 1
    • 1
    • 1
    AA 26-232

    Fonction

    Polyclonal Antibody to Interleukin 4 Receptor (IL4R)

    Specificité

    The antibody is a rabbit polyclonal antibody raised against IL4R. It has been selected for its ability to recognize IL4R in immunohistochemical staining and western blotting.

     Réactivité croisée

    Porc

    Purification

    Antigen-specific affinity chromatography followed by Protein A affinity chromatography

    Immunogène

    Recombinant Interleukin 4 Receptor (IL4R) corresdonding to Met26~His232 with N-terminal His Tag

    Isotype

    IgG
  • Indications d'application

    Western blottin:g: 0.01-2 μg/mL,Immunohistochemistry: 5-20 μg/mL,Immunocytochemistry: 5-20 μg/mL,Optimal working dilutions must be determined by end user.

    Commentaires

    The thermal stability is described by the loss rate. The loss rate was determined by accelerated thermal degradation test, that is, incubate the protein at 37°C for 48h, and no obvious degradation and precipitation were observed. The loss rate is less than 5% within the expiration date under appropriate storage condition.

    Restrictions

    For Research Use only
  • Format

    Liquid

    Concentration

    0.5 mg/mL

    Buffer

    PBS, pH 7.4, containing 0.02 % Sodium azide, 50 % glycerol.

    Agent conservateur

    Sodium azide

    Précaution d'utilisation

    This product contains Sodium azide: a POISONOUS AND HAZARDOUS SUBSTANCE which should be handled by trained staff only.

    Stock

    4 °C,-20 °C

    Stockage commentaire

    Store at 4°C for frequent use. Stored at -20°C in a manual defrost freezer for two year without detectable loss of activity. Avoid repeated freeze-thaw cycles.

    Date de péremption

    24 months
  • Antigène

    IL4 Receptor (IL4R) (Interleukin 4 Receptor (IL4R))

    Autre désignation

    IL4R

    Sujet

    CD124, IL4-R, IL4RA, IL4-BP, Soluble interleukin-4 receptor subunit alpha, IL-4-binding protein

    UniProt

    P24394

    Pathways

    Signalistation JAK/STAT, Positive Regulation of Immune Effector Process
Vous êtes ici:
Chat with us!