BRAF anticorps
Aperçu rapide pour BRAF anticorps (ABIN7249766)
Antigène
Voir toutes BRAF AnticorpsReactivité
Hôte
Clonalité
Conjugué
Application
-
-
Attributs du produit
- Polyclonal Antibody
-
Purification
- Affinity purification
-
Immunogène
- KLH conjugated Synthetic peptide corresponding to Mouse B-Ra
-
Isotype
- IgG
-
-
-
-
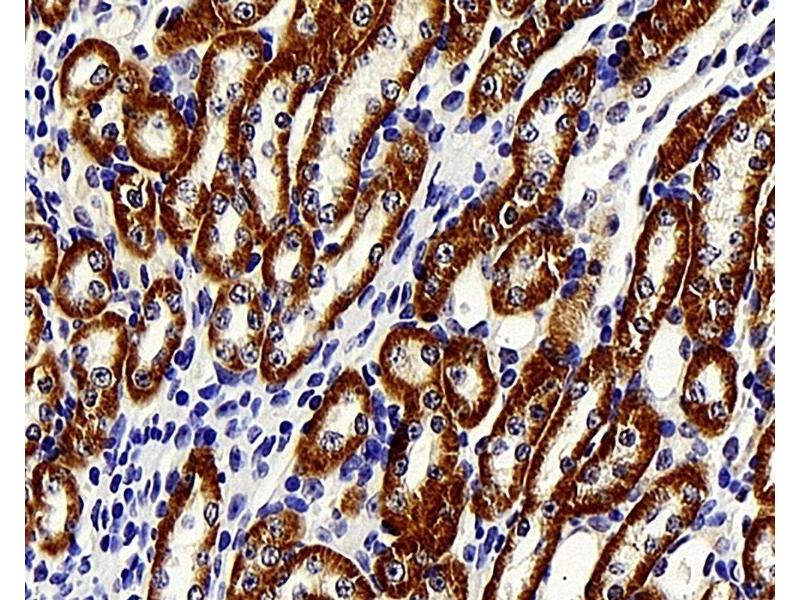
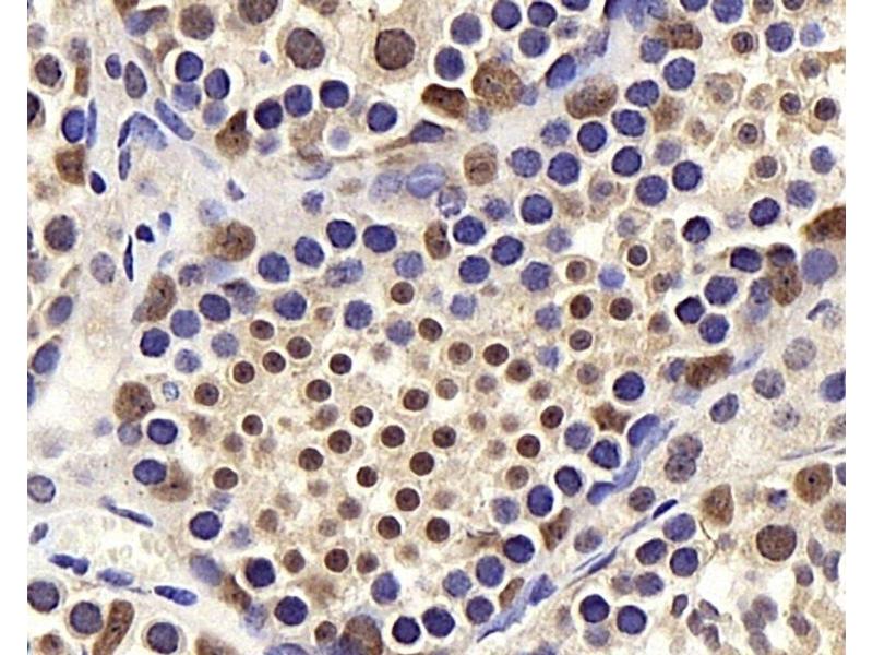
Indications d'application
- IHC 1:200-1:800
-
Restrictions
- For Research Use only
-
-
-
Format
- Liquid
-
Concentration
- 0.74 mg/mL
-
Buffer
- PBS with 0.02 % sodium azide, 1 % BSA and 50 % glycerol, pH 7.4
-
Agent conservateur
- Sodium azide
-
Précaution d'utilisation
- This product contains Sodium azide: a POISONOUS AND HAZARDOUS SUBSTANCE which should be handled by trained staff only.
-
Stock
- -20 °C
-
Stockage commentaire
- Store at -20°C. Avoid freeze / thaw cycles.
-
-
- BRAF (B-Raf proto-oncogene, serine/threonine kinase (BRAF))
-
Autre désignation
- BRAF
-
Sujet
- This gene encodes a protein belonging to the raf/mil family of serine/threonine protein kinases. This protein plays a role in regulating the MAP kinase/ERKs signaling pathway, which affects cell division, differentiation, and secretion. Mutations in this gene are associated with cardiofaciocutaneous syndrome, a disease characterized by heart defects, mental retardation and a distinctive facial appearance. Mutations in this gene have also been associated with various cancers, including non-Hodgkin lymphoma, colorectal cancer, malignant melanoma, thyroid carcinoma, non-small cell lung carcinoma, and adenocarcinoma of lung. A pseudogene, which is located on chromosome X, has been identified for this gene.
-
UniProt
- P28028
-
Pathways
- Signalisation MAPK, Signalisation RTK, Neurotrophin Signaling Pathway, Ribonucleoprotein Complex Subunit Organization, Hepatitis C, Autophagy
Antigène
-