SGK1 anticorps
Aperçu rapide pour SGK1 anticorps (ABIN7250530)
Antigène
Voir toutes SGK1 AnticorpsReactivité
Hôte
Clonalité
Conjugué
Application
Clone
-
-
Attributs du produit
- Monoclonal Antibody
-
Purification
- Protein A purification
-
Immunogène
- Synthetic Peptide of SGK1
-
Isotype
- IgG
-
-
-
-
Indications d'application
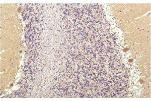
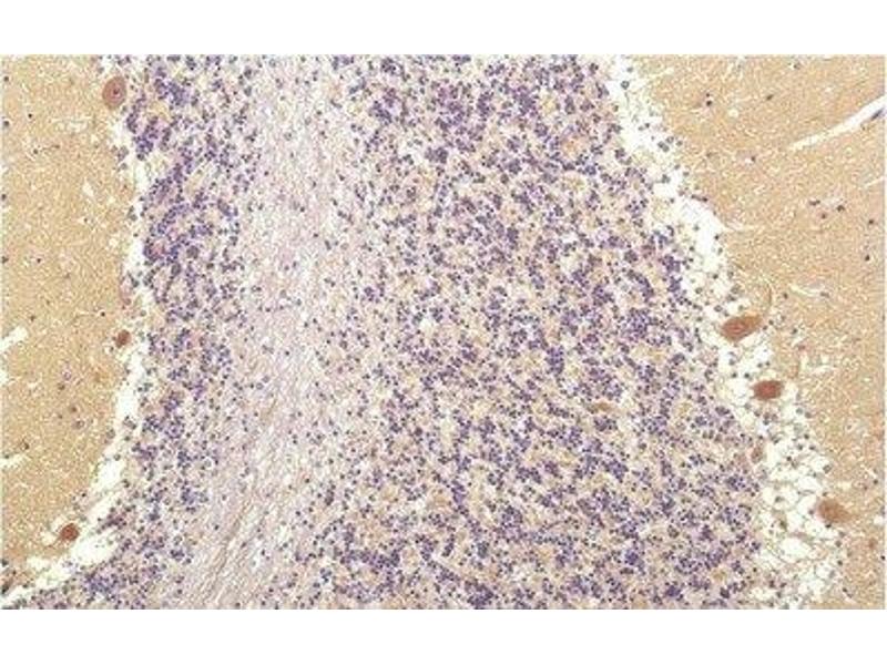
- IHC 1:100-200
-
Restrictions
- For Research Use only
-
-
-
Format
- Liquid
-
Concentration
- 1 mg/mL
-
Buffer
- PBS with 0.02 % sodium azide, 0.5 % BSA and 50 % glycerol, pH 7.4
-
Agent conservateur
- Sodium azide
-
Précaution d'utilisation
- This product contains Sodium azide: a POISONOUS AND HAZARDOUS SUBSTANCE which should be handled by trained staff only.
-
Stock
- -20 °C
-
Stockage commentaire
- Store at -20°C. Avoid freeze / thaw cycles.
-
-
- SGK1 (serum/glucocorticoid Regulated Kinase 1 (SGK1))
-
Autre désignation
- SGK1
-
Sujet
- Protein kinase that plays an important role in cellular stress response. Activates certain potassium, sodium, and chloride channels, suggesting an involvement in the regulation of processes such as cell survival, neuronal excitability and renal sodium excretion. Sustained high levels and activity may contribute to conditions such as hypertension and diabetic nephropathy. Mediates cell survival signals, phosphorylates and negatively regulates pro-apoptotic FOXO3A. Phosphorylates NEDD4L, which leads to its inactivation and to the subsequent activation of various channels and transporters such as ENaC, KCNA3/Kv1.3 or EAAT1. Isoform 2 exhibited a greater effect on cell plasma membrane expression of ENaC and Na(+) transport than isoform 1.
-
UniProt
- O00141
-
Pathways
- Signalisation MAPK, Signalisation Notch, Steroid Hormone Mediated Signaling Pathway
Antigène
-