Tel:
+49 (0)241 95 163 153
Fax:
+49 (0)241 95 163 155
E-Mail:
orders@anticorps-enligne.fr

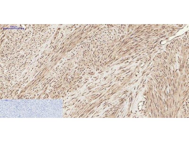
CHEK2 anticorps (pThr68)

L’anticorps anti-CHEK2 Polyclonal Lapin est utilisé pour la détection de CHEK2 dans des échantillons de Humain, Souris et Rat. Il a été validé pour WB, ELISA, IF et IHC (p).
N° du produit ABIN7250719
449,00 €
Plus frais de livraison 40,00 € et TVA
Destination: France
Envoi sous 9 à 13 jours ouvrables

Aperçu rapide pour CHEK2 anticorps (pThr68) (ABIN7250719)

Antigène

Voir toutes CHEK2 Anticorps
CHEK2 (Checkpoint Kinase 2 (CHEK2))

Reactivité

  • 263
  • 89
  • 76
  • 16
  • 11
  • 8
  • 6
  • 6
  • 3
  • 2
  • 2
  • 1
Humain, Souris, Rat

Hôte

  • 240
  • 26
Lapin

Clonalité

  • 205
  • 61
Polyclonal

Conjugué

  • 119
  • 13
  • 9
  • 9
  • 7
  • 7
  • 7
  • 7
  • 7
  • 7
  • 7
  • 7
  • 7
  • 7
  • 7
  • 5
  • 5
  • 5
  • 5
  • 5
  • 5
  • 2
  • 2
  • 2
  • 2
  • 1
Cet anticorp CHEK2 est non-conjugé

Application

  • 227
  • 80
  • 79
  • 68
  • 63
  • 60
  • 39
  • 31
  • 28
  • 28
  • 18
  • 3
  • 1
  • 1
  • 1
  • 1
  • 1
Western Blotting (WB), ELISA, Immunofluorescence (IF), Immunohistochemistry (Paraffin-embedded Sections) (IHC (p))
  • Épitope

    • 34
    • 26
    • 20
    • 17
    • 16
    • 16
    • 15
    • 15
    • 9
    • 8
    • 8
    • 8
    • 6
    • 4
    • 3
    • 3
    • 3
    • 2
    • 2
    • 2
    • 2
    • 1
    • 1
    • 1
    • 1
    • 1
    • 1
    • 1
    • 1
    • 1
    • 1
    • 1
    • 1
    • 1
    • 1
    • 1
    • 1
    • 1
    • 1
    • 1
    • 1
    • 1
    • 1
    • 1
    • 1
    • 1
    pThr68

    Attributs du produit

    Phosphorylated antibody

    Purification

    Affinity purification

    Immunogène

    Synthesized peptide derived from human Chk2 around the phosphorylation site of Thr68

    Isotype

    IgG
  • Indications d'application

    WB 1:500-1:2000, IHC 1:100-1:300, IF 1:50-1:200, ELISA 1:10000-1:20000

    Restrictions

    For Research Use only
  • Format

    Liquid

    Concentration

    1 mg/mL

    Buffer

    PBS with 0.02 % sodium azide, 0.5 % BSA and 50 % glycerol, pH 7.4

    Agent conservateur

    Sodium azide

    Précaution d'utilisation

    This product contains Sodium azide: a POISONOUS AND HAZARDOUS SUBSTANCE which should be handled by trained staff only.

    Stock

    -20 °C

    Stockage commentaire

    Store at -20°C. Avoid freeze / thaw cycles.
  • Antigène

    CHEK2 (Checkpoint Kinase 2 (CHEK2))

    Autre désignation

    CHEK2

    Sujet

    Regulates cell cycle checkpoints and apoptosis in response to DNA damage, particularly to DNA double-strand breaks. Inhibits CDC25C phosphatase by phosphorylation on 'Ser-216', preventing the entry into mitosis. May also play a role in meiosis. Regulates the TP53 tumor suppressor through phosphorylation at 'Thr-18' and 'Ser-20'.

    Poids moléculaire

    Observed_MW: 61 kDa

    Calculated_MW: 61 kDa

    UniProt

    O96017

    Pathways

    Signalisation p53, Apoptose, Cycle Cellulaire
Vous êtes ici:
Chat with us!