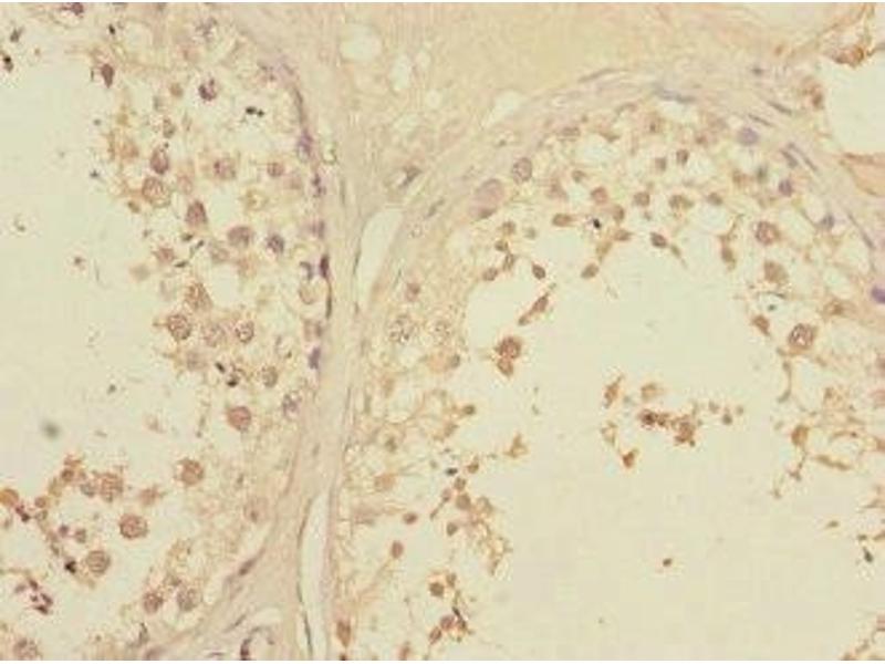
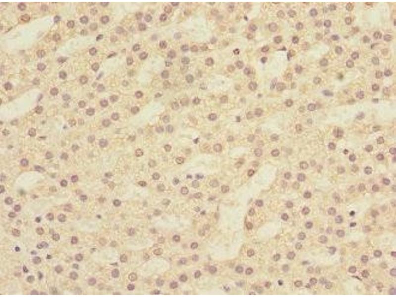
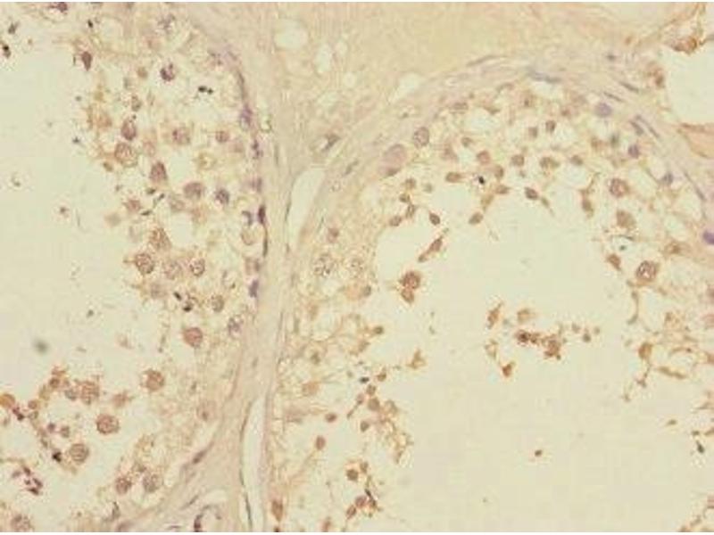
LFNG anticorps (AA 1-250)
Aperçu rapide pour LFNG anticorps (AA 1-250) (ABIN7145375)
Antigène
Voir toutes LFNG AnticorpsReactivité
Hôte
Clonalité
Conjugué
Application
-
-
Épitope
- AA 1-250
-
Fonction
- LFNG Antibody
-
Réactivité croisée
- Souris
-
Purification
- Antigen Affinity Purified
-
Immunogène
- Recombinant Human Beta-1,3-N-acetylglucosaminyltransferase lunatic fringe protein (1-250AA)
-
Isotype
- IgG
-
-
-
-
Indications d'application
- Optimal working dilution should be determined by the investigator.
-
Restrictions
- For Research Use only
-
-
-
Format
- Liquid
-
Buffer
- PBS with 0.02 % sodium azide, 50 % glycerol, pH 7.3.
-
Agent conservateur
- Sodium azide
-
Précaution d'utilisation
- This product contains Sodium azide: a POISONOUS AND HAZARDOUS SUBSTANCE which should be handled by trained staff only.
-
Stock
- -20 °C,-80 °C
-
Stockage commentaire
- Upon receipt, store at -20°C or -80°C. Avoid repeated freeze.
-
-
- LFNG (LFNG O-Fucosylpeptide 3-beta-N-Acetylglucosaminyltransferase (LFNG))
-
Autre désignation
- LFNG
-
Sujet
-
Background: Glycosyltransferase that initiates the elongation of O-linked fucose residues attached to EGF-like repeats in the extracellular domain of Notch molecules. Decreases the binding of JAGGED1 to NOTCH2 but not that of DELTA1. Essential mediator of somite segmentation and patterning (By similarity).
Aliases: 3-N-acetylglucosaminyltransferase lunatic fringe antibody, Beta-1 antibody, Beta-13-N-acetylglucosaminyltransferase lunatic fringe antibody, lfng antibody, LFNG_HUMAN antibody, O-fucosylpeptide 3-beta-N-acetylglucosaminyltransferase antibody, SCDO3 antibody
-
UniProt
- Q8NES3
-
Pathways
- Signalisation Notch
Antigène
-