Tel:
+49 (0)241 95 163 153
Fax:
+49 (0)241 95 163 155
E-Mail:
orders@anticorps-enligne.fr

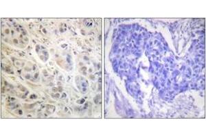
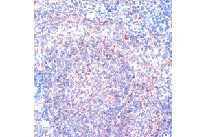
RPS6KA1 anticorps (C-Term)

Cet anticorps anti-RPS6KA1 Polyclonal Lapin (ABIN7270035) détecte spécifiquement RPS6KA1 dans WB, IHC et IF. L’anticorps est réactif avec des échantillons de Humain.
N° du produit ABIN7270035
320,00 €
Plus frais de livraison 40,00 € et TVA
Destination: France
Envoi sous 8 à 10 jours ouvrables

Aperçu rapide pour RPS6KA1 anticorps (C-Term) (ABIN7270035)

Antigène

Voir toutes RPS6KA1 Anticorps
RPS6KA1 (Ribosomal Protein S6 Kinase, 90kDa, Polypeptide 1 (RPS6KA1))

Reactivité

  • 240
  • 158
  • 130
  • 13
  • 6
  • 5
  • 4
  • 4
  • 4
  • 3
  • 3
  • 2
  • 1
  • 1
  • 1
  • 1
Humain

Hôte

  • 245
  • 18
Lapin

Clonalité

  • 177
  • 87
Polyclonal

Conjugué

  • 115
  • 17
  • 12
  • 10
  • 7
  • 7
  • 7
  • 7
  • 7
  • 7
  • 6
  • 6
  • 6
  • 6
  • 4
  • 4
  • 4
  • 4
  • 4
  • 4
  • 4
  • 4
  • 4
  • 4
  • 4
Cet anticorp RPS6KA1 est non-conjugé

Application

  • 234
  • 96
  • 87
  • 55
  • 54
  • 53
  • 47
  • 45
  • 27
  • 13
  • 12
  • 9
  • 2
  • 2
Western Blotting (WB), Immunohistochemistry (IHC), Immunofluorescence (IF)
  • Épitope

    • 46
    • 31
    • 24
    • 18
    • 15
    • 15
    • 9
    • 8
    • 8
    • 8
    • 6
    • 5
    • 3
    • 2
    • 2
    • 2
    • 2
    • 2
    • 2
    • 2
    • 2
    • 2
    • 1
    • 1
    • 1
    • 1
    • 1
    • 1
    • 1
    • 1
    • 1
    • 1
    • 1
    • 1
    • 1
    • 1
    • 1
    • 1
    • 1
    • 1
    • 1
    • 1
    • 1
    • 1
    • 1
    • 1
    • 1
    • 1
    • 1
    C-Term

    Fonction

    p90Rsk/RSK1/RPS6KA1 Rabbit pAb

    Séquence

    LGILLYTMLA GYTPFANGPS DTPEEILTRI GSGKFTLSGG NWNTVSETAK DLVSKMLHVD PHQRLTAKQV LQHPWVTQKD KLPQSQLSHQ DLQLVKGAMA ATYSALNSSK PTPQLKPIES SILAQRRVRK LPSTTL

     Réactivité croisée

    Humain, Souris, Rat

    Attributs du produit

    Polyclonal Antibodies

    Purification

    Affinity purification

    Immunogène

    A synthetic peptide corresponding to a sequence within amino acids 600 to the C-terminus of human p90Rsk/RSK1/RPS6KA1 (NP_002944.2).

    Isotype

    IgG
  • Indications d'application

    WB,1:500 - 1:2000,IHC,1:100 - 1:200,IF,1:50 - 1:200

    Restrictions

    For Research Use only
  • Format

    Liquid

    Buffer

    PBS with 0.02 % sodium azide,50 % glycerol, pH 7.3.

    Agent conservateur

    Sodium azide

    Précaution d'utilisation

    This product contains Sodium azide: a POISONOUS AND HAZARDOUS SUBSTANCE which should be handled by trained staff only.

    Stock

    -20 °C

    Stockage commentaire

    Store at -20°C. Avoid freeze / thaw cycles.
  • Antigène

    RPS6KA1 (Ribosomal Protein S6 Kinase, 90kDa, Polypeptide 1 (RPS6KA1))

    Autre désignation

    RPS6KA1

    Sujet

    This gene encodes a member of the RSK (ribosomal S6 kinase) family of serine/threonine kinases. This kinase contains 2 nonidentical kinase catalytic domains and phosphorylates various substrates, including members of the mitogen-activated kinase (MAPK) signalling pathway. The activity of this protein has been implicated in controlling cell growth and differentiation. Alternate transcriptional splice variants, encoding different isoforms, have been characterized.,HU-1,MAPKAPK1A,RSK,RSK1,p90Rsk,RPS6KA1,Epigenetics & Nuclear Signaling,Translation Control,Regulation of eIF4 and p70 S6 Kinase,Signal Transduction,G protein signaling,G2/M DNA Damage Checkpoint,Kinase,Serine/threonine kinases,mTOR Signaling Pathway,MAPK-Erk Signaling Pathway,Cell Biology & Developmental Biology,Apoptosis,Mitochondrial Control of Apoptosis,Inhibition of Apoptosis,Cell Cycle,G2/M DNA Damage Checkpoint,Microtubules,Immunology & Inflammation,NF-kB Signaling Pathway,Neuroscience,RPS6KA1

    Poids moléculaire

    72kDa/81kDa/82kDa/83kDa

    ID gène

    6195

    UniProt

    Q15418

    Pathways

    Signalisation MAPK, Neurotrophin Signaling Pathway, Activation of Innate immune Response, Toll-Like Receptors Cascades
Vous êtes ici:
Chat with us!