Tel:
+49 (0)241 95 163 153
Fax:
+49 (0)241 95 163 155
E-Mail:
orders@anticorps-enligne.fr

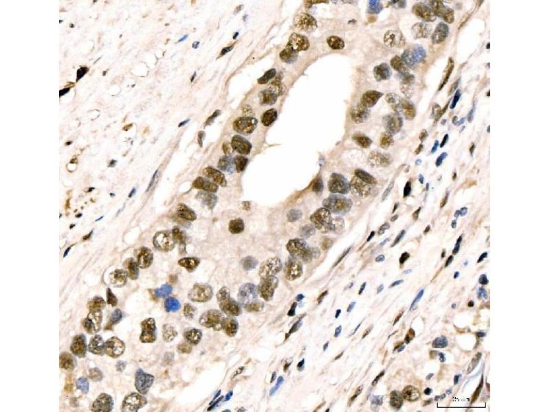
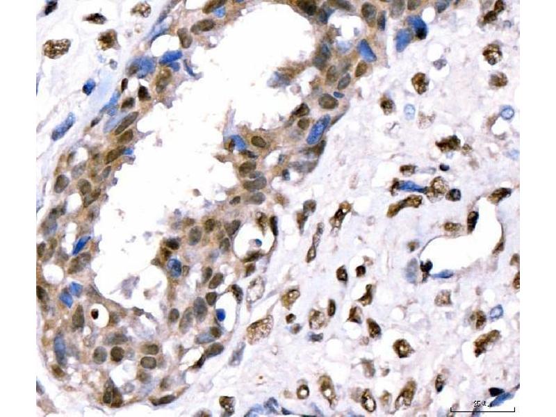
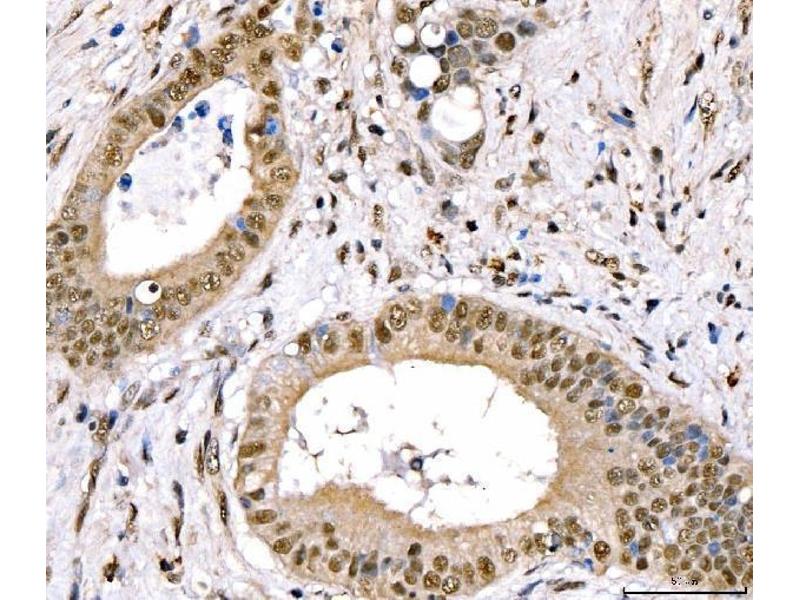
CRTC3 anticorps (AA 116-619)

Cet anticorps Lapin Polyclonal détecte spécifiquement CRTC3 dans WB, IHC, ICC, ELISA, IF et FACS. Il présente une réactivité avec des échantillons de Humain et Singe.
N° du produit ABIN7599779
500,50 €
Plus frais de livraison 40,00 € et TVA
100 μg
Destination: France
Envoi sous 8 à 12 jours ouvrables

Aperçu rapide pour CRTC3 anticorps (AA 116-619) (ABIN7599779)

Antigène

Voir toutes CRTC3 Anticorps
CRTC3 (CREB Regulated Transcription Coactivator 3 (CRTC3))

Reactivité

  • 46
  • 16
  • 14
  • 2
  • 1
  • 1
  • 1
  • 1
Humain, Singe

Hôte

  • 43
  • 3
Lapin

Clonalité

  • 28
  • 18
Polyclonal

Conjugué

  • 20
  • 3
  • 2
  • 2
  • 1
  • 1
  • 1
  • 1
  • 1
  • 1
  • 1
  • 1
  • 1
  • 1
  • 1
  • 1
  • 1
  • 1
  • 1
  • 1
  • 1
  • 1
  • 1
Cet anticorp CRTC3 est non-conjugé

Application

  • 38
  • 21
  • 16
  • 14
  • 13
  • 13
  • 13
  • 6
  • 4
  • 3
  • 1
  • 1
Western Blotting (WB), Immunohistochemistry (IHC), Immunocytochemistry (ICC), ELISA, Immunofluorescence (IF), Flow Cytometry (FACS)
  • Épitope

    • 15
    • 4
    • 4
    • 1
    • 1
    • 1
    AA 116-619

    Fonction

    Anti-CRTC3 Antibody

    Réactivité croisée (Details)

    No cross-reactivity with other proteins.

    Attributs du produit

    Anti-CRTC3 Antibody (ABIN7599779). Tested in ELISA, Flow Cytometry, IF, IHC, ICC, WB applications. This antibody reacts with Human, Monkey. This is a premium antibody that guarantees superior quality, high affinity, and strong signals with minimal background in Western blot applications.

    Purification

    Immunogen affinity purified.

    Immunogène

    E.coli-derived human CRTC3 recombinant protein (Position: R116-L619).

    Isotype

    IgG
  • Indications d'application

    Western blot, 0.25-0.5 μg/mL, Human, Monkey
    Immunohistochemistry(Paraffin-embedded Section), 2-5 μg/mL, Human
    Immunocytochemistry/Immunofluorescence, 5 μg/mL, Human
    Flow Cytometry (Fixed), 1-3 μg/1x106 cells, Human
    ELISA, 0.1-0.5 μg/mL, -

    Restrictions

    For Research Use only
  • Format

    Lyophilized

    Reconstitution

    Adding 0.2 mL of distilled water will yield a concentration of 500 μg/mL.

    Concentration

    500 μg/mL

    Buffer

    Each vial contains 4 mg Trehalose, 0.9 mg NaCl, 0.2 mg Na2HPO4.

    Stock

    4 °C,-20 °C

    Stockage commentaire

    At -20°C for one year from date of receipt. After reconstitution, at 4°C for one month.
    It can also be aliquotted and stored frozen at -20°C for six months. Avoid repeated freezing and thawing.
  • Antigène

    CRTC3 (CREB Regulated Transcription Coactivator 3 (CRTC3))

    Autre désignation

    CRTC3

    Sujet

    Synonyms: Lymphotactin, C motif chemokine 1, Cytokine SCM-1, Lymphotaxin, Small-inducible cytokine C1, Xcl1, Lptn, Ltn, Scyc1

    Tissue Specificity: Expressed in activated CD8 (+) T cells. In the thymus, expressed by medullary thymic epithelial cells.

    Background: CREB-regulated transcription coactivator 3 is a protein that in humans is encoded by the CRTC3 gene. This gene is a member of the CREB regulated transcription coactivator gene family. This family regulates CREB-dependent gene transcription in a phosphorylation-independent manner and may be selective for cAMP-responsive genes. The protein encoded by this gene may induce mitochondrial biogenesis and attenuate catecholamine signaling in adipose tissue. A translocation event between this gene and Notch coactivator mastermind-like gene 2, which results in a fusion protein, has been reported in mucoepidermoid carcinomas. Alternative splicing results in multiple transcript variants that encode different protein isoforms.

    Poids moléculaire

    78 kDa

    ID gène

    64784

    Pathways

    SARS-CoV-2 Protein Interactome, Phosphorylation & l'infection par le SRAS-CoV-2
Vous êtes ici:
Chat with us!