GRK2 anticorps
Aperçu rapide pour GRK2 anticorps (ABIN7797537)
Antigène
Voir toutes GRK2 (ADRBK1) AnticorpsReactivité
Hôte
Clonalité
Conjugué
Application
Classe de qualité
-
-
Fonction
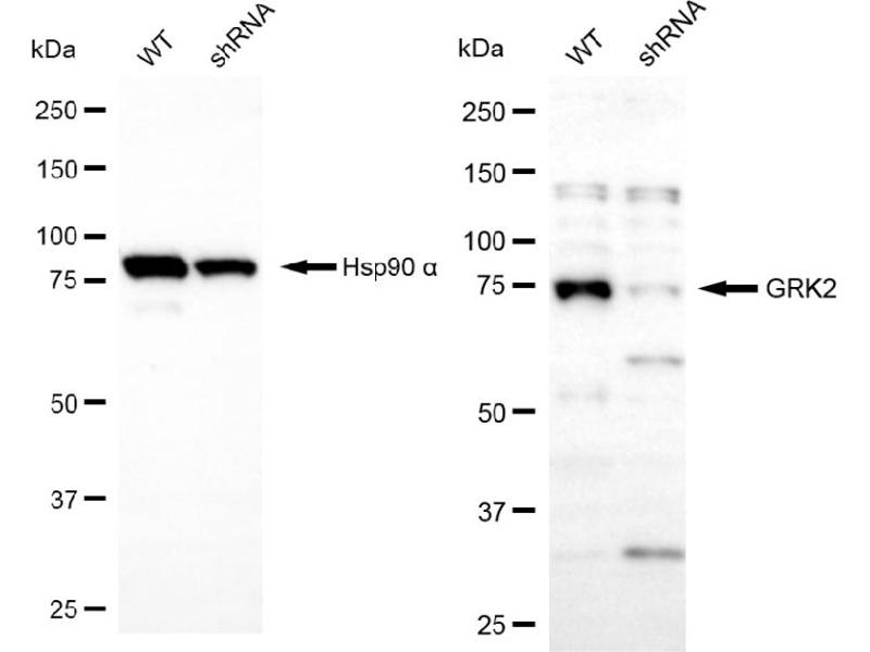
- KD-Validated GRK2 Rabbit pAb
-
Réactivité croisée
- Souris, Rat
-
Purification
- Affinity Purified
-
Immunogène
- A synthesized peptide derived from human GRK2
-
Isotype
- IgG
-
-
-
-
Indications d'application
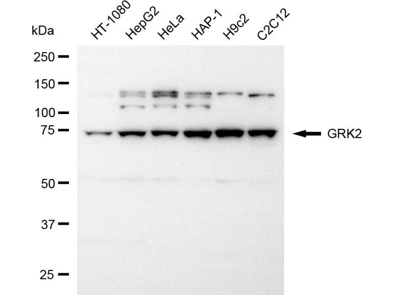
- Western Blotting (WB): 1:1,000-1:5,000
-
Commentaires
-
We assess the antibodies’ specificity and selectivity using knockdown techniques. Our validation approach is straightforward: if an antibody identifies a signal in wild-type (WT) cells, but this signal is absent or noticeably reduced in gene-silenced (KD) cells, we consider the antibody to be highly specific.
-
Restrictions
- For Research Use only
-
-
-
Format
- Liquid
-
Buffer
- PBS (pH 7.4) containing 50% glycerol and 0.02% sodium azide.
-
Agent conservateur
- Sodium azide
-
Précaution d'utilisation
- This product contains Sodium azide: a POISONOUS AND HAZARDOUS SUBSTANCE which should be handled by trained staff only.
-
Stock
- -20 °C
-
Stockage commentaire
- Store at -20 °C for one year.
-
Date de péremption
- 12 months
-
-
- GRK2 (ADRBK1) (Adrenergic, Beta, Receptor Kinase 1 (ADRBK1))
-
Autre désignation
- GRK2
-
Poids moléculaire
- 80 kDa
-
ID gène
- 156
-
UniProt
- P25098
-
Pathways
- EGFR Signaling Pathway, Neurotrophin Signaling Pathway, Regulation of G-Protein Coupled Receptor Protein Signaling, CXCR4-mediated Signaling Events, G-protein mediated Events, Interaction of EGFR with phospholipase C-gamma, Thromboxane A2 Receptor Signaling
Antigène
-