Recombinant MCM6 anticorps
Aperçu rapide pour Recombinant MCM6 anticorps (ABIN7799421)
Antigène
Voir toutes MCM6 AnticorpsType d'anticorp
Reactivité
Hôte
Clonalité
Conjugué
Application
Classe de qualité
Clone
-
-
Expression System
- HEK-293 Cells
-
Fonction
- KD-Validated MCM6 Recombinant Rabbit mAb
-
Réactivité croisée
- Souris, Rat
-
Purification
- Affinity Purified
-
Immunogène
- A synthesized peptide derived from human MCM6
-
Isotype
- IgG
-
-
-
-
Indications d'application
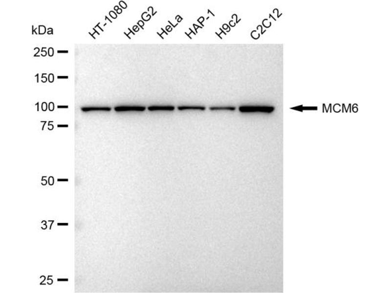
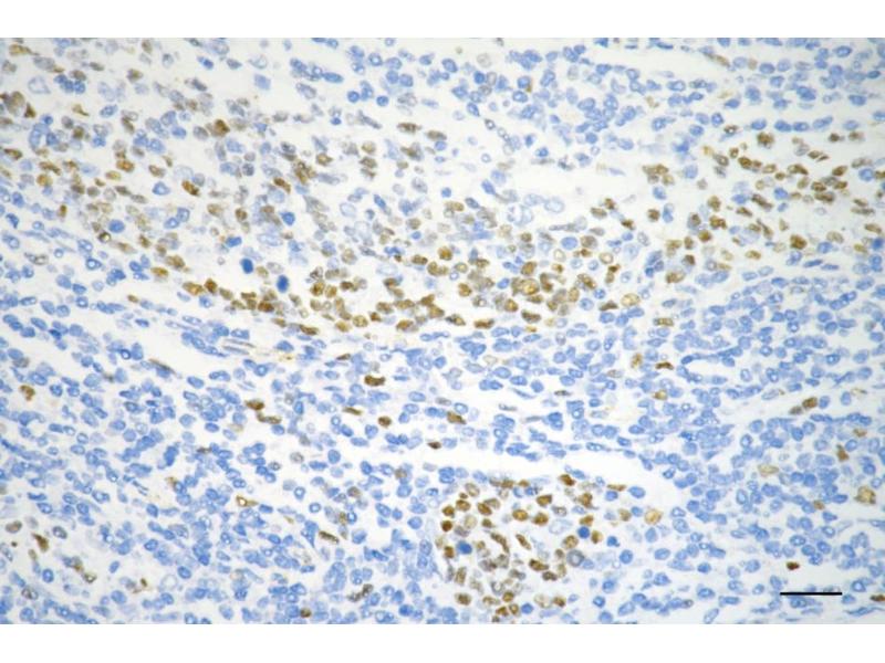
- Western Blotting (WB): 1:1,000-1:5,000, Flow Cytometry (FCM): 1:200-1:2,000, Immunohistochemistry-Paraffin (IHC-P): 1:100-1:200
-
Commentaires
-
We assess the antibodies’ specificity and selectivity using knockdown techniques. Our validation approach is straightforward: if an antibody identifies a signal in wild-type (WT) cells, but this signal is absent or noticeably reduced in gene-silenced (KD) cells, we consider the antibody to be highly specific.
-
Restrictions
- For Research Use only
-
-
-
Format
- Liquid
-
Buffer
- PBS (pH 7.4) containing 50% glycerol and 0.02% sodium azide.
-
Agent conservateur
- Sodium azide
-
Précaution d'utilisation
- This product contains Sodium azide: a POISONOUS AND HAZARDOUS SUBSTANCE which should be handled by trained staff only.
-
Stock
- -20 °C
-
Stockage commentaire
- Store at -20 °C for one year.
-
Date de péremption
- 12 months
-
-
- MCM6 (Minichromosome Maintenance Complex Component 6 (MCM6))
-
Autre désignation
- MCM6
-
Poids moléculaire
- 93 kDa
-
ID gène
- 4175
-
UniProt
- Q14566
-
Pathways
- Réparation de l'ADN, Mitotic G1-G1/S Phases, DNA Replication, Synthesis of DNA
Antigène
-