MYD88 anticorps
Aperçu rapide pour MYD88 anticorps (ABIN7799511)
Antigène
Voir toutes MYD88 AnticorpsReactivité
Hôte
Clonalité
Conjugué
Application
-
-
Fonction
- MYD88 Rabbit pAb
-
Réactivité croisée
- Souris, Rat
-
Purification
- Affinity Purified
-
Immunogène
- A synthesized peptide derived from human MYD88
-
Isotype
- IgG
-
-
-
-
Indications d'application
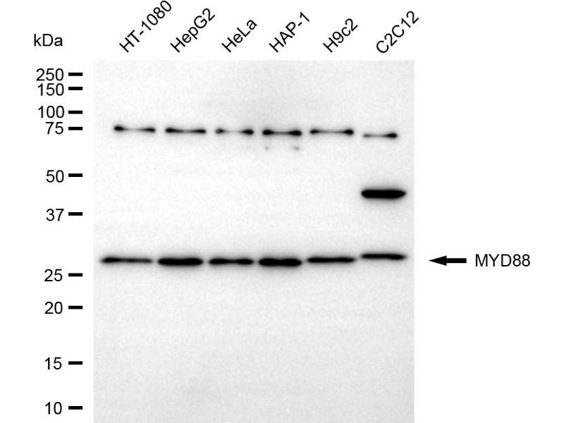
- Western Blotting (WB): 1:500-1:2,500
-
Restrictions
- For Research Use only
-
-
-
Format
- Liquid
-
Buffer
- PBS (pH 7.4) containing 50% glycerol and 0.02% sodium azide.
-
Agent conservateur
- Sodium azide
-
Précaution d'utilisation
- This product contains Sodium azide: a POISONOUS AND HAZARDOUS SUBSTANCE which should be handled by trained staff only.
-
Stock
- -20 °C
-
Stockage commentaire
- Store at -20 °C for one year.
-
Date de péremption
- 12 months
-
-
- MYD88 (Myeloid Differentiation Primary Response Gene (88) (MYD88))
-
Autre désignation
- MYD88
-
Poids moléculaire
- 33 kDa
-
ID gène
- 4615
-
UniProt
- Q99836
-
Pathways
- Signalisation NF-kappaB, Signalisation TLR, Neurotrophin Signaling Pathway, Activation of Innate immune Response, Cellular Response to Molecule of Bacterial Origin, Positive Regulation of Immune Effector Process, Production of Molecular Mediator of Immune Response, Toll-Like Receptors Cascades
Antigène
-