RHOA anticorps (AA 1-194)
Aperçu rapide pour RHOA anticorps (AA 1-194) (ABIN790447)
Antigène
Voir toutes RHOA AnticorpsReactivité
Hôte
Clonalité
Conjugué
Application
Clone
-
-
Épitope
- AA 1-194
-
Specificité
- Human RHOA
-
Purification
- Purified from ascites by Protein A
-
Immunogène
-
RHOA (AAH01360, 1 a.a. ~ 194 a.a) full length recombinant protein with GST tag. MW of the GST tag alone is 26 KDa.
Type of Immunogen: Recombinant protein -
Isotype
- IgG1 lambda
-
-
-
-
Indications d'application
-
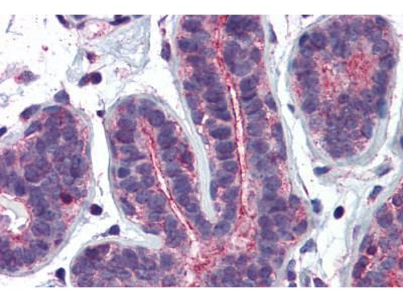
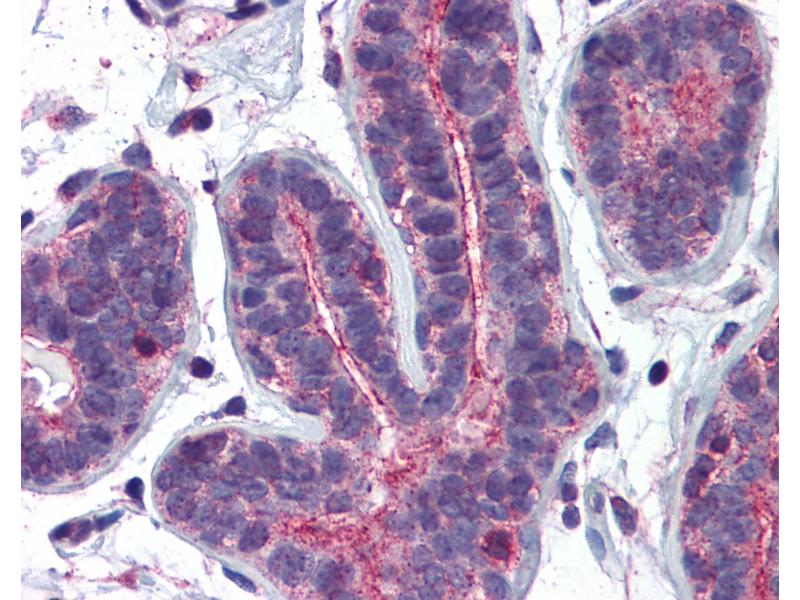
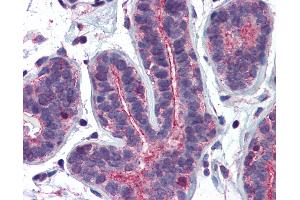
Approved: ELISA, IF (10 μg/mL), IHC, IHC-P (5 μg/mL), WB (1:500 - 1:1000)
Usage: Immunohistochemistry: Formalin-fixed paraffin-embedded sections. Sandwich ELISA: Recombinant protein. Western Blot: Cell lysate, Transfected lysate, Recombinant protein. -
Commentaires
-
Target Species of Antibody: Human
-
Restrictions
- For Research Use only
-
-
-
Format
- Liquid
-
Concentration
- Lot specific
-
Buffer
- PBS, pH 7.4.
-
Conseil sur la manipulation
- Avoid freeze-thaw cycles.
-
Stock
- -20 °C,-80 °C
-
Stockage commentaire
- Aliquot and store at -20°C or -80°C. Avoid freeze-thaw cycles.
-
-
- RHOA (Ras Homolog Gene Family, Member A (RHOA))
-
Autre désignation
- RHOA
-
Sujet
-
Name/Gene ID: RHOA
Family: Ras GTPase superfamily IPR001806
Synonyms: RHOA, ARH12, ARHA, Aplysia ras-related homolog 12, H12, Oncogene RHO H12, Rho cDNA clone 12, RHO12, RHOH12, Ras homolog family member A, Small GTP binding protein RhoA, Transforming protein RhoA -
ID gène
- 387
-
UniProt
- P61586
-
Pathways
- Dynamique des Microtubules, Signalisation WNT, Neurotrophin Signaling Pathway, Intracellular Steroid Hormone Receptor Signaling Pathway, Regulation of Intracellular Steroid Hormone Receptor Signaling, Regulation of Actin Filament Polymerization, Cell-Cell Junction Organization, Positive Regulation of Endopeptidase Activity, Signaling Events mediated by VEGFR1 and VEGFR2, Thromboxane A2 Receptor Signaling, SARS-CoV-2 Protein Interactome
Antigène
-