Arrestin 3 anticorps (AA 300-410)
Aperçu rapide pour Arrestin 3 anticorps (AA 300-410) (ABIN790451)
Antigène
Voir toutes Arrestin 3 (ARRB2) AnticorpsReactivité
Hôte
Clonalité
Conjugué
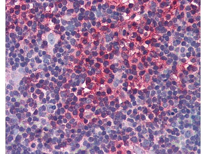
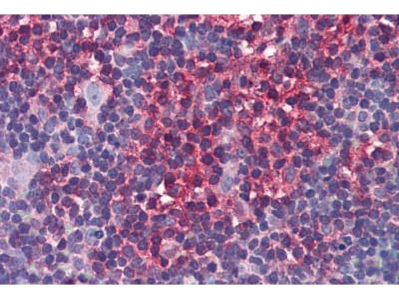
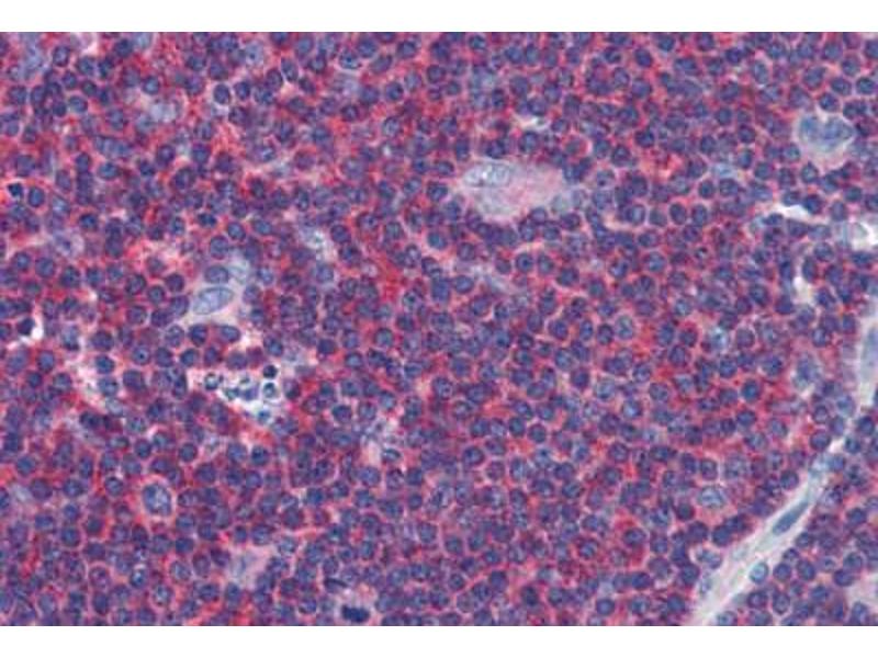
Application
Clone
-
-
Épitope
- AA 300-410
-
Specificité
- Human Beta-Arrestin 2
-
Purification
- Purified from ascites by Protein A
-
Immunogène
-
ARRB2 (AAH07427, 300 a.a. ~ 410 a.a) partial recombinant protein with GST tag. MW of the GST tag alone is 26 KDa.
Type of Immunogen: Recombinant protein -
Isotype
- IgG2a kappa
-
-
-
-
Indications d'application
-
Approved: ELISA, IF (10 μg/mL), IHC, IHC-P (5 μg/mL), WB (1:500 - 1:1000)
Usage: Sandwich ELISA: Recombinant protein. Western Blot: Transfected lysate, Recombinant protein. -
Commentaires
-
Target Species of Antibody: Human
-
Restrictions
- For Research Use only
-
-
-
Format
- Liquid
-
Concentration
- Lot specific
-
Buffer
- PBS, pH 7.4. Sourced in Ascites.
-
Conseil sur la manipulation
- Avoid freeze-thaw cycles.
-
Stock
- -20 °C,-80 °C
-
Stockage commentaire
- Aliquot and store at -20°C or -80°C. Avoid freeze-thaw cycles.
-
-
- Arrestin 3 (ARRB2) (Arrestin, beta 2 (ARRB2))
-
Autre désignation
- ARRB2 / Beta Arrestin 2
-
Sujet
-
Name/Gene ID: ARRB2
Synonyms: ARRB2, Arrestin 3, Arrestin beta-2, ARB2, ARR2, BARR2, Arrestin, beta 2, Beta-arrestin-2 -
ID gène
- 409
-
UniProt
- P32121
-
Pathways
- Intracellular Steroid Hormone Receptor Signaling Pathway, Regulation of Intracellular Steroid Hormone Receptor Signaling, cAMP Metabolic Process, Myometrial Relaxation and Contraction, Regulation of Leukocyte Mediated Immunity, Synaptic Membrane, Regulation of G-Protein Coupled Receptor Protein Signaling, CXCR4-mediated Signaling Events, Phototransduction, Thromboxane A2 Receptor Signaling
Antigène
-