Tel:
+49 (0)241 95 163 153
Fax:
+49 (0)241 95 163 155
E-Mail:
orders@anticorps-enligne.fr

HSP27 anticorps

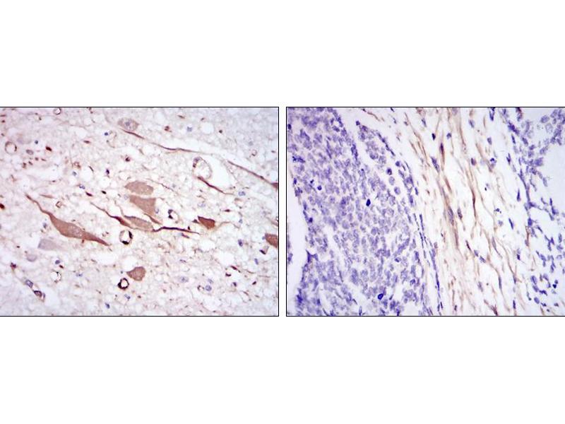
Cet anticorps Souris Monoclonal détecte spécifiquement HSP27 dans WB, IHC, ELISA, FACS et ICC. Il présente une réactivité avec des échantillons de Humain et Rat.Il a été cité dans 1 publication.
N° du produit ABIN969199
498,33 €
Plus frais de livraison 40,00 € et TVA
100 μL
Destination: France
Envoi sous 7 à 10 jours ouvrables

Aperçu rapide pour HSP27 anticorps (ABIN969199)

Antigène

Voir toutes HSP27 (HSPB1) Anticorps
HSP27 (HSPB1) (Heat Shock 27kDa Protein 1 (HSPB1))

Reactivité

  • 372
  • 137
  • 122
  • 36
  • 25
  • 25
  • 25
  • 11
  • 9
  • 5
  • 4
  • 4
  • 3
  • 2
  • 1
  • 1
Humain, Rat

Hôte

  • 284
  • 96
Souris

Clonalité

  • 212
  • 167
Monoclonal

Conjugué

  • 160
  • 26
  • 15
  • 11
  • 10
  • 9
  • 9
  • 9
  • 9
  • 9
  • 9
  • 7
  • 5
  • 5
  • 4
  • 4
  • 4
  • 4
  • 4
  • 4
  • 4
  • 4
  • 4
  • 4
  • 4
  • 4
  • 4
  • 3
  • 3
  • 3
  • 3
  • 3
  • 3
  • 3
  • 3
  • 3
  • 3
  • 3
  • 1
  • 1
Cet anticorp HSP27 est non-conjugé

Application

  • 317
  • 161
  • 128
  • 101
  • 95
  • 81
  • 79
  • 43
  • 41
  • 40
  • 15
  • 13
  • 12
  • 10
  • 7
  • 7
  • 3
  • 2
  • 2
  • 2
  • 2
  • 1
  • 1
  • 1
  • 1
Western Blotting (WB), Immunohistochemistry (IHC), ELISA, Flow Cytometry (FACS), Immunocytochemistry (ICC)

Clone

5D7
  • Fonction

    HSP27 Antibody

    Purification

    Ascitic fluid

    Immunogène

    Purified recombinant fragment of human HSP27 expressed in E. Coli.

    Isotype

    IgG1
  • Indications d'application

    ELISA: 1/10000

    FCM: 1/200 - 1/400

    ICC: 1/200 - 1/1000

    Restrictions

    For Research Use only
  • Format

    Liquid

    Buffer

    Ascitic fluid containing 0.03 % sodium azide.

    Agent conservateur

    Sodium azide

    Précaution d'utilisation

    This product contains Sodium azide: a POISONOUS AND HAZARDOUS SUBSTANCE which should be handled by trained staff only.

    Stock

    4 °C,-20 °C

    Stockage commentaire

    Store at 4°C short term. Aliquot and store at -20°C long term. Avoid freeze/thaw cycles.
  • Langer, Ott, Specht, Becker, Lordick, Burian, Herrmann, Schrattenholz, Cahill, Schwaiger, Hofler, Wester: "Protein expression profiling in esophageal adenocarcinoma patients indicates association of heat-shock protein 27 expression and chemotherapy response." dans: Clinical cancer research : an official journal of the American Association for Cancer Research, Vol. 14, Issue 24, pp. 8279-87, (2008) (PubMed).

  • Antigène

    HSP27 (HSPB1) (Heat Shock 27kDa Protein 1 (HSPB1))

    Autre désignation

    HSP27

    Sujet

    The protein encoded by this gene is induced by environmental stress and developmental changes. The encoded protein is involved in stress resistance and actin organization and translocates from the cytoplasm to the nucleus upon stress induction. Defects in this gene are a cause of Charcot-Marie-Tooth disease type 2F (CMT2F) and distal hereditary motor neuropathy (dHMN). (provided by RefSeq) Tissue specificity: Detected in all tissues tested: skeletal muscle, heart, aorta, large intestine, small intestine, stomach, esophagus, bladder, adrenal gland, thyroid, pancreas, testis, adipose tissue, kidney, liver, spleen, cerebral cortex, blood serum and cerebrospinal fluid. Highest levels are found in the heart and in tissues composed of striated and smooth muscle.

    Poids moléculaire

    27 kDa

    ID gène

    3315

    UniProt

    P04792

    Pathways

    Signalisation MAPK, Regulation of Actin Filament Polymerization, Signaling Events mediated by VEGFR1 and VEGFR2, Negative Regulation of intrinsic apoptotic Signaling, VEGF Signaling
Vous êtes ici:
Chat with us!