Tel:
+49 (0)241 95 163 153
Fax:
+49 (0)241 95 163 155
E-Mail:
orders@anticorps-enligne.fr

CPSF6 Anticorps

(Cleavage and Polyadenylation Specific Factor 6, 68kDa (CPSF6))

Choisissez l’un des 45 anticorps CPSF6 de notre liste de produits basés sur 7 publications et 43 images de validation.

Découvrez des anticorps CPSF6 fiables issus d’une large sélection de fabricants renommés. Notre portefeuille permet une détection précise de CPSF6 dans plusieurs espèces, y compris Human, Mouse, Rat, Dog, Cow, Guinea Pig, Monkey, Rabbit, Horse, Pig, Zebrafish (Danio rerio), Chicken, et prend en charge diverses applications de recherche telles que WB, IHC, ELISA, IP, ICC.

Trouvez rapidement l’anticorps adapté grâce à nos outils de recherche, de filtrage et de comparaison. Chaque page produit fournit des données de validation détaillées, des références bibliographiques et des retours d’utilisateurs. Contrairement aux ressources dédiées uniquement à la comparaison, vous pouvez acheter directement les anticorps sur notre site. Choisissez parmi des anticorps polyclonaux, monoclonaux ou recombinants CPSF6, issus de différents hôtes tels que Rabbit, Mouse. Parcourez nos produits ci-dessous et commandez directement pour soutenir vos recherches en toute confiance.

Les noms alternatifs de CPSF6 sont CPSF6, cpsf6.S, cpsf6, Cpsf6.

45 Résultats

CPSF6 Reactivité: Humain WB, ELISA, IF Hôte: Souris Monoclonal 3F11 unconjugated
Pubmed 2 références
N° du produit ABIN524445
651,20 €
Plus frais de livraison 40,00 € et TVA
100 μg
Destination: France
Envoi sous 8 à 9 jours ouvrables
 
CPSF6 Reactivité: Humain WB, IHC, IF, IP Hôte: Lapin Polyclonal unconjugated
N° du produit ABIN6138974
320,00 €
Plus frais de livraison 40,00 € et TVA
100 μL (Autres quantités disponibles)
Destination: France
Envoi sous 8 à 10 jours ouvrables
 
CPSF6 Reactivité: Humain WB, ELISA, IF Hôte: Souris Monoclonal 1C5 unconjugated
N° du produit ABIN524444
651,20 €
Plus frais de livraison 40,00 € et TVA
100 μg
Destination: France
Envoi sous 8 à 9 jours ouvrables
 
CPSF6 Reactivité: Humain WB, ELISA, IHC, IF Hôte: Lapin Polyclonal unconjugated
N° du produit ABIN7147925
328,90 €
Plus frais de livraison 40,00 € et TVA
100 μg (Autres quantités disponibles)
Destination: France
Envoi sous 11 à 15 jours ouvrables
 
CPSF6 Reactivité: Humain, Souris, Rat, Singe WB, IHC, IF, ICC, FACS Hôte: Souris Monoclonal 3F11E1 unconjugated
N° du produit ABIN7601897
500,50 €
Plus frais de livraison 40,00 € et TVA
100 μg
Destination: France
Envoi sous 8 à 12 jours ouvrables
 
CPSF6 Reactivité: Humain WB Hôte: Lapin Polyclonal RB42780 unconjugated
Pubmed 5 références
N° du produit ABIN1881225
434,77 €
Plus frais de livraison 40,00 € et TVA
400 μL (Autres quantités disponibles)
Destination: France
Envoi sous 14 à 17 jours ouvrables
 
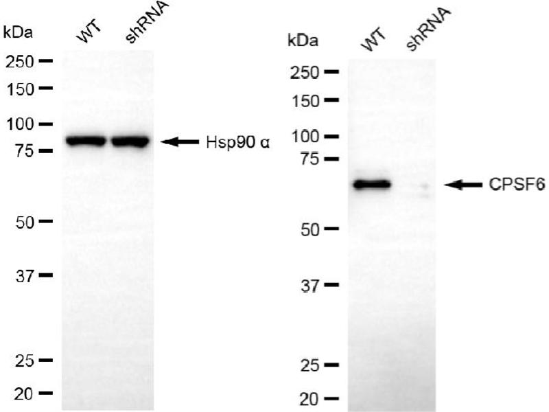
KD Validated CPSF6 Reactivité: Humain WB, FACS Hôte: Lapin Monoclonal 25GB145 unconjugated Recombinant Antibody
N° du produit ABIN7798097
598,92 €
Plus frais de livraison 40,00 € et TVA
100 μL
Destination: France
Envoi sous 7 à 10 jours ouvrables
 
CPSF6 Reactivité: Humain, Souris, Rat, Chien, Boeuf (Vache), Cobaye, Lapin, Cheval, Poisson zèbre (Danio rerio) WB, IHC, IF Hôte: Lapin Polyclonal unconjugated
N° du produit ABIN2779018
470,22 €
Plus frais de livraison 40,00 € et TVA
100 μL (Autres quantités disponibles)
Destination: France
Envoi sous 6 à 9 jours ouvrables
 
CPSF6 Reactivité: Humain, Souris, Rat, Chien WB, IHC Hôte: Lapin Polyclonal unconjugated
N° du produit ABIN630020
1.075,31 €
Plus frais de livraison 40,00 € et TVA
100 μg
Destination: France
Envoi sous 13 à 17 jours ouvrables
 
CPSF6 Reactivité: Humain, Souris, Rat, Chien, Boeuf (Vache), Cobaye, Lapin, Cheval, Poisson zèbre (Danio rerio), Singe, Porc, Poulet WB, IHC, IHC (p) Hôte: Lapin Polyclonal unconjugated
N° du produit ABIN202751
741,67 €
Plus frais de livraison 40,00 € et TVA
100 μL
Destination: France
Envoi sous 15 à 20 jours ouvrables
 
CPSF6 Reactivité: Humain, Souris, Rat IF Hôte: Lapin Polyclonal unconjugated
N° du produit ABIN7261894
580,00 €
Plus frais de livraison 40,00 € et TVA
200 μL (Autres quantités disponibles)
Destination: France
Envoi sous 9 à 13 jours ouvrables
 
CPSF6 Reactivité: Humain, Souris WB, ELISA Hôte: Lapin Polyclonal unconjugated
N° du produit ABIN6388750
377,51 €
Plus frais de livraison 40,00 € et TVA
100 μL (Autres quantités disponibles)
Destination: France
Envoi sous 8 à 10 jours ouvrables
 
CPSF6 Reactivité: Humain WB, ELISA, IHC Hôte: Lapin Polyclonal unconjugated
N° du produit ABIN7568746
527,38 €
Plus frais de livraison 40,00 € et TVA
100 μg
Destination: France
Envoi sous 10 à 13 jours ouvrables
 
CPSF6 Reactivité: Humain WB, IHC, IF, IP Hôte: Lapin Monoclonal R05-6K1 unconjugated Recombinant Antibody
N° du produit ABIN7516911
840,00 €
Plus frais de livraison 40,00 € et TVA
100 μL
Destination: France
Envoi sous 8 à 9 jours ouvrables
 
CPSF6 Reactivité: Humain, Souris WB, ELISA Hôte: Lapin Polyclonal unconjugated
N° du produit ABIN7228040
623,62 €
Plus frais de livraison 40,00 € et TVA
100 μL (Autres quantités disponibles)
Destination: France
Envoi sous 10 à 14 jours ouvrables
 
CPSF6 Reactivité: Humain WB, IF, ICC, IHC (p) Hôte: Lapin Polyclonal unconjugated
N° du produit ABIN7465129
765,00 €
Plus frais de livraison 40,00 € et TVA
100 μL
Destination: France
Envoi sous 7 à 10 jours ouvrables
 
CPSF6 Reactivité: Humain ELISA Hôte: Lapin Polyclonal Biotin
N° du produit ABIN7147926
328,90 €
Plus frais de livraison 40,00 € et TVA
100 μg (Autres quantités disponibles)
Destination: France
Envoi sous 11 à 15 jours ouvrables
 
CPSF6 Reactivité: Humain ELISA Hôte: Lapin Polyclonal HRP
N° du produit ABIN7147928
328,90 €
Plus frais de livraison 40,00 € et TVA
100 μg (Autres quantités disponibles)
Destination: France
Envoi sous 11 à 15 jours ouvrables
 
CPSF6 Reactivité: Humain Hôte: Lapin Polyclonal FITC
N° du produit ABIN7147927
328,90 €
Plus frais de livraison 40,00 € et TVA
100 μg (Autres quantités disponibles)
Destination: France
Envoi sous 11 à 15 jours ouvrables
 
CPSF6 Reactivité: Humain, Souris, Rat WB, ELISA, IHC, IP Hôte: Lapin Polyclonal unconjugated
N° du produit ABIN7112882
393,85 €
Plus frais de livraison 40,00 € et TVA
100 μg
Destination: France
Envoi sous 11 à 15 jours ouvrables
 
  • Type Primary
    • Primary
  • Application
    • Western Blotting (WB)
    • Immunohistochemistry (IHC)
    • ELISA
    • Immunoprecipitation (IP)
    • Immunocytochemistry (ICC)
    • Immunofluorescence (IF)
    • Flow Cytometry (FACS)
    • Immunohistochemistry (Paraffin-embedded Sections) (IHC (p))
    • Immunofluorescence (fixed cells) (IF/ICC)
  • Réactivité
    • Human
    • Mouse
    • Rat
    • Dog
    • Cow
    • Guinea Pig
    • Monkey
    • Rabbit
    • Horse
    • Pig
    • Zebrafish (Danio rerio)
    • Chicken
  • Cité dans publications
  • Images disponible
  • Sans conservateur uniquement
  • Carrier free only
  • Hote
    • Rabbit
    • Mouse
  • Clonalité
    • Polyclonal
    • Monoclonal
  • Clone
    • 3F11
    • 1C5
    • 25GB145
    • 3F11E1
    • R05-6K1
    • RB42780
  • Epitope
    • AA 23-51
    • AA 186-226
    • N-Term
    • AA 37-136
    • AA 50-176
    • Middle Region
    • AA 261-310
    • AA 37-137
    • AA 400-450
    • AA 79-181
  • Conjugué
    • Inconjugué
    • Biotin
    • FITC
    • HRP
    • APC
    • Alexa Fluor 350
    • Alexa Fluor 405
    • Alexa Fluor 488
    • Alexa Fluor 555
    • Alexa Fluor 594
    • Alexa Fluor 647
    • Alexa Fluor 680
    • Alexa Fluor 750
    • PE
  • Isotype
    • IgG
    • Ig Fraction
    • IgG1
    • IgG2a
    • IgG2a kappa
    • IgG2b
  • Type Proteine
    • Recombinant Antibody
  • Format
    • Liquid
    • Lyophilized
  • Grade
    • KD Validated
  • Supplier
    • antibodies-online
    • Signalway
    • Abbexa
    • Boster Bio
    • USBio
    • Aviva Systems Biology
    • Biospes
    • ProSci
    • ProteoGenix

Dernières publications pour nos CPSF6 Anticorps

Saito, Henning, Serrao, Dubose, Teng, Huang, Li, Saito, Roy, Siddiqui, Ahn, Tsuji, Hatziioannou, Engelman, Yamashita: "Capsid-CPSF6 Interaction Is Dispensable for HIV-1 Replication in Primary Cells but Is Selected during Virus Passage In Vivo." dans: Journal of virology, Vol. 90, Issue 15, pp. 6918-35, (2016) (PubMed).

Peng, Muranyi, Glass, Laketa, Yant, Tsai, Cihlar, Müller, Kräusslich: "Quantitative microscopy of functional HIV post-entry complexes reveals association of replication with the viral capsid." dans: eLife, Vol. 3, pp. e04114, (2015) (PubMed).

Henning, Dubose, Burse, Aiken, Yamashita: "In vivo functions of CPSF6 for HIV-1 as revealed by HIV-1 capsid evolution in HLA-B27-positive subjects." dans: PLoS pathogens, Vol. 10, Issue 1, pp. e1003868, (2014) (PubMed).

De Iaco, Santoni, Vannier, Guipponi, Antonarakis, Luban: "TNPO3 protects HIV-1 replication from CPSF6-mediated capsid stabilization in the host cell cytoplasm." dans: Retrovirology, Vol. 10, pp. 20, (2013) (PubMed).

Fricke, Valle-Casuso, White, Brandariz-Nuñez, Bosche, Reszka, Gorelick, Diaz-Griffero: "The ability of TNPO3-depleted cells to inhibit HIV-1 infection requires CPSF6." dans: Retrovirology, Vol. 10, pp. 46, (2013) (PubMed).

Kim, Yamamoto, Chen, Aida, Wada, Handa, Yamaguchi: "Evidence that cleavage factor Im is a heterotetrameric protein complex controlling alternative polyadenylation." dans: Genes to cells : devoted to molecular & cellular mechanisms, Vol. 15, Issue 9, pp. 1003-13, (2010) (PubMed).

Lee, Ambrose, Martin, Oztop, Mulky, Julias, Vandegraaff, Baumann, Wang, Yuen, Takemura, Shelton, Taniuchi, Li, Sodroski, Littman, Coffin, Hughes, Unutmaz, Engelman, KewalRamani: "Flexible use of nuclear import pathways by HIV-1." dans: Cell host & microbe, Vol. 7, Issue 3, pp. 221-33, (2010) (PubMed).

Larriba, Casado-Vela, Pendás-Franco, Peña, García de Herreros, Berciano, Lafarga, Casal, Muñoz: "Novel snail1 target proteins in human colon cancer identified by proteomic analysis." dans: PLoS ONE, Vol. 5, Issue 4, pp. e10221, (2010) (PubMed).

Ruepp, Aringhieri, Vivarelli, Cardinale, Paro, Schümperli, Barabino: "Mammalian pre-mRNA 3' end processing factor CF I m 68 functions in mRNA export." dans: Molecular biology of the cell, Vol. 20, Issue 24, pp. 5211-23, (2009) (PubMed).

Xin, Rual, Hirozane-Kishikawa, Hill, Vidal, Boone, Thierry-Mieg: "Shifted Transversal Design smart-pooling for high coverage interactome mapping." dans: Genome research, Vol. 19, Issue 7, pp. 1262-9, (2009) (PubMed).

Pseudonymes pour CPSF6 Anticorps

cleavage and polyadenylation specific factor 6 (CPSF6) Anticorps
cleavage and polyadenylation specific factor 6 S homeolog (cpsf6.S) Anticorps
cleavage and polyadenylation specific factor 6 (cpsf6) Anticorps
cleavage and polyadenylation specific factor 6 (Cpsf6) Anticorps
4733401N12Rik Anticorps
AI256641 Anticorps
CFIM Anticorps
CFIM68 Anticorps
CPSF6 Anticorps
HPBRII-4 Anticorps
HPBRII-7 Anticorps
wu:fa22f12 Anticorps
zgc:85819 Anticorps
Vous êtes ici:
Chat with us!