Tel:
+49 (0)241 95 163 153
Fax:
+49 (0)241 95 163 155
E-Mail:
orders@anticorps-enligne.fr

Crk Anticorps

(V-Crk Sarcoma Virus CT10 Oncogene Homolog (Avian) (CRK))

Choisissez l’un des 109 anticorps Crk de notre liste de produits basés sur 10 publications et 64 images de validation.

Découvrez des anticorps Crk fiables issus d’une large sélection de fabricants renommés. Notre portefeuille permet une détection précise de Crk dans plusieurs espèces, y compris Human, Mouse, Rat, Monkey, Dog, Rabbit, Cow, Guinea Pig, Hamster, Horse, Bat, Chicken, Drosophila melanogaster, Frog, Xenopus laevis, et prend en charge diverses applications de recherche telles que WB, IF, ELISA, IF (cc), IF (p).

Trouvez rapidement l’anticorps adapté grâce à nos outils de recherche, de filtrage et de comparaison. Chaque page produit fournit des données de validation détaillées, des références bibliographiques et des retours d’utilisateurs. Contrairement aux ressources dédiées uniquement à la comparaison, vous pouvez acheter directement les anticorps sur notre site. Choisissez parmi des anticorps polyclonaux, monoclonaux ou recombinants Crk, issus de différents hôtes tels que Rabbit, Mouse. Parcourez nos produits ci-dessous et commandez directement pour soutenir vos recherches en toute confiance.

Les noms alternatifs de Crk sont Crk, crk, CRK, crk.L.

109 Résultats

CRK Reactivité: Humain ELISA, IHC, ICC, FACS Hôte: Souris Monoclonal 3G11C1 unconjugated
Pubmed 2 références
N° du produit ABIN969062
657,84 €
Plus frais de livraison 40,00 € et TVA
100 μL
Destination: France
Envoi sous 7 à 10 jours ouvrables
 
CRK Reactivité: Humain, Souris, Rat WB, IHC Hôte: Lapin Polyclonal unconjugated
N° du produit ABIN3042758
500,50 €
Plus frais de livraison 40,00 € et TVA
100 μg
Destination: France
Envoi sous 8 à 12 jours ouvrables
 
CRK Reactivité: Humain, Souris, Rat, Singe WB, ELISA, IF, ICC Hôte: Lapin Polyclonal unconjugated
N° du produit ABIN6256674
525,71 €
Plus frais de livraison 40,00 € et TVA
100 μL (Autres quantités disponibles)
Destination: France
Envoi sous 9 à 11 jours ouvrables
 
CRK Reactivité: Humain WB, IF, PLA Hôte: Lapin Polyclonal unconjugated
N° du produit ABIN514602
636,80 €
Plus frais de livraison 40,00 € et TVA
100 μg
Destination: France
Envoi sous 8 à 9 jours ouvrables
 
CRK Reactivité: Humain, Souris WB, IF, ICC Hôte: Lapin Polyclonal unconjugated
N° du produit ABIN2854888
583,17 €
Plus frais de livraison 40,00 € et TVA
100 μL
Destination: France
Envoi sous 7 à 10 jours ouvrables
 
CRK Reactivité: Humain WB, PLA Hôte: Souris Polyclonal unconjugated
Pubmed 1 reference
N° du produit ABIN514601
651,20 €
Plus frais de livraison 40,00 € et TVA
50 μg
Destination: France
Envoi sous 8 à 9 jours ouvrables
 
CRK Reactivité: Humain, Souris WB, IF, ICC Hôte: Lapin Polyclonal unconjugated
N° du produit ABIN467422
833,74 €
Plus frais de livraison 40,00 € et TVA
100 μL
Destination: France
Envoi sous 15 à 20 jours ouvrables
 
KD Validated CRK Reactivité: Humain WB, FACS Hôte: Lapin Monoclonal 23GB1405 unconjugated Recombinant Antibody
N° du produit ABIN7800791
598,92 €
Plus frais de livraison 40,00 € et TVA
100 μL
Destination: France
Envoi sous 7 à 10 jours ouvrables
 
CRK Reactivité: Humain, Souris, Rat ELISA, IHC Hôte: Lapin Polyclonal unconjugated
N° du produit ABIN7236685
449,00 €
Plus frais de livraison 40,00 € et TVA
200 μL (Autres quantités disponibles)
Destination: France
Envoi sous 9 à 13 jours ouvrables
 
CRK Reactivité: Humain WB, ELISA, IF (cc), IF (p), IHC (p), IHC (fro) Hôte: Lapin Polyclonal unconjugated
N° du produit ABIN684433
357,70 €
Plus frais de livraison 40,00 € et TVA
100 μL
Destination: France
Envoi sous 8 à 12 jours ouvrables
 
CRK Reactivité: Humain WB, ELISA, IF Hôte: Lapin Polyclonal unconjugated
N° du produit ABIN7143272
328,90 €
Plus frais de livraison 40,00 € et TVA
100 μg (Autres quantités disponibles)
Destination: France
Envoi sous 11 à 15 jours ouvrables
 
CRK Reactivité: Humain WB Hôte: Lapin Polyclonal unconjugated
N° du produit ABIN3015531
320,00 €
Plus frais de livraison 40,00 € et TVA
100 μL (Autres quantités disponibles)
Destination: France
Envoi sous 8 à 10 jours ouvrables
 
CRK Reactivité: Humain, Souris, Rat, Chien, Boeuf (Vache), Poulet, Grenouille WB, IP, BI Hôte: Souris Monoclonal 22-Crk unconjugated
Pubmed 7 références
N° du produit ABIN967702
164,17 €
Plus frais de livraison 40,00 € et TVA
50 μg
Destination: France
Envoi sous 12 à 15 jours ouvrables
 
CRK Reactivité: Humain, Souris, Rat WB, ELISA, IF, IHC Hôte: Lapin Polyclonal unconjugated
N° du produit ABIN1532240
402,00 €
Plus frais de livraison 40,00 € et TVA
100 μL (Autres quantités disponibles)
Destination: France
Envoi sous 6 à 9 jours ouvrables
 
CRK Reactivité: Humain, Souris, Rat, Singe WB, ELISA, IF Hôte: Lapin Polyclonal unconjugated
N° du produit ABIN3182415
377,51 €
Plus frais de livraison 40,00 € et TVA
100 μL (Autres quantités disponibles)
Destination: France
Envoi sous 8 à 10 jours ouvrables
 
CRK Reactivité: Humain DB Hôte: Lapin Polyclonal RB17175 unconjugated
N° du produit ABIN389702
434,77 €
Plus frais de livraison 40,00 € et TVA
400 μL (Autres quantités disponibles)
Destination: France
Envoi sous 14 à 17 jours ouvrables
 
CRK Reactivité: Humain, Souris, Rat, Singe WB, ELISA, IF, IHC Hôte: Lapin Polyclonal unconjugated
N° du produit ABIN3184088
377,51 €
Plus frais de livraison 40,00 € et TVA
100 μL (Autres quantités disponibles)
Destination: France
Envoi sous 8 à 10 jours ouvrables
 
CRK Reactivité: Humain DB Hôte: Souris Monoclonal 2210C1a unconjugated
N° du produit ABIN931057
1.593,21 €
Plus frais de livraison 40,00 € et TVA
100 μg
Destination: France
Envoi sous 20 à 27 jours ouvrables
 
CRK Reactivité: Humain WB, ELISA Hôte: Souris Polyclonal unconjugated
N° du produit ABIN560469
508,80 €
Plus frais de livraison 40,00 € et TVA
50 μL
Destination: France
Envoi sous 8 à 9 jours ouvrables
 
CRK Reactivité: Humain, Souris, Rat, Singe, Chien, Boeuf (Vache), Lapin, Cobaye, Cheval, Hamster, Roussette (Chauve-souris), Xenopus laevis WB Hôte: Lapin Polyclonal unconjugated
N° du produit ABIN6748018
789,41 €
Plus frais de livraison 40,00 € et TVA
100 μL
Destination: France
Envoi sous 15 à 20 jours ouvrables
 
  • Type Primary
    • Primary
  • Application
    • Western Blotting (WB)
    • Immunofluorescence (IF)
    • ELISA
    • Immunofluorescence (Cultured Cells) (IF (cc))
    • Immunofluorescence (Paraffin-embedded Sections) (IF (p))
    • Immunocytochemistry (ICC)
    • Immunohistochemistry (Paraffin-embedded Sections) (IHC (p))
    • Dot Blot (DB)
    • Immunohistochemistry (Frozen Sections) (IHC (fro))
    • Immunohistochemistry (IHC)
    • Flow Cytometry (FACS)
    • Immunoprecipitation (IP)
    • Enzyme Immunoassay (EIA)
    • Proximity Ligation Assay (PLA)
    • Immunofluorescence (fixed cells) (IF/ICC)
    • BioImaging (BI)
  • Réactivité
    • Human
    • Mouse
    • Rat
    • Monkey
    • Dog
    • Rabbit
    • Cow
    • Guinea Pig
    • Hamster
    • Horse
    • Bat
    • Chicken
    • Drosophila melanogaster
    • Frog
    • Xenopus laevis
  • Cité dans publications
  • Images disponible
  • Sans conservateur uniquement
  • Carrier free only
  • Hote
    • Rabbit
    • Mouse
  • Clonalité
    • Polyclonal
    • Monoclonal
  • Clone
    • 1D4B
    • 22-Crk
    • 2210C1a
    • 23GB1405
    • 24C53
    • 3G11C1
    • 3G11E8
    • FDE-3
    • M80568
    • RB17175
  • Epitope
    • pTyr221
    • AA 211-304
    • pSer41
    • AA 40-196
    • AA 1-204
    • AA 187-236
    • AA 1-304
    • AA 102-304
    • AA 122-302
    • AA 127-226
    • AA 182-231
    • AA 2-246
    • AA 200-250
    • AA 205-304
    • C-Term
    • Center
    • Ser262
    • Tyr221
  • Conjugué
    • Inconjugué
    • Biotin
    • FITC
    • HRP
    • Alexa Fluor 488
    • Alexa Fluor 555
    • Alexa Fluor 594
    • Alexa Fluor 647
    • Alexa Fluor 680
    • Alexa Fluor 750
    • AbBy Fluor® 350
    • AbBy Fluor® 488
    • AbBy Fluor® 555
    • AbBy Fluor® 594
    • AbBy Fluor® 647
    • AbBy Fluor® 680
    • AbBy Fluor® 750
    • Alexa Fluor 350
    • Alexa Fluor 405
    • Cy3
    • Cy5
    • Cy5.5
    • Cy7
    • APC
    • PE
  • Isotype
    • IgG
    • IgG2b
    • Ig Fraction
    • IgG1
    • IgG2a
  • Type Proteine
    • Recombinant Antibody
  • Format
    • Liquid
    • Lyophilized
  • Grade
    • KD Validated
  • Supplier
    • antibodies-online
    • Signalway
    • Abbexa
    • Acris
    • Boster Bio
    • Assay Biotechnology Company, Inc.
    • Cohesion Biosciences
    • Aviva Systems Biology
    • BD Biosciences
    • Enogene Biotech
    • NSJ Bioreagents

Dernières publications pour nos Crk Anticorps

Liu, Chen, Chau, Jan, Chen, Hsu, Lin, Juang, Lu, Cheng, Chen, Chang, Ting, Kao, Hsiao, Huang: "Analysis of protein-protein interactions in cross-talk pathways reveals CRKL protein as a novel prognostic marker in hepatocellular carcinoma." dans: Molecular & cellular proteomics : MCP, Vol. 12, Issue 5, pp. 1335-49, (2013) (PubMed).

Park, Choi, Choi, Kim, Kang, Jung, Lee, Kim, Freeman, Lee, Gho, Kim: "Identification and characterization of proteins isolated from microvesicles derived from human lung cancer pleural effusions." dans: Proteomics, Vol. 13, Issue 14, pp. 2125-34, (2013) (PubMed).

Watanabe, Tsuda, Tanaka, Ohba, Kawaguchi, Majima, Sawa, Minami: "Adaptor protein Crk induces Src-dependent activation of p38 MAPK in regulation of synovial sarcoma cell proliferation." dans: Molecular cancer research : MCR, Vol. 7, Issue 9, pp. 1582-92, (2009) (PubMed).

Tanaka: "[Biological roles of signaling adaptor protein CRK]." dans: Seikagaku. The Journal of Japanese Biochemical Society, Vol. 81, Issue 5, pp. 361-76, (2009) (PubMed).

Heikkinen, Kazlauskas, Melén, Wagner, Ziegler, Julkunen, Saksela: "Avian and 1918 Spanish influenza a virus NS1 proteins bind to Crk/CrkL Src homology 3 domains to activate host cell signaling." dans: The Journal of biological chemistry, Vol. 283, Issue 9, pp. 5719-27, (2008) (PubMed).

Wang, Tabu, Kimura, Tsuda, Linghu, Tanino, Kaneko, Nishihara, Tanaka: "Signaling adaptor protein Crk is indispensable for malignant feature of glioblastoma cell line KMG4." dans: Biochemical and biophysical research communications, Vol. 362, Issue 4, pp. 976-81, (2007) (PubMed).

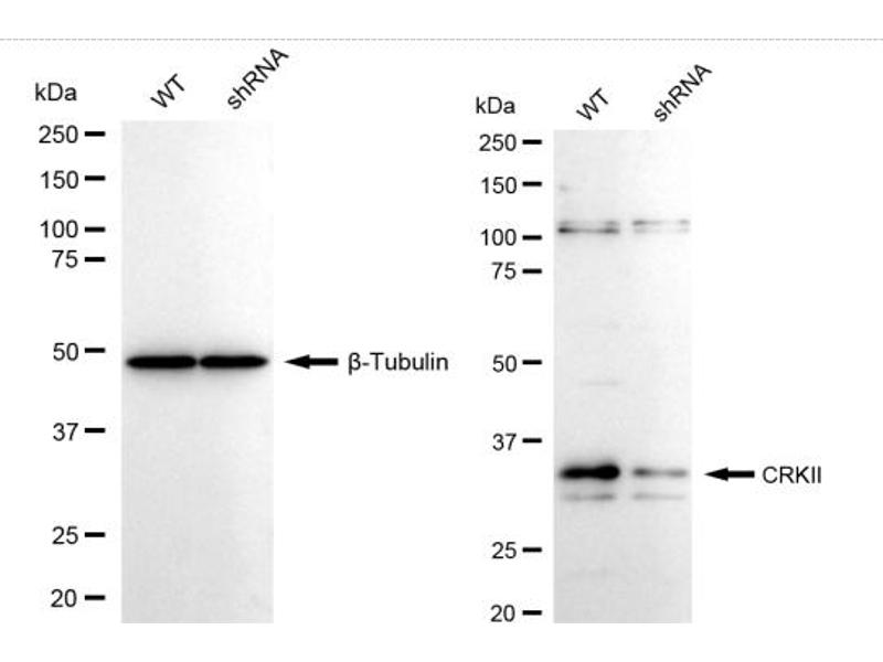
Dokainish, Gavicherla, Shen, Ireton: "The carboxyl-terminal SH3 domain of the mammalian adaptor CrkII promotes internalization of Listeria monocytogenes through activation of host phosphoinositide 3-kinase." dans: Cellular microbiology, Vol. 9, Issue 10, pp. 2497-516, (2007) (PubMed).

Stoletov, Gong, Terman: "Nck and Crk mediate distinct VEGF-induced signaling pathways that serve overlapping functions in focal adhesion turnover and integrin activation." dans: Experimental cell research, Vol. 295, Issue 1, pp. 258-68, (2004) (PubMed).

Bougnères, Girardin, Weed, Karginov, Olivo-Marin, Parsons, Sansonetti, Van Nhieu: "Cortactin and Crk cooperate to trigger actin polymerization during Shigella invasion of epithelial cells." dans: The Journal of cell biology, Vol. 166, Issue 2, pp. 225-35, (2004) (PubMed).

Miller, Chen, Gharib, Wang, Thomas, Misek, Giordano, Yee, Orringer, Hanash, Beer: "Increased C-CRK proto-oncogene expression is associated with an aggressive phenotype in lung adenocarcinomas." dans: Oncogene, Vol. 22, Issue 39, pp. 7950-7, (2003) (PubMed).

Pseudonymes pour Crk Anticorps

Crk oncogene (Crk) Anticorps
v-crk avian sarcoma virus CT10 oncogene homolog (crk) Anticorps
CRK proto-oncogene, adaptor protein (CRK) Anticorps
CRK proto-oncogene, adaptor protein (Crk) Anticorps
v-crk avian sarcoma virus CT10 oncogene homolog L homeolog (crk.L) Anticorps
v-crk sarcoma virus CT10 oncogene homolog (CRK) Anticorps
v-crk avian sarcoma virus CT10 oncogene homolog (Crk) Anticorps
c-Crk Anticorps
CG1587 Anticorps
CRK Anticorps
crk Anticorps
Crk-I Anticorps
Crk-II Anticorps
Crk-III Anticorps
crk2 Anticorps
Crk3 Anticorps
CRKII Anticorps
crkII Anticorps
CrkIII Anticorps
Crko Anticorps
D-CRK Anticorps
D-Crk Anticorps
DCrk Anticorps
Dcrk Anticorps
dCRK Anticorps
dCrk Anticorps
Dmel\\CG1587 Anticorps
fb34h10 Anticorps
fc05a01 Anticorps
fi19g05 Anticorps
p38 Anticorps
P38C-CRK Anticorps
v-crk Anticorps
wu:fb34h10 Anticorps
wu:fc05a01 Anticorps
wu:fc54a04 Anticorps
wu:fi19g05 Anticorps
zgc:100936 Anticorps
Vous êtes ici:
Chat with us!