Tel:
+49 (0)241 95 163 153
Fax:
+49 (0)241 95 163 155
E-Mail:
orders@anticorps-enligne.fr

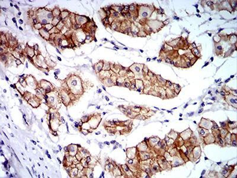
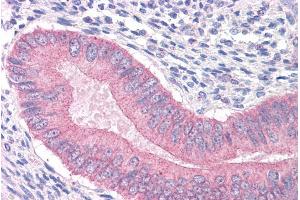
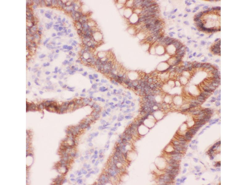
CTNNA1 Anticorps

(Catenin (Cadherin-Associated Protein), alpha 1, 102kDa (CTNNA1))

Choisissez l’un des 95 anticorps CTNNA1 de notre liste de produits basés sur 11 publications et 69 images de validation.

Découvrez des anticorps CTNNA1 fiables issus d’une large sélection de fabricants renommés. Notre portefeuille permet une détection précise de CTNNA1 dans plusieurs espèces, y compris Human, Mouse, Rat, Chicken, Dog, Xenopus laevis, Cow, Horse, Monkey, Rabbit, Zebrafish (Danio rerio), et prend en charge diverses applications de recherche telles que WB, IHC, IF, ELISA, FACS.

Trouvez rapidement l’anticorps adapté grâce à nos outils de recherche, de filtrage et de comparaison. Chaque page produit fournit des données de validation détaillées, des références bibliographiques et des retours d’utilisateurs. Contrairement aux ressources dédiées uniquement à la comparaison, vous pouvez acheter directement les anticorps sur notre site. Choisissez parmi des anticorps polyclonaux, monoclonaux ou recombinants CTNNA1, issus de différents hôtes tels que Rabbit, Mouse, Goat. Parcourez nos produits ci-dessous et commandez directement pour soutenir vos recherches en toute confiance.

Les noms alternatifs de CTNNA1 sont CTNNA1, Ctnna1, alpha-Cat, Dgri\alpha-Cat, Tsp_10127, ctnna1, ctnna1.S.

95 Résultats

CTNNA1 Reactivité: Humain WB, IHC, IP Hôte: Lapin Polyclonal unconjugated
N° du produit ABIN6139202
385,00 €
Plus frais de livraison 40,00 € et TVA
100 μL (Autres quantités disponibles)
Destination: France
Envoi sous 8 à 10 jours ouvrables
 
CTNNA1 Reactivité: Humain, Souris, Rat WB, IHC, ELISA, IF, ICC Hôte: Lapin Polyclonal unconjugated
N° du produit ABIN6260492
525,71 €
Plus frais de livraison 40,00 € et TVA
100 μL (Autres quantités disponibles)
Destination: France
Envoi sous 9 à 11 jours ouvrables
 
CTNNA1 Reactivité: Humain, Souris, Rat WB, IHC, IF, FACS, ICC, IHC (fro) Hôte: Lapin Polyclonal unconjugated
Pubmed 2 références
N° du produit ABIN3043818
500,50 €
Plus frais de livraison 40,00 € et TVA
100 μg
Destination: France
Envoi sous 8 à 12 jours ouvrables
 
Verified CTNNA1 Reactivité: Humain WB, IHC, ELISA Hôte: Chèvre Polyclonal unconjugated
N° du produit ABIN185626
488,25 €
Plus frais de livraison 40,00 € et TVA
100 μg
Destination: France
Envoi sous 5 à 8 jours ouvrables
 
CTNNA1 Reactivité: Humain IHC, ELISA Hôte: Souris Monoclonal 8B6C1 unconjugated
N° du produit ABIN5542501
498,33 €
Plus frais de livraison 40,00 € et TVA
100 μL
Destination: France
Envoi sous 7 à 10 jours ouvrables
 
CTNNA1 Reactivité: Humain, Souris WB, FACS, IHC (p) Hôte: Lapin Polyclonal RB19486 unconjugated
N° du produit ABIN390505
434,77 €
Plus frais de livraison 40,00 € et TVA
400 μL (Autres quantités disponibles)
Destination: France
Envoi sous 14 à 17 jours ouvrables
 
CTNNA1 Reactivité: Humain WB, IHC, IF, ICC Hôte: Lapin Polyclonal unconjugated
N° du produit ABIN7440782
310,62 €
Plus frais de livraison 40,00 € et TVA
100 μL (Autres quantités disponibles)
Destination: France
Envoi sous 11 à 15 jours ouvrables
 
CTNNA1 Reactivité: Humain WB, IHC, ELISA, IF Hôte: Lapin Polyclonal unconjugated
N° du produit ABIN7146972
328,90 €
Plus frais de livraison 40,00 € et TVA
100 μg (Autres quantités disponibles)
Destination: France
Envoi sous 11 à 15 jours ouvrables
 
CTNNA1 Reactivité: Humain WB, ELISA, PLA Hôte: Souris Monoclonal 4G6 unconjugated
N° du produit ABIN514753
651,20 €
Plus frais de livraison 40,00 € et TVA
100 μg
Destination: France
Envoi sous 8 à 9 jours ouvrables
 
KD Validated CTNNA1 Reactivité: Humain WB, FACS Hôte: Lapin Monoclonal 23GB3335 unconjugated Recombinant Antibody
N° du produit ABIN7797923
598,92 €
Plus frais de livraison 40,00 € et TVA
100 μL
Destination: France
Envoi sous 7 à 10 jours ouvrables
 
CTNNA1 Reactivité: Humain, Souris, Rat, Chien, Poulet WB, IF, IP Hôte: Souris Monoclonal 5-a unconjugated
Pubmed 5 références
N° du produit ABIN967813
297,28 €
Plus frais de livraison 40,00 € et TVA
150 μg
Destination: France
Envoi sous 12 à 15 jours ouvrables
 
CTNNA1 Reactivité: Humain, Souris WB, IHC, ELISA Hôte: Lapin Polyclonal unconjugated
N° du produit ABIN7234862
449,00 €
Plus frais de livraison 40,00 € et TVA
200 μL (Autres quantités disponibles)
Destination: France
Envoi sous 9 à 13 jours ouvrables
 
CTNNA1 Reactivité: Humain WB, ELISA Hôte: Lapin Polyclonal unconjugated
N° du produit ABIN7138670
396,00 €
Plus frais de livraison 40,00 € et TVA
100 μL
Destination: France
Envoi sous 11 à 15 jours ouvrables
 
CTNNA1 Reactivité: Humain WB, IF, FACS Hôte: Souris Monoclonal 1G5 unconjugated
N° du produit ABIN6939199
639,45 €
Plus frais de livraison 40,00 € et TVA
100 μg (Autres quantités disponibles)
Destination: France
Envoi sous 6 à 10 jours ouvrables
 
CTNNA1 Reactivité: Humain, Souris, Rat, Chien, Poulet WB, IHC, IF, IP Hôte: Souris Monoclonal 5-a unconjugated
Pubmed 4 références
N° du produit ABIN967812
164,17 €
Plus frais de livraison 40,00 € et TVA
50 μg
Destination: France
Envoi sous 12 à 15 jours ouvrables
 
CTNNA1 Reactivité: Humain, Souris, Rat WB, IHC, FACS Hôte: Souris Monoclonal 10I2 unconjugated
N° du produit ABIN7600057
500,50 €
Plus frais de livraison 40,00 € et TVA
100 μg
Destination: France
Envoi sous 8 à 12 jours ouvrables
 
CTNNA1 Reactivité: Rat ELISA, IHC (p), IHC (fro), IF (cc), IF (p) Hôte: Lapin Polyclonal unconjugated
N° du produit ABIN731813
357,70 €
Plus frais de livraison 40,00 € et TVA
100 μL
Destination: France
Envoi sous 8 à 12 jours ouvrables
 
CTNNA1 Reactivité: Humain WB, IHC, ELISA, IF Hôte: Lapin Polyclonal unconjugated
N° du produit ABIN7184672
218,90 €
Plus frais de livraison 40,00 € et TVA
100 μg (Autres quantités disponibles)
Destination: France
Envoi sous 11 à 15 jours ouvrables
 
CTNNA1 Reactivité: Humain, Souris WB, IHC, FACS, IHC (p) Hôte: Lapin Polyclonal unconjugated
N° du produit ABIN2740169
512,07 €
Plus frais de livraison 40,00 € et TVA
200 μL
Destination: France
Envoi sous 15 à 20 jours ouvrables
 
CTNNA1 Reactivité: Humain, Souris WB, ELISA Hôte: Lapin Polyclonal unconjugated
N° du produit ABIN6256395
525,71 €
Plus frais de livraison 40,00 € et TVA
100 μL (Autres quantités disponibles)
Destination: France
Envoi sous 9 à 11 jours ouvrables
 
  • Type Primary
    • Primary
  • Application
    • Western Blotting (WB)
    • Immunohistochemistry (IHC)
    • Immunofluorescence (IF)
    • ELISA
    • Flow Cytometry (FACS)
    • Immunoprecipitation (IP)
    • Immunocytochemistry (ICC)
    • Immunohistochemistry (Paraffin-embedded Sections) (IHC (p))
    • Immunohistochemistry (Frozen Sections) (IHC (fro))
    • Enzyme Immunoassay (EIA)
    • Immunofluorescence (Cultured Cells) (IF (cc))
    • Immunofluorescence (Paraffin-embedded Sections) (IF (p))
    • Proximity Ligation Assay (PLA)
  • Réactivité
    • Human
    • Mouse
    • Rat
    • Chicken
    • Dog
    • Xenopus laevis
    • Cow
    • Horse
    • Monkey
    • Rabbit
    • Zebrafish (Danio rerio)
  • Cité dans publications
  • Images disponible
  • Sans conservateur uniquement
  • Carrier free only
  • Hote
    • Rabbit
    • Mouse
    • Goat
  • Clonalité
    • Polyclonal
    • Monoclonal
    • Chimeric
  • Clone
    • 1G5
    • 5-a
    • 0A11
    • 10I2
    • 15D9
    • 23GB3335
    • 3D10
    • 4G6
    • 7A4
    • 892_24D2S
    • 8B6C1
    • FBO-3
    • R07-7D5
    • RB19486
  • Epitope
    • pSer641
    • C-Term
    • N-Term
    • AA 1-278
    • AA 1-288
    • AA 143-292
    • AA 2-228
    • AA 30-59
    • AA 729-906
    • Ser641
    • AA 152-250
    • AA 164-177
    • AA 200-536
    • AA 371-574
    • AA 607-656
    • AA 637-906
    • AA 639-643
    • AA 666-846
    • AA 801-906
    • AA 857-906
    • Internal Region
    • Ser284
    • pSer655
    • pThr658
  • Conjugué
    • Inconjugué
    • Biotin
    • Alexa Fluor 488
    • Alexa Fluor 555
    • Alexa Fluor 594
    • Alexa Fluor 647
    • Alexa Fluor 680
    • Alexa Fluor 750
    • FITC
    • HRP
    • Alexa Fluor 350
    • Alexa Fluor 405
    • CF®405S
    • CF®488A
    • CF®568
    • CF®594
    • CF®640R
    • CF®647
    • CF®740
  • Isotype
    • IgG
    • IgG1
    • IgG1 kappa
    • Ig Fraction
    • IgG kappa
    • IgG2a
  • Type Proteine
    • Recombinant Antibody
  • Format
    • Liquid
    • Lyophilized
  • Grade
    • KD Validated
    • Verified
  • Supplier
    • antibodies-online
    • Signalway
    • Biotium
    • Abbexa
    • Acris
    • Boster Bio
    • Assay Biotechnology Company, Inc.
    • BD Biosciences
    • USBio
    • Biomatik
    • Biospes
    • ProteoGenix
    • Wuhan Fine biotech

Dernières publications pour nos CTNNA1 Anticorps

Ren, Qiu, Lü, Ru, Li, Xiang, Yu, Zhang: "TALENs-directed knockout of the full-length transcription factor Nrf1α that represses malignant behaviour of human hepatocellular carcinoma (HepG2) cells." dans: Scientific reports, Vol. 6, pp. 23775, (2017) (PubMed).

Bajpai, Feng, Krishnamurthy, Longmore, Wirtz: "Loss of alpha-catenin decreases the strength of single E-cadherin bonds between human cancer cells." dans: The Journal of biological chemistry, Vol. 284, Issue 27, pp. 18252-9, (2009) (PubMed).

Yamada, Pokutta, Drees, Weis, Nelson: "Deconstructing the cadherin-catenin-actin complex." dans: Cell, Vol. 123, Issue 5, pp. 889-901, (2005) (PubMed).

Drees, Pokutta, Yamada, Nelson, Weis: "Alpha-catenin is a molecular switch that binds E-cadherin-beta-catenin and regulates actin-filament assembly." dans: Cell, Vol. 123, Issue 5, pp. 903-15, (2005) (PubMed).

Hwang, Yu, Ryu, Jeon, Yoo, Eom, Chun: "Regulation of beta-catenin signaling and maintenance of chondrocyte differentiation by ubiquitin-independent proteasomal degradation of alpha-catenin." dans: The Journal of biological chemistry, Vol. 280, Issue 13, pp. 12758-65, (2005) (PubMed).

Lynch, Grady, Suriano, Huntsman: "Gastric cancer: new genetic developments." dans: Journal of surgical oncology, Vol. 90, Issue 3, pp. 114-33; discussion 133, (2005) (PubMed).

Lin, Wu, Li, Wu, Zheng: "Prognostic and clinicopathological features of E-cadherin, alpha-catenin, beta-catenin, gamma-catenin and cyclin D1 expression in human esophageal squamous cell carcinoma." dans: World journal of gastroenterology, Vol. 10, Issue 22, pp. 3235-9, (2005) (PubMed).

Katafiasz, Nieman, Wheelock, Johnson: "Characterization of cadherin-24, a novel alternatively spliced type II cadherin." dans: The Journal of biological chemistry, Vol. 278, Issue 30, pp. 27513-9, (2003) (PubMed).

Baki, Marambaud, Efthimiopoulos, Georgakopoulos, Wen, Cui, Shioi, Koo, Ozawa, Friedrich, Robakis: "Presenilin-1 binds cytoplasmic epithelial cadherin, inhibits cadherin/p120 association, and regulates stability and function of the cadherin/catenin adhesion complex." dans: Proceedings of the National Academy of Sciences of the United States of America, Vol. 98, Issue 5, pp. 2381-6, (2001) (PubMed).

Giannini, Vivanco, Kypta: "alpha-catenin inhibits beta-catenin signaling by preventing formation of a beta-catenin*T-cell factor*DNA complex." dans: The Journal of biological chemistry, Vol. 275, Issue 29, pp. 21883-8, (2000) (PubMed).

Pseudonymes pour CTNNA1 Anticorps

catenin alpha 1 (CTNNA1) Anticorps
catenin (cadherin associated protein), alpha 1 (Ctnna1) Anticorps
catenin alpha 1 (Ctnna1) Anticorps
alpha Catenin (alpha-Cat) Anticorps
alpha Catenin (Dgri\alpha-Cat) Anticorps
catenin alpha-1 (Tsp_10127) Anticorps
catenin (cadherin-associated protein), alpha 1 (ctnna1) Anticorps
catenin alpha 1 S homeolog (ctnna1.S) Anticorps
2010010M04Rik Anticorps
a-Cat Anticorps
a-cat Anticorps
AA517462 Anticorps
AI988031 Anticorps
alpha-CAT Anticorps
alpha-cat Anticorps
Alpha-Cat Anticorps
alpha-catenin Anticorps
alpha-ctn Anticorps
alphaCAT Anticorps
alphaCat Anticorps
alphacat Anticorps
CAP102 Anticorps
cap102 Anticorps
Catna1 Anticorps
catna1 Anticorps
CG17947 Anticorps
CT39986 Anticorps
ctnna Anticorps
ctnna1 Anticorps
Dalpha-Cat Anticorps
Dalpha-cat Anticorps
DalphaC Anticorps
Dalphacat Anticorps
DgriGH19548 Anticorps
dgri_GLEANR_3829 Anticorps
Dmcatp Anticorps
Dmel\\CG17947 Anticorps
GH19548 Anticorps
Vous êtes ici:
Chat with us!