Tel:
+49 (0)241 95 163 153
Fax:
+49 (0)241 95 163 155
E-Mail:
orders@anticorps-enligne.fr

GLUT4 Anticorps

(Solute Carrier Family 2 (Facilitated Glucose Transporter), Member 4 (SLC2A4))

Choisissez l’un des 81 anticorps GLUT4 de notre liste de produits basés sur 12 publications et 67 images de validation.

Découvrez des anticorps GLUT4 fiables issus d’une large sélection de fabricants renommés. Notre portefeuille permet une détection précise de GLUT4 dans plusieurs espèces, y compris Human, Mouse, Rat, Rabbit, Pig, Goat, Cow, Dog, Horse, Monkey, Guinea Pig, Bat, Sheep, Zebrafish (Danio rerio), et prend en charge diverses applications de recherche telles que WB, IHC, ELISA, IP, IF.

Trouvez rapidement l’anticorps adapté grâce à nos outils de recherche, de filtrage et de comparaison. Chaque page produit fournit des données de validation détaillées, des références bibliographiques et des retours d’utilisateurs. Contrairement aux ressources dédiées uniquement à la comparaison, vous pouvez acheter directement les anticorps sur notre site. Choisissez parmi des anticorps polyclonaux, monoclonaux ou recombinants GLUT4, issus de différents hôtes tels que Rabbit, Mouse, Goat. Parcourez nos produits ci-dessous et commandez directement pour soutenir vos recherches en toute confiance.

Les noms alternatifs de GLUT4 sont SLC2A4, Slc2a4, GLUT4, slc2a4.L.

81 Résultats

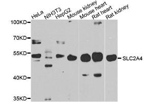
SLC2A4 Reactivité: Humain, Souris WB, IHC, ELISA, ICC, FACS Hôte: Souris Monoclonal 3G10A3 unconjugated
Pubmed 1 reference
N° du produit ABIN1724743
657,84 €
Plus frais de livraison 40,00 € et TVA
100 μL
Destination: France
Envoi sous 7 à 10 jours ouvrables
 
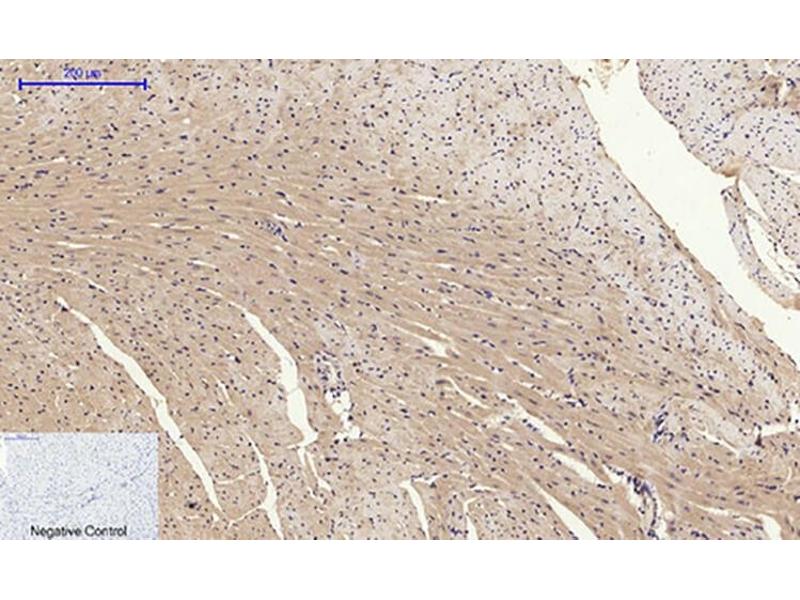
SLC2A4 Reactivité: Humain, Souris, Rat WB, IHC Hôte: Lapin Polyclonal unconjugated
Pubmed 4 références
N° du produit ABIN3043929
500,50 €
Plus frais de livraison 40,00 € et TVA
100 μg
Destination: France
Envoi sous 8 à 12 jours ouvrables
 
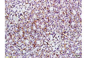
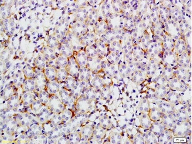
SLC2A4 Reactivité: Humain, Souris, Rat, Porc, Chévre, Mouton WB, ELISA, IHC (p), IHC (fro), FACS, IF (cc), IF (p) Hôte: Lapin Polyclonal unconjugated
Pubmed 2 références
N° du produit ABIN739445
357,70 €
Plus frais de livraison 40,00 € et TVA
100 μL
Destination: France
Envoi sous 8 à 12 jours ouvrables
 
SLC2A4 Reactivité: Humain, Souris WB, IHC, ELISA, FACS, IF/ICC Hôte: Souris Monoclonal unconjugated
N° du produit ABIN1846354
620,49 €
Plus frais de livraison 40,00 € et TVA
100 μL
Destination: France
Envoi sous 7 à 13 jours ouvrables
 
SLC2A4 Reactivité: Humain WB, IHC, ELISA, IF Hôte: Lapin Polyclonal unconjugated
N° du produit ABIN7170123
328,90 €
Plus frais de livraison 40,00 € et TVA
100 μg (Autres quantités disponibles)
Destination: France
Envoi sous 11 à 15 jours ouvrables
 
SLC2A4 Reactivité: Humain, Souris, Rat, Lapin, Boeuf (Vache), Chévre, Cheval, Chien, Cobaye, Poisson zèbre (Danio rerio) WB Hôte: Lapin Polyclonal unconjugated
N° du produit ABIN2781558
534,11 €
Plus frais de livraison 40,00 € et TVA
100 μL (Autres quantités disponibles)
Destination: France
Envoi sous 6 à 9 jours ouvrables
 
SLC2A4 Reactivité: Humain, Souris, Rat WB, ELISA, IHC (p) Hôte: Lapin Polyclonal unconjugated
N° du produit ABIN7209715
613,62 €
Plus frais de livraison 40,00 € et TVA
100 μL
Destination: France
Envoi sous 10 à 14 jours ouvrables
 
SLC2A4 Reactivité: Humain WB, IHC, IP, ICC Hôte: Lapin Polyclonal unconjugated
N° du produit ABIN7434539
310,62 €
Plus frais de livraison 40,00 € et TVA
100 μL (Autres quantités disponibles)
Destination: France
Envoi sous 11 à 15 jours ouvrables
 
Verified SLC2A4 Reactivité: Humain, Souris WB, IHC, ELISA Hôte: Chèvre Polyclonal unconjugated
N° du produit ABIN571189
488,25 €
Plus frais de livraison 40,00 € et TVA
100 μg
Destination: France
Envoi sous 5 à 8 jours ouvrables
 
SLC2A4 Reactivité: Humain WB, ELISA Hôte: Souris Monoclonal 2A4 unconjugated
N° du produit ABIN520227
651,20 €
Plus frais de livraison 40,00 € et TVA
100 μg
Destination: France
Envoi sous 8 à 9 jours ouvrables
 
SLC2A4 Reactivité: Humain WB, ELISA Hôte: Souris Monoclonal 4A1 unconjugated
N° du produit ABIN520232
651,20 €
Plus frais de livraison 40,00 € et TVA
100 μg
Destination: France
Envoi sous 8 à 9 jours ouvrables
 
SLC2A4 Reactivité: Humain, Souris, Rat WB, IHC (p) Hôte: Lapin Polyclonal unconjugated
N° du produit ABIN3032677
644,88 €
Plus frais de livraison 40,00 € et TVA
100 μg
Destination: France
Envoi sous 6 à 9 jours ouvrables
 
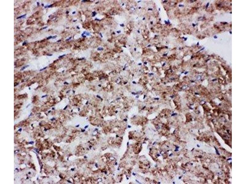
SLC2A4 Reactivité: Humain, Souris, Rat, Porc WB, IHC, IHC (p) Hôte: Lapin Polyclonal unconjugated
Pubmed 2 références
N° du produit ABIN1742482
415,38 €
Plus frais de livraison 40,00 € et TVA
50 μg
Destination: France
Envoi sous 2 à 3 jours ouvrables
 
SLC2A4 Reactivité: Humain, Souris, Rat WB, IHC Hôte: Lapin Polyclonal unconjugated
Pubmed 2 références
N° du produit ABIN3044282
500,50 €
Plus frais de livraison 40,00 € et TVA
100 μg
Destination: France
Envoi sous 8 à 12 jours ouvrables
 
SLC2A4 Reactivité: Humain WB Hôte: Lapin Polyclonal RB43833 unconjugated
N° du produit ABIN6242875
434,77 €
Plus frais de livraison 40,00 € et TVA
400 μL (Autres quantités disponibles)
Destination: France
Envoi sous 14 à 17 jours ouvrables
 
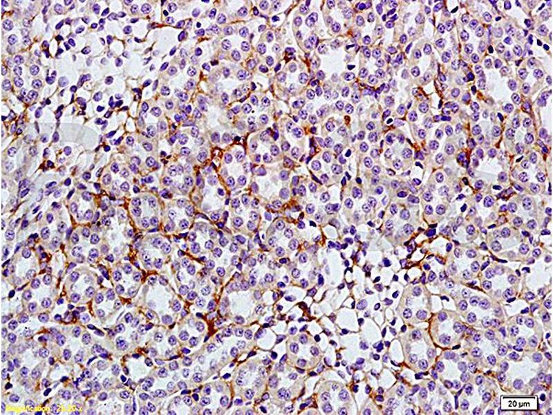
SLC2A4 Reactivité: Humain, Souris, Rat, Lapin, Porc, Singe WB, IP, IF, IHC (p), IHC (fro) Hôte: Souris Monoclonal 1F8 unconjugated
Pubmed 1 reference
N° du produit ABIN2473819
281,08 €
Plus frais de livraison 40,00 € et TVA
50 μg (Autres quantités disponibles)
Destination: France
Envoi sous 4 à 5 jours ouvrables
 
SLC2A4 Reactivité: Humain WB, ELISA Hôte: Lapin Polyclonal unconjugated
N° du produit ABIN7188776
218,90 €
Plus frais de livraison 40,00 € et TVA
100 μg (Autres quantités disponibles)
Destination: France
Envoi sous 11 à 15 jours ouvrables
 
SLC2A4 Reactivité: Humain, Lapin, Porc, Singe, Boeuf (Vache), Chévre, Cheval, Chien, Cobaye, Roussette (Chauve-souris) WB Hôte: Lapin Polyclonal unconjugated
N° du produit ABIN6743204
789,41 €
Plus frais de livraison 40,00 € et TVA
100 μL
Destination: France
Envoi sous 15 à 20 jours ouvrables
 
SLC2A4 Reactivité: Humain WB, IHC, IF Hôte: Lapin Polyclonal unconjugated
N° du produit ABIN7043700
854,77 €
Plus frais de livraison 40,00 € et TVA
25 μL (Autres quantités disponibles)
Destination: France
Envoi sous 8 à 9 jours ouvrables
 
SLC2A4 Reactivité: Humain, Souris, Rat, Lapin WB, IHC Hôte: Lapin Polyclonal unconjugated
N° du produit ABIN7299452
330,77 €
Plus frais de livraison 40,00 € et TVA
100 μL (Autres quantités disponibles)
Destination: France
Envoi sous 17 à 20 jours ouvrables
 
  • Type Primary
    • Primary
  • Application
    • Western Blotting (WB)
    • Immunohistochemistry (IHC)
    • ELISA
    • Immunoprecipitation (IP)
    • Immunofluorescence (IF)
    • Immunocytochemistry (ICC)
    • Flow Cytometry (FACS)
    • Immunohistochemistry (Paraffin-embedded Sections) (IHC (p))
    • Confocal Microscopy (CM)
    • Immunohistochemistry (Frozen Sections) (IHC (fro))
    • Immunofluorescence (fixed cells) (IF/ICC)
    • Immunochromatography (IC)
    • Immunofluorescence (Cultured Cells) (IF (cc))
    • Immunofluorescence (Paraffin-embedded Sections) (IF (p))
  • Réactivité
    • Human
    • Mouse
    • Rat
    • Rabbit
    • Pig
    • Goat
    • Cow
    • Dog
    • Horse
    • Monkey
    • Guinea Pig
    • Bat
    • Sheep
    • Zebrafish (Danio rerio)
  • Cité dans publications
  • Images disponible
  • Carrier free only
  • Hote
    • Rabbit
    • Mouse
    • Goat
  • Clonalité
    • Polyclonal
    • Monoclonal
  • Clone
    • 3G10A3
    • 11C104
    • 14i236
    • 1F12
    • 1F8
    • 2A4
    • 32S34
    • 4A1
    • 4G1
    • ABS0920
    • RB43833
  • Epitope
    • AA 223-287
    • C-Term
    • N-Term
    • AA 224-353
    • AA 1-50
    • AA 228-292
    • AA 467-509
    • AA 491-509
    • AA 495-507
    • AA 495-529
    • Intracellular
    • AA 21-70
    • AA 222-271
    • AA 223-278
    • AA 333-509
    • AA 36-85
    • AA 401-509
    • AA 467-510
    • AA 480-509
    • AA 495-509
    • AA 501-505
    • Arg271
    • Center
    • Internal Region
    • pSer488
  • Conjugué
    • Inconjugué
    • Alexa Fluor 488
    • Alexa Fluor 555
    • Alexa Fluor 594
    • Alexa Fluor 647
    • Alexa Fluor 680
    • Alexa Fluor 750
    • Biotin
    • FITC
    • HRP
    • Atto 594
    • Magnetic Particles
    • Sepharose
  • Isotype
    • IgG
    • IgG2b
    • IgG1
    • IgG2a
    • Ig Fraction
    • IgG2a kappa
    • kappa
  • Format
    • Liquid
    • Lyophilized
  • Grade
    • Verified
  • Supplier
    • antibodies-online
    • Signalway
    • USBio
    • Abbexa
    • Boster Bio
    • FabGennix
    • Alomone Labs
    • Cohesion Biosciences
    • Covalab
    • ProteoGenix
    • Assay Biotechnology Company, Inc.
    • Aviva Systems Biology
    • NSJ Bioreagents
    • ProSci
    • Synaptic Systems

Dernières publications pour nos GLUT4 Anticorps

Muñoz, Gaspar, Minuzzi, Dos Santos Canciglieri, da Silva, de Moura, Cintra, Ropelle, Pauli: "Rho-kinase activity is upregulated in the skeletal muscle of aged exercised rats." dans: Experimental gerontology, Vol. 128, pp. 110746, (2019) (PubMed).

Marinozzi, Pandolfi, Malatesta, Colombo, Collico, Lievens, Tambalo, Lasconi, Vurro, Boschi, Mannucci, Sbarbati, Prosperi, Calderan: "Innovative approach to safely induce controlled lipolysis by superparamagnetic iron oxide nanoparticles-mediated hyperthermic treatment." dans: The international journal of biochemistry & cell biology, Vol. 93, pp. 62-73, (2018) (PubMed).

Wei, An, Jin, Li, Xu: "Inhibition of insulin resistance by PGE1 via autophagy-dependent FGF21 pathway in diabetic nephropathy." dans: Scientific reports, Vol. 8, Issue 1, pp. 9, (2018) (PubMed).

Li, Zhao, Qi, Wang, Zhang, Li, Qin: "lncRNA Ftx promotes aerobic glycolysis and tumor progression through the PPARγ pathway in hepatocellular carcinoma." dans: International journal of oncology, Vol. 53, Issue 2, pp. 551-566, (2018) (PubMed).

Zang, Fan, Chen, Huang, Qin: "Improvement of Lipid and Glucose Metabolism by Capsiate in Palmitic Acid-Treated HepG2 Cells via Activation of the AMPK/SIRT1 Signaling Pathway." dans: Journal of agricultural and food chemistry, Vol. 66, Issue 26, pp. 6772-6781, (2018) (PubMed).

Sikder, Shukla, Patel, Singh, Rafiq: "High Fat Diet Upregulates Fatty Acid Oxidation and Ketogenesis via Intervention of PPAR-γ." dans: Cellular physiology and biochemistry : international journal of experimental cellular physiology, biochemistry, and pharmacology, Vol. 48, Issue 3, pp. 1317-1331, (2018) (PubMed).

Molina, Moriarty, Infield, Imhoff, Vance, Kim, Hansen, Hunt, Koval, McCarty: "Insulin signaling via the PI3-kinase/Akt pathway regulates airway glucose uptake and barrier function in a CFTR-dependent manner." dans: American journal of physiology. Lung cellular and molecular physiology, Vol. 312, Issue 5, pp. L688-L702, (2017) (PubMed).

Huang, Beiting, Gebreselassie, Gagliardo, Ruyechan, Lee, Lee, Appleton: "Eosinophils and IL-4 Support Nematode Growth Coincident with an Innate Response to Tissue Injury." dans: PLoS pathogens, Vol. 11, Issue 12, pp. e1005347, (2016) (PubMed).

Albert, Svensson, Shimobayashi, Colombi, Muñoz, Jimenez, Handschin, Bosch, Hall: "mTORC2 sustains thermogenesis via Akt-induced glucose uptake and glycolysis in brown adipose tissue." dans: EMBO molecular medicine, Vol. 8, Issue 3, pp. 232-46, (2016) (PubMed).

Zhang, Yang, Ren, Qiao, He, Li, Zeng et al.: "Effects of isoleucine on glucose uptake through the enhancement of muscular membrane concentrations of GLUT1 and GLUT4 and intestinal membrane concentrations of Na+/glucose co-transporter 1 (SGLT-1) ..." dans: The British journal of nutrition, Vol. 116, Issue 4, pp. 593-602, (2016) (PubMed).

Pseudonymes pour GLUT4 Anticorps

solute carrier family 2 member 4 (SLC2A4) Anticorps
solute carrier family 2 (facilitated glucose transporter), member 4 (Slc2a4) Anticorps
solute carrier family 2 (facilitated glucose transporter), member 4 (GLUT4) Anticorps
solute carrier family 2 (facilitated glucose transporter), member 4 L homeolog (slc2a4.L) Anticorps
solute carrier family 2 (facilitated glucose transporter), member 4 (SLC2A4) Anticorps
solute carrier family 2 member 4 (Slc2a4) Anticorps
Glut-4 Anticorps
GLUT4 Anticorps
Glut4 Anticorps
glut4 Anticorps
slc2a4 Anticorps
SLC2A4 Anticorps
Vous êtes ici:
Chat with us!