Tel:
+49 (0)241 95 163 153
Fax:
+49 (0)241 95 163 155
E-Mail:
orders@anticorps-enligne.fr

Glucagon Receptor Anticorps

(Glucagon Receptor (GCGR))

Choisissez l’un des 71 anticorps Glucagon Receptor de notre liste de produits basés sur 1 publication et 22 images de validation.

Découvrez des anticorps Glucagon Receptor fiables issus d’une large sélection de fabricants renommés. Notre portefeuille permet une détection précise de Glucagon Receptor dans plusieurs espèces, y compris Human, Mouse, Rat, Cow, Dog, Chicken, Guinea Pig, Monkey, Pig, Hamster, Horse, et prend en charge diverses applications de recherche telles que WB, ELISA, FACS, IF (cc), IF (p).

Trouvez rapidement l’anticorps adapté grâce à nos outils de recherche, de filtrage et de comparaison. Chaque page produit fournit des données de validation détaillées, des références bibliographiques et des retours d’utilisateurs. Contrairement aux ressources dédiées uniquement à la comparaison, vous pouvez acheter directement les anticorps sur notre site. Choisissez parmi des anticorps polyclonaux, monoclonaux ou recombinants Glucagon Receptor, issus de différents hôtes tels que Rabbit, Human, Rat. Parcourez nos produits ci-dessous et commandez directement pour soutenir vos recherches en toute confiance.

Les noms alternatifs de Glucagon Receptor sont GCGR, Gcgr.

71 Résultats

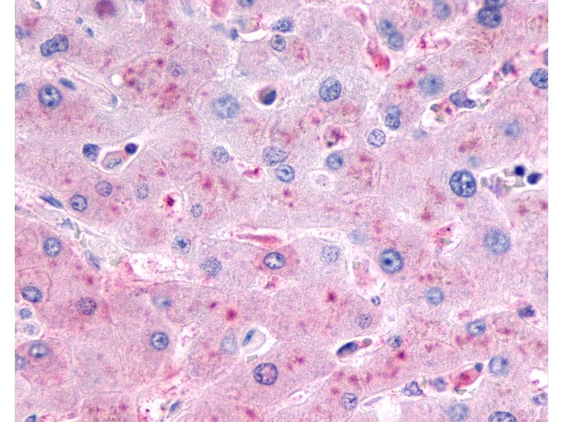
GCGR Reactivité: Humain, Souris, Rat WB, ELISA, FACS, IHC (p), IF (cc), IF (p), IHC (fro) Hôte: Lapin Polyclonal unconjugated
Pubmed 1 reference
N° du produit ABIN751528
357,70 €
Plus frais de livraison 40,00 € et TVA
100 μL
Destination: France
Envoi sous 8 à 12 jours ouvrables
 
GCGR Reactivité: Humain WB, ELISA, IHC, IF Hôte: Lapin Polyclonal unconjugated
N° du produit ABIN7153869
328,90 €
Plus frais de livraison 40,00 € et TVA
100 μg (Autres quantités disponibles)
Destination: France
Envoi sous 11 à 15 jours ouvrables
 
GCGR Reactivité: Humain WB, IF Hôte: Lapin Polyclonal unconjugated
N° du produit ABIN7267394
320,00 €
Plus frais de livraison 40,00 € et TVA
100 μL (Autres quantités disponibles)
Destination: France
Envoi sous 8 à 10 jours ouvrables
 
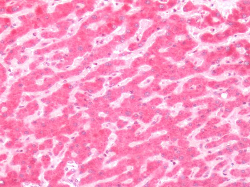
GCGR Reactivité: Humain, Boeuf (Vache), Singe, Chien, Hamster, Cheval IHC, IHC (p) Hôte: Lapin Polyclonal unconjugated
N° du produit ABIN1048671
534,81 €
Plus frais de livraison 40,00 € et TVA
50 μg
Destination: France
Envoi sous 15 à 20 jours ouvrables
 
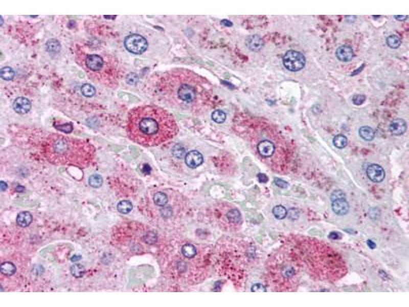
GCGR Reactivité: Humain, Souris, Rat WB, ELISA, IF, ICC Hôte: Lapin Polyclonal unconjugated
N° du produit ABIN6258919
525,71 €
Plus frais de livraison 40,00 € et TVA
100 μL (Autres quantités disponibles)
Destination: France
Envoi sous 9 à 11 jours ouvrables
 
GCGR Reactivité: Humain IF, BR Hôte: Souris Monoclonal hGR-2 F6 unconjugated Recombinant Antibody
N° du produit ABIN7072307
624,00 €
Plus frais de livraison 40,00 € et TVA
200 μg
Destination: France
Envoi sous 4 à 8 jours ouvrables
 
GCGR Reactivité: Humain, Singe IHC, IHC (p) Hôte: Lapin Polyclonal unconjugated
N° du produit ABIN2450597
534,81 €
Plus frais de livraison 40,00 € et TVA
50 μg
Destination: France
Envoi sous 15 à 20 jours ouvrables
 
GCGR Reactivité: Humain, Singe IHC, IHC (p) Hôte: Lapin Polyclonal unconjugated
N° du produit ABIN1048670
534,81 €
Plus frais de livraison 40,00 € et TVA
50 μg
Destination: France
Envoi sous 15 à 20 jours ouvrables
 
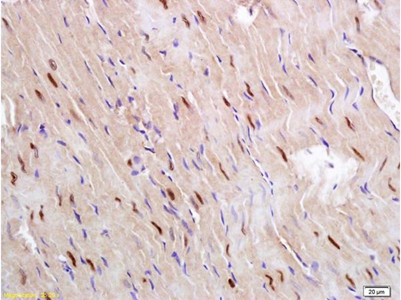
GCGR Reactivité: Rat WB, IHC, IF Hôte: Lapin Polyclonal unconjugated
N° du produit ABIN7043218
854,77 €
Plus frais de livraison 40,00 € et TVA
25 μL (Autres quantités disponibles)
Destination: France
Envoi sous 8 à 9 jours ouvrables
 
GCGR Reactivité: Humain, Souris, Rat WB, FACS, IF (cc), IF (p) Hôte: Lapin Polyclonal AbBy Fluor® 750
N° du produit ABIN5003583
426,37 €
Plus frais de livraison 40,00 € et TVA
100 μL
Destination: France
Envoi sous 20 à 25 jours ouvrables
 
GCGR Reactivité: Humain, Souris, Rat WB, FACS, IF (cc), IF (p) Hôte: Lapin Polyclonal AbBy Fluor® 680
N° du produit ABIN5003582
426,37 €
Plus frais de livraison 40,00 € et TVA
100 μL
Destination: France
Envoi sous 20 à 25 jours ouvrables
 
GCGR Reactivité: Humain WB, IHC, ICC, IP Hôte: Lapin Polyclonal unconjugated
N° du produit ABIN7639425
310,62 €
Plus frais de livraison 40,00 € et TVA
100 μL (Autres quantités disponibles)
Destination: France
Envoi sous 11 à 15 jours ouvrables
 
GCGR Reactivité: Humain WB, IHC, ICC Hôte: Lapin Polyclonal Biotin
N° du produit ABIN7696131
445,11 €
Plus frais de livraison 40,00 € et TVA
200 μL (Autres quantités disponibles)
Destination: France
Envoi sous 11 à 15 jours ouvrables
 
GCGR Reactivité: Humain IF, BP Hôte: Souris Monoclonal hGR-2 F6hGR-2 F6 unconjugated Recombinant Antibody
N° du produit ABIN7541279
1.389,00 €
Plus frais de livraison 40,00 € et TVA
200 μg
Destination: France
Envoi sous 8 à 9 jours ouvrables
 
GCGR Reactivité: Humain, Souris, Rat WB, ELISA, IF Hôte: Lapin Polyclonal unconjugated
N° du produit ABIN7215074
623,62 €
Plus frais de livraison 40,00 € et TVA
100 μL (Autres quantités disponibles)
Destination: France
Envoi sous 10 à 14 jours ouvrables
 
GCGR Reactivité: Humain, Souris ELISA, FACS Hôte: Rat Monoclonal mAb1 unconjugated
N° du produit ABIN7567357
599,57 €
Plus frais de livraison 40,00 € et TVA
100 μg
Destination: France
Envoi sous 10 à 13 jours ouvrables
 
GCGR Reactivité: Humain, Souris, Rat WB, FACS, IF (cc), IF (p) Hôte: Lapin Polyclonal AbBy Fluor® 488
N° du produit ABIN899037
426,37 €
Plus frais de livraison 40,00 € et TVA
100 μL
Destination: France
Envoi sous 20 à 25 jours ouvrables
 
GCGR Reactivité: Humain, Souris, Rat WB, FACS, IF (cc), IF (p) Hôte: Lapin Polyclonal AbBy Fluor® 647
N° du produit ABIN899036
426,37 €
Plus frais de livraison 40,00 € et TVA
100 μL
Destination: France
Envoi sous 20 à 25 jours ouvrables
 
GCGR Reactivité: Humain, Souris, Rat WB, FACS, IF (cc), IF (p) Hôte: Lapin Polyclonal AbBy Fluor® 555
N° du produit ABIN899035
426,37 €
Plus frais de livraison 40,00 € et TVA
100 μL
Destination: France
Envoi sous 20 à 25 jours ouvrables
 
GCGR Reactivité: Humain, Souris, Rat WB, FACS, IF (cc), IF (p) Hôte: Lapin Polyclonal AbBy Fluor® 350
N° du produit ABIN899033
426,37 €
Plus frais de livraison 40,00 € et TVA
100 μL
Destination: France
Envoi sous 20 à 25 jours ouvrables
 
  • Type Primary
    • Primary
  • Application
    • Western Blotting (WB)
    • ELISA
    • Flow Cytometry (FACS)
    • Immunofluorescence (Cultured Cells) (IF (cc))
    • Immunofluorescence (Paraffin-embedded Sections) (IF (p))
    • Immunohistochemistry (IHC)
    • Immunohistochemistry (Paraffin-embedded Sections) (IHC (p))
    • Immunofluorescence (IF)
    • Immunocytochemistry (ICC)
    • Immunohistochemistry (Frozen Sections) (IHC (fro))
    • Immunoprecipitation (IP)
    • Blocking Peptide (BP)
    • Blocking Reagent (BR)
    • Immunochromatography (IC)
    • Immunofluorescence (fixed cells) (IF/ICC)
  • Réactivité
    • Human
    • Mouse
    • Rat
    • Cow
    • Dog
    • Chicken
    • Guinea Pig
    • Monkey
    • Pig
    • Hamster
    • Horse
  • Cité dans publications
  • Images disponible
  • Sans conservateur uniquement
  • Carrier free only
  • Hote
    • Rabbit
    • Human
    • Rat
    • Mouse
  • Clonalité
    • Polyclonal
    • Monoclonal
  • Clone
    • mAb1
    • ABS0736
    • ABS1487
    • 9G1
    • SAA0133
    • hGR-2 F6
    • hGR-2 F6hGR-2 F6
  • Epitope
    • AA 11-110
    • AA 26-136
    • N-Term
    • Extracellular Domain
    • 1st Extracellular Domain
    • AA 1-140
    • AA 200-212
    • AA 26-137
    • AA 70-150
    • C-Term
    • Extracellular
    • Internal Region
    • Lys136
  • Conjugué
    • Inconjugué
    • FITC
    • PE
    • APC
    • Biotin
    • HRP
    • PerCP
    • AbBy Fluor® 350
    • AbBy Fluor® 488
    • AbBy Fluor® 555
    • AbBy Fluor® 594
    • AbBy Fluor® 647
    • AbBy Fluor® 680
    • AbBy Fluor® 750
    • Alexa Fluor 488
    • Alexa Fluor 555
    • Alexa Fluor 594
    • Alexa Fluor 647
    • Alexa Fluor 680
    • Alexa Fluor 750
    • Cy3
    • Cy5
    • Cy5.5
    • Cy7
    • PE-Cy5
    • PE-Cy5.5
    • PE-Cy7
  • Isotype
    • IgG
    • kappa
    • IgG1
    • IgG2
    • IgG4
    • IgG1 kappa
  • Type Proteine
    • Recombinant Antibody
  • Format
    • Liquid
    • Lyophilized
  • Supplier
    • antibodies-online
    • ProteoGenix
    • Signalway
    • Covalab
    • Abbexa
    • Biomatik
    • Alomone Labs
    • USBio

Dernières publications pour nos Glucagon Receptor Anticorps

LaPierre, Abraham, Yue, Filippi, Lam: "Glucagon signalling in the dorsal vagal complex is sufficient and necessary for high-protein feeding to regulate glucose homeostasis in vivo." dans: EMBO reports, Vol. 16, Issue 10, pp. 1299-307, (2015) (PubMed).

Rafacho, Gonçalves-Neto, Santos-Silva, Alonso-Magdalena, Merino, Taboga, Carneiro, Boschero, Nadal, Quesada: "Pancreatic alpha-cell dysfunction contributes to the disruption of glucose homeostasis and compensatory insulin hypersecretion in glucocorticoid-treated rats." dans: PLoS ONE, Vol. 9, Issue 4, pp. e93531, (2014) (PubMed).

Mighiu, Yue, Filippi, Abraham, Chari, Lam, Yang, Christian, Charron, Lam: "Hypothalamic glucagon signaling inhibits hepatic glucose production." dans: Nature medicine, Vol. 19, Issue 6, pp. 766-72, (2013) (PubMed).

Lenders, Pacak, Huynh, Sharabi, Mannelli, Bratslavsky, Goldstein, Bornstein, Eisenhofer: "Low sensitivity of glucagon provocative testing for diagnosis of pheochromocytoma." dans: The Journal of clinical endocrinology and metabolism, Vol. 95, Issue 1, pp. 238-45, (2010) (PubMed).

Sørensen, Winzell, Brand, Fosgerau, Gelling, Nishimura, Ahren: "Glucagon receptor knockout mice display increased insulin sensitivity and impaired beta-cell function." dans: Diabetes, Vol. 55, Issue 12, pp. 3463-9, (2006) (PubMed).

Pseudonymes pour Glucagon Receptor Anticorps

glucagon receptor (GCGR) Anticorps
glucagon receptor (Gcgr) Anticorps
GCGR Anticorps
GGR Anticorps
GR Anticorps
Vous êtes ici:
Chat with us!