Tel:
+49 (0)241 95 163 153
Fax:
+49 (0)241 95 163 155
E-Mail:
orders@anticorps-enligne.fr

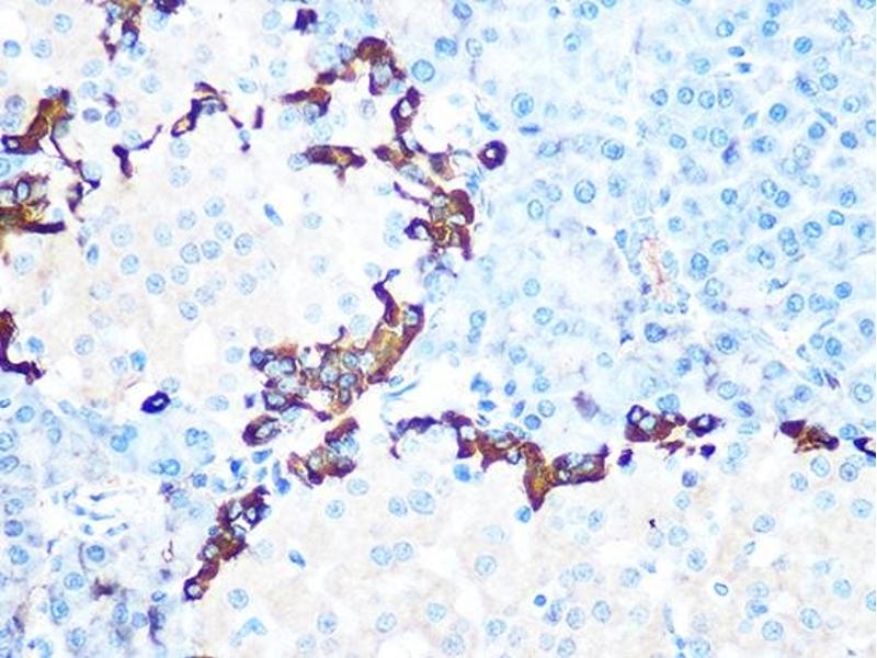
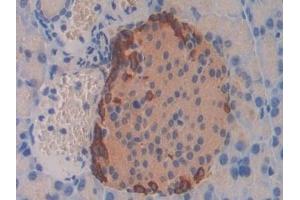
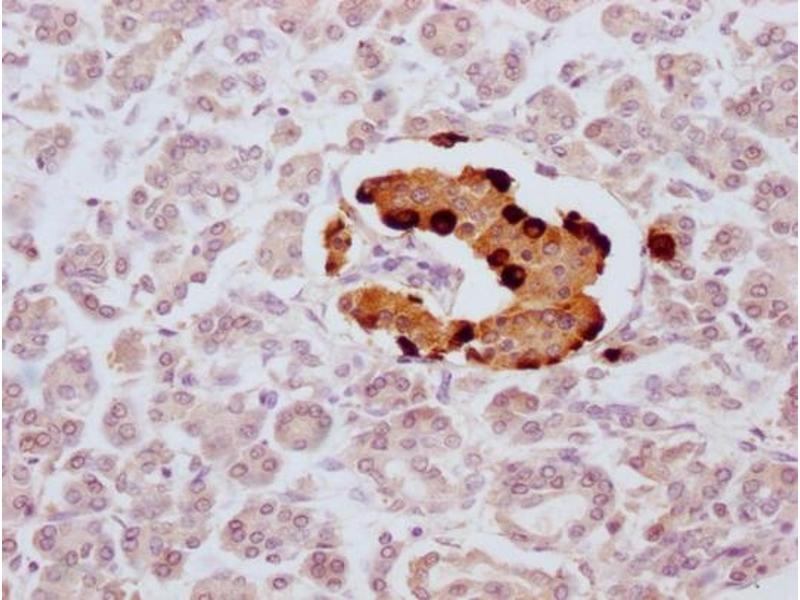
Glucagon Anticorps

(Glucagon (GCG))
Glucagon is a hormone that plays a crucial role in regulating blood glucose levels in the body. It is primarily produced by the alpha cells of the pancreas. The main function of glucagon is to counteract the actions of insulin, another hormone produced by the pancreas, by stimulating the liver to release glucose into the bloodstream. This process is known as hepatic glucose production. Glucagon acts on the liver to break down glycogen, a stored form of glucose, into glucose molecules, which are then released into the bloodstream. This helps to increase blood glucose levels, especially during periods of fasting or low blood sugar levels.

Glucagon also has other effects on metabolism. It promotes the breakdown of fats in adipose tissue, leading to the release of fatty acids into the bloodstream. It can also stimulate the production of ketone bodies, which are alternative energy sources derived from fat metabolism. Additionally, glucagon can inhibit the synthesis of glycogen and fatty acids, further contributing to the mobilization of stored energy.

Overall, the role of glucagon is to maintain glucose homeostasis in the body by increasing blood glucose levels when they are low. It works in coordination with insulin to regulate blood sugar levels and ensure that they stay within a normal range.

The main applications of anti-Glucagon antibodies include:

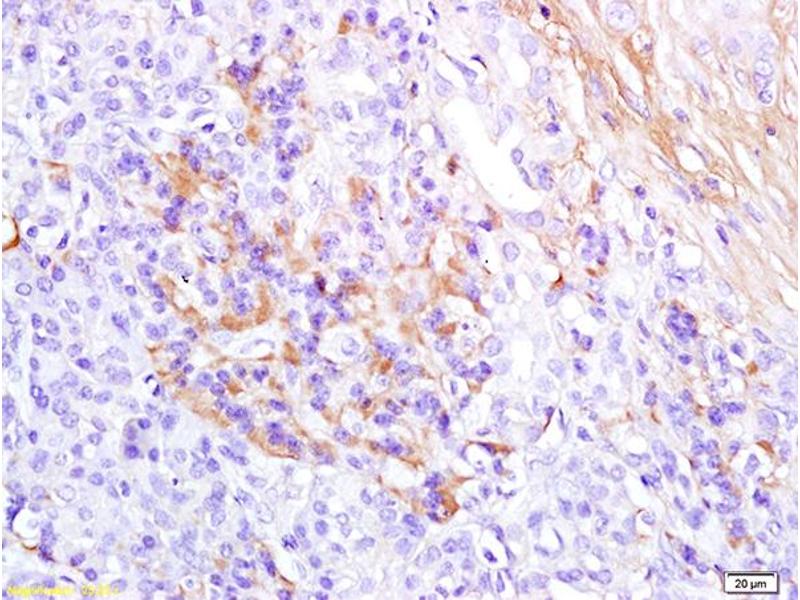
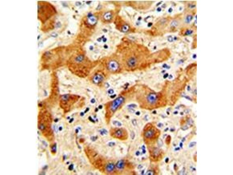
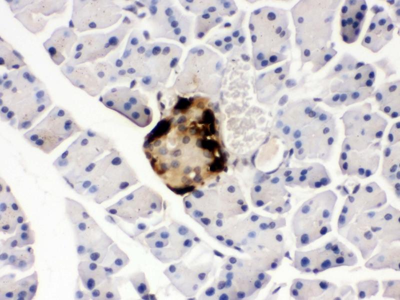
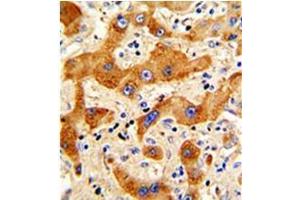
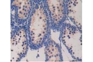
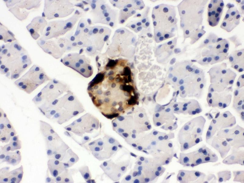
  • Immunohistochemistry (IHC): Glucagon antibodies are used in IHC to detect and visualize Glucagon in tissue samples, particularly in pancreatic tissue sections.
  • Immunocytochemistry (ICC): These Glucagon antibodies are also used in ICC to detect and localize Glucagon in cultured cells.
  • Western Blot: Glucagon antibodies can be used in Western blotting techniques to detect Glucagon.
  • ELISA: Enzyme-Linked Immunosorbent Assay (ELISA) can be performed using anti-Glucagon antibodies to quantify the levels of Glucagon in biological samples.
  • Flow Cytometry: Glucagon antibodies can be used in flow cytometry (FACS) to analyze and sort cells based on their Glucagon expression levels.

158 Résultats

GCG Reactivité: Humain WB, IF, FACS, IHC (p) Hôte: Lapin Polyclonal RB19525 unconjugated
N° du produit ABIN390769
434,77 €
Plus frais de livraison 40,00 € et TVA
400 μL (Autres quantités disponibles)
Destination: France
Envoi sous 14 à 17 jours ouvrables
 
Rockland 600-401-mv9 GCG Reactivité: Humain WB, IHC, ELISA, IF, FM Hôte: Lapin Polyclonal unconjugated
Independent Validation 1 validation
N° du produit ABIN7448121
624,85 €
Frais d'envoi 40,00 €, glace carbonique 20,00 € et TVA exclus
100 μg
Destination: France
Envoi sous 5 à 8 jours ouvrables
Independently Validated
GCG Reactivité: Souris WB, IHC, IP, ICC Hôte: Lapin Polyclonal unconjugated
N° du produit ABIN7429778
304,89 €
Plus frais de livraison 40,00 € et TVA
100 μL (Autres quantités disponibles)
Destination: France
Envoi sous 11 à 15 jours ouvrables
 
GCG Reactivité: Humain IHC, IF Hôte: Lapin Monoclonal unconjugated
N° du produit ABIN7267392
330,00 €
Plus frais de livraison 40,00 € et TVA
100 μL (Autres quantités disponibles)
Destination: France
Envoi sous 8 à 10 jours ouvrables
 
GCG Reactivité: Humain, Souris WB, FACS, IHC (p) Hôte: Lapin Polyclonal RB19443 unconjugated
N° du produit ABIN390411
434,77 €
Plus frais de livraison 40,00 € et TVA
400 μL (Autres quantités disponibles)
Destination: France
Envoi sous 14 à 17 jours ouvrables
 
GCG Reactivité: Humain WB, ELISA Hôte: Souris Monoclonal 1E2-E6 unconjugated
N° du produit ABIN515981
651,20 €
Plus frais de livraison 40,00 € et TVA
100 μg
Destination: France
Envoi sous 8 à 9 jours ouvrables
 
GCG Reactivité: Humain, Rat, Souris IHC, IF Hôte: Lapin Polyclonal unconjugated
Pubmed 6 références
N° du produit ABIN3042419
500,50 €
Plus frais de livraison 40,00 € et TVA
100 μg
Destination: France
Envoi sous 8 à 12 jours ouvrables
 
GCG Reactivité: Humain WB, IHC, IP, ICC Hôte: Lapin Polyclonal unconjugated
N° du produit ABIN7429775
298,22 €
Plus frais de livraison 40,00 € et TVA
100 μL (Autres quantités disponibles)
Destination: France
Envoi sous 11 à 15 jours ouvrables
 
GCG Reactivité: Humain, Rat, Souris ELISA, IHC (p), IF (cc), IF (p), IHC (fro) Hôte: Lapin Polyclonal unconjugated
Pubmed 1 reference
N° du produit ABIN704246
357,70 €
Plus frais de livraison 40,00 € et TVA
100 μL
Destination: France
Envoi sous 8 à 12 jours ouvrables
 
GCG Reactivité: Humain ELISA Hôte: Souris Monoclonal 2F9 unconjugated
Pubmed 1 reference
N° du produit ABIN969171
602,28 €
Plus frais de livraison 40,00 € et TVA
100 μL
Destination: France
Envoi sous 7 à 10 jours ouvrables
 
GCG Reactivité: Humain, Souris WB, IHC, FACS, IHC (p) Hôte: Lapin Polyclonal unconjugated
N° du produit ABIN1804083
610,95 €
Plus frais de livraison 40,00 € et TVA
200 μL
Destination: France
Envoi sous 15 à 20 jours ouvrables
 
GCG Reactivité: Humain WB Hôte: Lapin Polyclonal unconjugated
N° du produit ABIN515980
636,80 €
Plus frais de livraison 40,00 € et TVA
100 μg
Destination: France
Envoi sous 8 à 9 jours ouvrables
 
GCG Reactivité: Humain WB, FACS Hôte: Souris Monoclonal 24GB2965 unconjugated
N° du produit ABIN7798725
394,31 €
Plus frais de livraison 40,00 € et TVA
100 μL
Destination: France
Envoi sous 7 à 10 jours ouvrables
 
GCG Reactivité: Humain, Souris WB, FACS, IHC (p), EIA Hôte: Lapin Polyclonal unconjugated
N° du produit ABIN453051
870,77 €
Plus frais de livraison 40,00 € et TVA
0.4 mL
Destination: France
Envoi sous 17 jours ouvrables
 
GCG Reactivité: Humain, Rat, Souris, Porc, Boeuf (Vache), Chien, Mouton WB, IHC, IF Hôte: Lapin Polyclonal unconjugated
N° du produit ABIN7295744
330,77 €
Plus frais de livraison 40,00 € et TVA
100 μL (Autres quantités disponibles)
Destination: France
Envoi sous 17 à 20 jours ouvrables
 
GCG Reactivité: Rat, Souris WB Hôte: Lapin Polyclonal unconjugated
N° du produit ABIN7249908
460,00 €
Plus frais de livraison 40,00 € et TVA
200 μL (Autres quantités disponibles)
Destination: France
Envoi sous 9 à 13 jours ouvrables
 
GCG Reactivité: Humain WB Hôte: Souris Monoclonal 9C1 unconjugated
N° du produit ABIN4910082
422,08 €
Plus frais de livraison 40,00 € et TVA
100 μL
Destination: France
Envoi sous 12 à 17 jours ouvrables
 
GCG Reactivité: Humain WB Hôte: Souris Monoclonal 329CT36-10-10 unconjugated
N° du produit ABIN1539802
434,77 €
Plus frais de livraison 40,00 € et TVA
400 μL (Autres quantités disponibles)
Destination: France
Envoi sous 14 à 17 jours ouvrables
 
GCG Reactivité: Humain WB, IHC, IP, ICC Hôte: Souris Monoclonal C1 unconjugated
N° du produit ABIN7426244
311,57 €
Plus frais de livraison 40,00 € et TVA
100 μL (Autres quantités disponibles)
Destination: France
Envoi sous 11 à 15 jours ouvrables
 
GCG Reactivité: Humain, Rat, Souris, Singe WB, IHC, ELISA, IF Hôte: Lapin Polyclonal unconjugated
N° du produit ABIN3184761
377,51 €
Plus frais de livraison 40,00 € et TVA
100 μL (Autres quantités disponibles)
Destination: France
Envoi sous 8 à 10 jours ouvrables
 
  • Type Primary
    • Primary
  • Application
    • Western Blotting (WB)
    • Immunohistochemistry (IHC)
    • ELISA
    • Immunofluorescence (IF)
    • Flow Cytometry (FACS)
    • Immunoprecipitation (IP)
    • Immunocytochemistry (ICC)
    • Immunofluorescence (Cultured Cells) (IF (cc))
    • Immunofluorescence (Paraffin-embedded Sections) (IF (p))
    • Immunohistochemistry (Paraffin-embedded Sections) (IHC (p))
    • Radioimmunoassay (RIA)
    • Enzyme Immunoassay (EIA)
    • Immunohistochemistry (Frozen Sections) (IHC (fro))
    • Dot Blot (DB)
    • Agonist (Agon)
    • Cellular Assay (CA)
    • Immunoassay (IA)
    • Immunostaining (ISt)
    • Immunofluorescence (fixed cells) (IF/ICC)
    • Chemiluminescence Immunoassay (CLIA)
    • Fluorescence Microscopy (FM)
  • Réactivité
    • Human
    • Rat
    • Mouse
    • Pig
    • Cow
    • Dog
    • Monkey
    • Guinea Pig
    • Hamster
    • Sheep
    • Various Species
    • Chicken
    • Horse
    • Rabbit
    • Zebrafish (Danio rerio)
    • Cat
    • Xenopus laevis
  • Cité dans publications
  • Images disponible
  • Independent Validation
  • Sans conservateur uniquement
  • Carrier free only
  • Hote
    • Rabbit
    • Mouse
    • Goat
    • Sheep
    • Guinea Pig
  • Clonalité
    • Polyclonal
    • Monoclonal
  • Clone
    • 329CT36-10-10
    • IMD-7
    • 2D3-2B11
    • 104-10A
    • 1D10
    • 1E1K2E16
    • 1E2-E6
    • 24GB2965
    • 2F9
    • 2G1
    • 9C1
    • AOAF-7
    • AOHH-7
    • C1
    • EP74
    • GLP-1-18
    • K79bB10
    • M81376
    • M81376-B
    • M81378
    • RB19443
    • RB19525
  • Epitope
    • AA 53-81
    • N-Term
    • AA 119-148
    • AA 1-180
    • AA 21-180
    • C-Term
    • AA 90-180
    • AA 19-29
    • AA 21-50
    • AA 23-180
    • AA 25-54
    • Center
    • AA 1-12
    • AA 107-156
    • AA 126-156
    • AA 30-110
    • AA 32-62
    • AA 41-90
    • AA 61-110
    • AA 7-36
    • AA 8-18
    • Internal Region
    • cleaved
  • Conjugué
    • Inconjugué
    • Biotin
    • FITC
    • APC
    • Alexa Fluor 488
    • Alexa Fluor 555
    • Alexa Fluor 594
    • Alexa Fluor 647
    • Alexa Fluor 680
    • Alexa Fluor 750
    • HRP
    • PE
    • Magnetic Particles
    • AbBy Fluor® 350
    • AbBy Fluor® 488
    • AbBy Fluor® 555
    • AbBy Fluor® 594
    • AbBy Fluor® 647
    • AbBy Fluor® 680
    • AbBy Fluor® 750
    • Alexa Fluor 350
    • Alexa Fluor 405
    • Carboxyfluorescein (CFS)
    • Cy3
    • Cy5
    • Cy5.5
    • Cy7
    • PerCP
    • Sepharose
  • Isotype
    • IgG
    • IgG1 kappa
    • IgG1
    • Ig Fraction
    • IgG2b
    • kappa
  • Type Proteine
    • Recombinant Antibody
  • Format
    • Liquid
    • Lyophilized
    • Lyophilized or Liquid
  • Supplier
    • antibodies-online
    • Signalway
    • Assaypro
    • USBio
    • Acris
    • RayBiotech
    • Cohesion Biosciences
    • Boster Bio
    • Abbexa
    • Assay Biotechnology Company, Inc.
    • PROGEN
    • Phoenix Europe
    • Rockland
    • Ansh Labs
    • Aviva Systems Biology
    • Biomatik
    • Cloud-Clone
    • Covalab
    • NSJ Bioreagents
    • ProSci

Dernières publications pour nos Glucagon Anticorps

Xu, Wang, Guo, Liu, Zhang, Xu, Chen: "Emodin Alleviates Severe Acute Pancreatitis-Associated Acute Lung Injury by Inhibiting the Cold-Inducible RNA-Binding Protein (CIRP)-Mediated Activation of the NLRP3/IL-1β/CXCL1 Signaling." dans: Frontiers in pharmacology, Vol. 12, pp. 655372, (2021) (PubMed).

Chen, Ren, Zhou, Deng, Hu, Zhang, Li: "HWL-088, a new potent free fatty acid receptor 1 (FFAR1) agonist, improves glucolipid metabolism and acts additively with metformin in ob/ob diabetic mice." dans: British journal of pharmacology, Vol. 177, Issue 10, pp. 2286-2302, (2021) (PubMed).

Huang, Li, Chen, Zhao, Huang, Zhou, Xu: "Identification of Potential Therapeutic Targets and Pathways of Liraglutide Against Type 2 Diabetes Mellitus (T2DM) Based on Long Non-Coding RNA (lncRNA) Sequencing." dans: Medical science monitor : international medical journal of experimental and clinical research, Vol. 26, pp. e922210, (2020) (PubMed).

Lau, Corrales, Alexander, Mohammadi, Li, Smink, de Vos, Lakey: "Necrostatin-1 supplementation enhances young porcine islet maturation and in vitro function." dans: Xenotransplantation, pp. e12555, (2019) (PubMed).

Yang, Yan, Tong, Zhang, Chen, Xue, Wang, Chu, Jin, Li: "Chronic oscillating glucose challenges disarrange innate immune homeostasis to potentiate the variation of neutrophil-lymphocyte ratio in rats with or without hidden diabetes mellitus." dans: Diabetes, metabolic syndrome and obesity : targets and therapy, Vol. 11, pp. 277-288, (2018) (PubMed).

Vecchio, Lo Buono, Stabilini, Nigi, Dufort, Geyer, Rancoita, Cugnata, Mandelli, Valle, Leete, Mancarella, Linsley, Krogvold, Herold, Elding Larsson, Richardson, Morgan, Dahl-Jørgensen, Sebastiani et al.: "Abnormal neutrophil signature in the blood and pancreas of presymptomatic and symptomatic type 1 diabetes. ..." dans: JCI insight, Vol. 3, Issue 18, (2018) (PubMed).

Lu, Heyne, Dror, Casas, Leonhardt, Boenke, Yang, Sagar, Arrigoni, Dalgaard, Teperino, Enders, Selvaraj, Ruf, Raja, Xie, Boenisch, Orkin, Lynn, Hoffman, Grün, Vavouri, Lempradl, Pospisilik: "The Polycomb-Dependent Epigenome Controls β Cell Dysfunction, Dedifferentiation, and Diabetes." dans: Cell metabolism, Vol. 27, Issue 6, pp. 1294-1308.e7, (2018) (PubMed).

Su, Peng, Gong, Liu, Zhang, Lian, Cao, Wu, Liu, Wang, Wang, Jiang: "Antidiabetic drug glyburide modulates depressive-like behavior comorbid with insulin resistance." dans: Journal of neuroinflammation, Vol. 14, Issue 1, pp. 210, (2018) (PubMed).

Wang, Tian, Chen, Tan, Xie, Chen, Fu, Chen, Xu, Wei: "Low dose doxycycline decreases systemic inflammation and improves glycemic control, lipid profiles, and islet morphology and function in db/db mice." dans: Scientific reports, Vol. 7, Issue 1, pp. 14707, (2017) (PubMed).

Brown, Andrzejewski, Burnside, Schneyer: "Activin Enhances α- to β-Cell Transdifferentiation as a Source For β-Cells In Male FSTL3 Knockout Mice." dans: Endocrinology, Vol. 157, Issue 3, pp. 1043-54, (2016) (PubMed).

Pseudonymes pour Glucagon Anticorps

glucagon (GCG) Anticorps
glucagon (Gcg) Anticorps
glucagon L homeolog (gcg.L) Anticorps
GCG Anticorps
gcg-A Anticorps
gcg1 Anticorps
GLP-1 Anticorps
GLP1 Anticorps
GLP2 Anticorps
Glu Anticorps
GRPP Anticorps
PPG Anticorps
Vous êtes ici:
Chat with us!