Tel:
+49 (0)241 95 163 153
Fax:
+49 (0)241 95 163 155
E-Mail:
orders@anticorps-enligne.fr

NDUFA9 Anticorps

(NADH Dehydrogenase (Ubiquinone) 1 alpha Subcomplex, 9, 39kDa (NDUFA9))

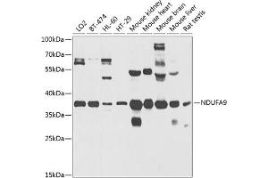
Choisissez l’un des 38 anticorps NDUFA9 de notre liste de produits basés sur 5 publications et 18 images de validation.

Découvrez des anticorps NDUFA9 fiables issus d’une large sélection de fabricants renommés. Notre portefeuille permet une détection précise de NDUFA9 dans plusieurs espèces, y compris Mouse, Human, Rat, Cow, Horse, Pig, Rabbit, Bat, Dog, Guinea Pig, Hamster, Saccharomyces cerevisiae, Zebrafish (Danio rerio), et prend en charge diverses applications de recherche telles que WB, FACS, ELISA, IF (cc), IF (p).

Trouvez rapidement l’anticorps adapté grâce à nos outils de recherche, de filtrage et de comparaison. Chaque page produit fournit des données de validation détaillées, des références bibliographiques et des retours d’utilisateurs. Contrairement aux ressources dédiées uniquement à la comparaison, vous pouvez acheter directement les anticorps sur notre site. Choisissez parmi des anticorps polyclonaux, monoclonaux ou recombinants NDUFA9, issus de différents hôtes tels que Rabbit, Mouse. Parcourez nos produits ci-dessous et commandez directement pour soutenir vos recherches en toute confiance.

Les noms alternatifs de NDUFA9 sont NDUFA9, ndufa9.L, ndufa9, ndufa9a, LOC551866, Ndufa9.

38 Résultats

NDUFA9 Reactivité: Humain WB, ELISA, IF, IHC (p) Hôte: Souris Monoclonal 3D7 unconjugated
N° du produit ABIN561935
651,20 €
Plus frais de livraison 40,00 € et TVA
100 μg
Destination: France
Envoi sous 8 à 9 jours ouvrables
 
NDUFA9 Reactivité: Humain WB Hôte: Lapin Polyclonal unconjugated
Pubmed 1 reference
N° du produit ABIN5664241
320,00 €
Plus frais de livraison 40,00 € et TVA
100 μL (Autres quantités disponibles)
Destination: France
Envoi sous 8 à 10 jours ouvrables
 
NDUFA9 Reactivité: Humain, Souris WB, ELISA, IHC Hôte: Lapin Polyclonal unconjugated
N° du produit ABIN7237492
449,00 €
Plus frais de livraison 40,00 € et TVA
200 μL (Autres quantités disponibles)
Destination: France
Envoi sous 9 à 13 jours ouvrables
 
NDUFA9 Reactivité: Humain, Souris WB Hôte: Lapin Polyclonal unconjugated
Pubmed 4 références
N° du produit ABIN1881568
434,77 €
Plus frais de livraison 40,00 € et TVA
400 μL (Autres quantités disponibles)
Destination: France
Envoi sous 14 à 17 jours ouvrables
 
NDUFA9 Reactivité: Humain ELISA, IHC Hôte: Lapin Polyclonal unconjugated
N° du produit ABIN7160913
328,90 €
Plus frais de livraison 40,00 € et TVA
100 μL (Autres quantités disponibles)
Destination: France
Envoi sous 11 à 15 jours ouvrables
 
NDUFA9 Reactivité: Humain, Souris, Rat, Boeuf (Vache), Cheval, Porc, Lapin, Roussette (Chauve-souris), Hamster WB Hôte: Lapin Polyclonal unconjugated
N° du produit ABIN6742145
789,41 €
Plus frais de livraison 40,00 € et TVA
100 μL
Destination: France
Envoi sous 15 à 20 jours ouvrables
 
NDUFA9 Reactivité: Humain, Souris, Rat WB, ELISA, IF, ICC Hôte: Lapin Polyclonal unconjugated
N° du produit ABIN6259119
525,71 €
Plus frais de livraison 40,00 € et TVA
100 μL (Autres quantités disponibles)
Destination: France
Envoi sous 9 à 11 jours ouvrables
 
NDUFA9 Reactivité: Humain, Souris WB, ELISA Hôte: Lapin Polyclonal unconjugated
N° du produit ABIN7237476
449,00 €
Plus frais de livraison 40,00 € et TVA
200 μL (Autres quantités disponibles)
Destination: France
Envoi sous 9 à 13 jours ouvrables
 
NDUFA9 Reactivité: Souris WB, FACS Hôte: Lapin Polyclonal PE
N° du produit ABIN6944231
446,11 €
Plus frais de livraison 40,00 € et TVA
100 μL
Destination: France
Envoi sous 20 à 25 jours ouvrables
 
NDUFA9 Reactivité: Souris WB, FACS, IF (cc), IF (p) Hôte: Lapin Polyclonal AbBy Fluor® 750
N° du produit ABIN5007355
426,37 €
Plus frais de livraison 40,00 € et TVA
100 μL
Destination: France
Envoi sous 20 à 25 jours ouvrables
 
NDUFA9 Reactivité: Souris WB, FACS, IF (cc), IF (p) Hôte: Lapin Polyclonal AbBy Fluor® 680
N° du produit ABIN5007354
426,37 €
Plus frais de livraison 40,00 € et TVA
100 μL
Destination: France
Envoi sous 20 à 25 jours ouvrables
 
NDUFA9 Reactivité: Souris WB, FACS, IF (cc), IF (p) Hôte: Lapin Polyclonal AbBy Fluor® 647
N° du produit ABIN1398300
426,37 €
Plus frais de livraison 40,00 € et TVA
100 μL
Destination: France
Envoi sous 20 à 25 jours ouvrables
 
NDUFA9 Reactivité: Souris WB, FACS, IF (cc), IF (p) Hôte: Lapin Polyclonal AbBy Fluor® 555
N° du produit ABIN1398299
426,37 €
Plus frais de livraison 40,00 € et TVA
100 μL
Destination: France
Envoi sous 20 à 25 jours ouvrables
 
NDUFA9 Reactivité: Souris WB, ELISA, IHC (p), IHC (fro) Hôte: Lapin Polyclonal Biotin
N° du produit ABIN1398301
419,50 €
Plus frais de livraison 40,00 € et TVA
100 μL
Destination: France
Envoi sous 20 à 25 jours ouvrables
 
NDUFA9 Reactivité: Souris WB, FACS, IF (cc), IF (p) Hôte: Lapin Polyclonal FITC
N° du produit ABIN1398302
437,53 €
Plus frais de livraison 40,00 € et TVA
100 μL
Destination: France
Envoi sous 20 à 25 jours ouvrables
 
NDUFA9 Reactivité: Souris WB, FACS, IF (cc), IF (p) Hôte: Lapin Polyclonal AbBy Fluor® 488
N° du produit ABIN1398298
426,37 €
Plus frais de livraison 40,00 € et TVA
100 μL
Destination: France
Envoi sous 20 à 25 jours ouvrables
 
NDUFA9 Reactivité: Souris WB, FACS, IF (cc), IF (p) Hôte: Lapin Polyclonal AbBy Fluor® 350
N° du produit ABIN1398297
426,37 €
Plus frais de livraison 40,00 € et TVA
100 μL
Destination: France
Envoi sous 20 à 25 jours ouvrables
 
NDUFA9 Reactivité: Souris WB, FACS, IF (cc), IF (p) Hôte: Lapin Polyclonal Cy5.5
N° du produit ABIN1416169
437,53 €
Plus frais de livraison 40,00 € et TVA
100 μL
Destination: France
Envoi sous 20 à 25 jours ouvrables
 
NDUFA9 Reactivité: Souris WB, FACS, IF (cc), IF (p) Hôte: Lapin Polyclonal Cy3
N° du produit ABIN1416167
437,53 €
Plus frais de livraison 40,00 € et TVA
100 μL
Destination: France
Envoi sous 20 à 25 jours ouvrables
 
NDUFA9 Reactivité: Souris WB, FACS, IF (cc), IF (p) Hôte: Lapin Polyclonal Cy7
N° du produit ABIN1416170
437,53 €
Plus frais de livraison 40,00 € et TVA
100 μL
Destination: France
Envoi sous 20 à 25 jours ouvrables
 
  • Type Primary
    • Primary
  • Application
    • Western Blotting (WB)
    • Flow Cytometry (FACS)
    • ELISA
    • Immunofluorescence (Cultured Cells) (IF (cc))
    • Immunofluorescence (Paraffin-embedded Sections) (IF (p))
    • Immunohistochemistry (IHC)
    • Immunohistochemistry (Paraffin-embedded Sections) (IHC (p))
    • Immunofluorescence (IF)
    • Immunohistochemistry (Frozen Sections) (IHC (fro))
    • Immunocytochemistry (ICC)
  • Réactivité
    • Mouse
    • Human
    • Rat
    • Cow
    • Horse
    • Pig
    • Rabbit
    • Bat
    • Dog
    • Guinea Pig
    • Hamster
    • Saccharomyces cerevisiae
    • Zebrafish (Danio rerio)
  • Cité dans publications
  • Images disponible
  • Carrier free only
  • Hote
    • Rabbit
    • Mouse
  • Clonalité
    • Polyclonal
    • Monoclonal
  • Clone
    • 3D7
  • Epitope
    • AA 131-230
    • AA 1-270
    • Internal Region
    • AA 129-174
    • AA 303-377
    • AA 35-84
    • AA 6-377
    • AA 60-140
    • AA 87-136
    • AA 99-121
    • N-Term
  • Conjugué
    • Inconjugué
    • Biotin
    • AbBy Fluor® 350
    • AbBy Fluor® 488
    • AbBy Fluor® 555
    • AbBy Fluor® 594
    • AbBy Fluor® 647
    • AbBy Fluor® 680
    • AbBy Fluor® 750
    • Alexa Fluor 488
    • Alexa Fluor 555
    • Alexa Fluor 594
    • Alexa Fluor 647
    • Alexa Fluor 680
    • Alexa Fluor 750
    • Cy3
    • Cy5
    • Cy5.5
    • Cy7
    • FITC
    • HRP
    • PE
  • Isotype
    • IgG
    • Ig Fraction
    • IgG2a
  • Format
    • Liquid
    • Lyophilized
  • Supplier
    • antibodies-online
    • Signalway
    • Assay Biotechnology Company, Inc.
    • Aviva Systems Biology
    • Boster Bio

Dernières publications pour nos NDUFA9 Anticorps

Hu, Nie, Chen, Xie, Fan, Wang, Long, Yan, Zhong, Yan: "Leucine reduces reactive oxygen species levels via an energy metabolism switch by activation of the mTOR-HIF-1α pathway in porcine intestinal epithelial cells." dans: The international journal of biochemistry & cell biology, Vol. 89, pp. 42-56, (2017) (PubMed).

Burkard, Planyavsky, Kaupe, Breitwieser, Bürckstümmer, Bennett, Superti-Furga, Colinge: "Initial characterization of the human central proteome." dans: BMC systems biology, Vol. 5, pp. 17, (2011) (PubMed).

Murray, Zhang, Taylor, Oglesbee, Fahy, Marusich, Ghosh, Capaldi: "The subunit composition of the human NADH dehydrogenase obtained by rapid one-step immunopurification." dans: The Journal of biological chemistry, Vol. 278, Issue 16, pp. 13619-22, (2003) (PubMed).

Cross, Charlton, Nan, Bird: "Purification of CpG islands using a methylated DNA binding column." dans: Nature genetics, Vol. 6, Issue 3, pp. 236-44, (1994) (PubMed).

Baens, Chaffanet, Cassiman, van den Berghe, Marynen: "Construction and evaluation of a hncDNA library of human 12p transcribed sequences derived from a somatic cell hybrid." dans: Genomics, Vol. 16, Issue 1, pp. 214-8, (1993) (PubMed).

Pseudonymes pour NDUFA9 Anticorps

NADH:ubiquinone oxidoreductase subunit A9 (NDUFA9) Anticorps
NADH:ubiquinone oxidoreductase subunit A9 L homeolog (ndufa9.L) Anticorps
NADH:ubiquinone oxidoreductase subunit A9 (ndufa9) Anticorps
NADH dehydrogenase (ubiquinone) 1 alpha subcomplex, 9a (ndufa9a) Anticorps
NADH dehydrogenase [ubiquinone] 1 alpha subcomplex subunit 9, mitochondrial (LOC551866) Anticorps
NADH dehydrogenase [ubiquinone] 1 alpha subcomplex subunit 9, mitochondrial (ndufa9) Anticorps
NADH dehydrogenase (ubiquinone) 1 alpha subcomplex 9 (NDUFA9) Anticorps
NADH dehydrogenase (ubiquinone) 1 alpha subcomplex, 9, 39kDa (Ndufa9) Anticorps
NADH dehydrogenase (ubiquinone) 1 alpha subcomplex, 9 (Ndufa9) Anticorps
NADH:ubiquinone oxidoreductase subunit A9 (Ndufa9) Anticorps
1010001N11Rik Anticorps
CC6 Anticorps
CI-39k Anticorps
CI39k Anticorps
DDBDRAFT_0203708 Anticorps
DDBDRAFT_0302549 Anticorps
DDB_0203708 Anticorps
DDB_0302549 Anticorps
GB10406 Anticorps
NDUFA9 Anticorps
ndufs2l Anticorps
NDUFS2L Anticorps
SDR22E1 Anticorps
wu:fc41f12 Anticorps
zgc:112513 Anticorps
Vous êtes ici:
Chat with us!